Drugs & Therapeutics
Respiratory Medicine
Expand your knowledge on the latest in veterinary respiratory medicine to better provide accurate diagnoses and effective treatment.
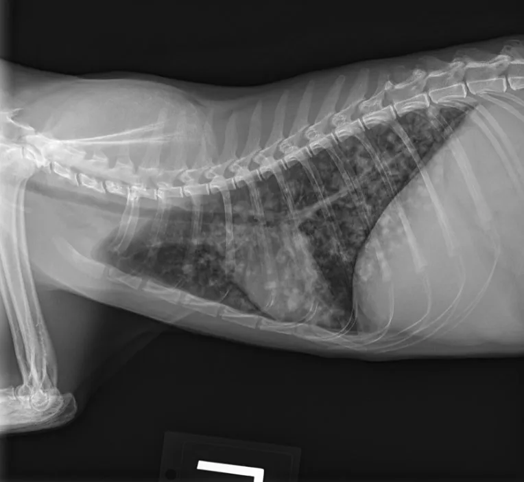
This case-based review explores the diagnostic approach to infectious pneumonia in cats and outlines practical therapeutic considerations for achieving clinical resolution in cases of pneumonia caused by Histoplasma capsulatum.
New in Respiratory Medicine
Sponsored byTrudell Animal Health
