
History & Signalment
A 20.1-lb (9.1-kg), 2-year-old intact male Cavalier King Charles spaniel was presented for progressively increased respiratory effort of ≈2- to 3-weeks’ duration. The patient had been seen at a different clinic 2 weeks prior when the owner first noted tachypnea. Thoracic radiographs at that time revealed a diffuse interstitial to alveolar pattern. Amoxicillin/clavulanate (125 mg PO every 12 hours for 10 days) was administered but did not result in improvement of clinical signs, and respiratory effort continued to increase.
Vaccines for canine distemper virus/canine adenovirus types 1 and 2/canine parainfluenza virus/canine parvovirus/Leptospira spp, rabies, and Bordetella bronchiseptica, as well as monthly preventive oral ivermectin/pyrantel pamoate and oral afoxolaner, were current. There was no additional history of concerns or medications reported by the owner. The patient lived in Kansas.
Physical Examination
On physical examination, the patient was quiet, alert, and responsive. Rectal temperature was 101.3°F (38.5°C). Heart rate was 96 bpm; a heart murmur was not present. Respiration rate was 120 breaths per minute, and increased inspiratory effort was observed.
Diagnostics
Blood was collected for a heartworm antigen test (negative), CBC, and serum chemistry profile. CBC abnormalities included a mild nonregenerative anemia most consistent with anemia of chronic or inflammatory disease and a mild chronic inflammatory leukogram characterized by a mild leukocytosis due to a mild segmented neutrophilia, mild monocytosis, and a lymphocyte concentration at the high end of the reference interval (Table 1). Occasional reactive lymphocytes supportive of antigenic stimulation were seen on the blood film. No significant abnormalities were identified on the serum chemistry profile.
Table 1: Select CBC Results
Thoracic radiographs revealed a diffuse mixed bronchial and interstitial pattern most consistent with an infectious cause. Due to the patient’s geographic location, fungal disease (especially histoplasmosis) was the primary differential diagnosis because histoplasmosis is commonly diagnosed in the midwestern United States; however, other systemic fungal diseases needed to be considered. Blastomycosis was less likely because it is less commonly reported in this region, and there was no known history of travel to endemic regions. Additional differential diagnoses included toxin exposure, immune-mediated disease, and/or eosinophilic bronchopneumopathy.
Urine was collected and submitted for Histoplasma capsulatum antigen testing via quantitative sandwich enzyme immunoassay (ie, EIA). No antigen was detected.
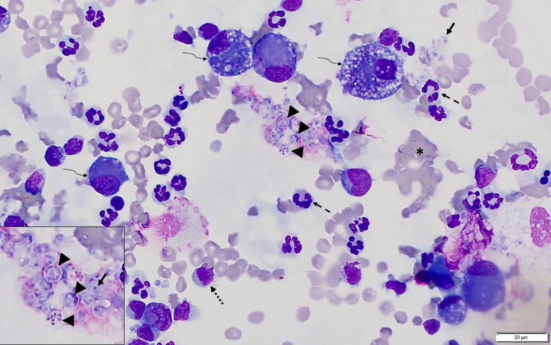
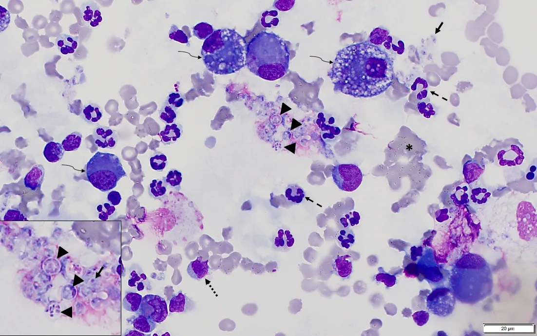
Acepromazine (0.03 mg/kg IV) and hydromorphone (0.1 mg/kg IV) were given prior to administration of propofol (4 mg/kg IV) for bronchoscopy and bronchoalveolar lavage (BAL). Upper airways appeared normal on bronchoscopy, and the BAL sample was submitted to clinical pathology for evaluation. Cytocentrifuged slide preparations of BAL fluid revealed neutrophils; variably vacuolated macrophages; numerous extracellular, small, pale blue, crescent- to ovoid-shaped trophozoites with small blue nuclei; and scattered extracellular, round, pale cysts that contained multiple trophozoites (Figures 1 and 2). Occasional intracellular organisms were also identified within macrophages.

Cytocentrifuged slide preparation of BAL fluid. Neutrophils (dashed arrows); variably vacuolated macrophages (curved arrows); lymphocytes (dotted arrow); numerous extracellular, small, pale blue, crescent- to ovoid-shaped trophozoites with small blue nuclei (solid arrows); and scattered extracellular, round, pale cysts that contain multiple trophozoites (arrowhead) can be seen. RBCs are clumped and individualized (asterisks). Inset shows an enlarged view of the central box. Modified Wright’s stain, 1000× magnification

Cytocentrifuged slide preparation of BAL fluid. Neutrophils (dashed arrows); variably vacuolated macrophages (curved arrows); lymphocytes (dotted arrow); extracellular, small, pale blue, crescent- to ovoid-shaped trophozoites with small blue nuclei (solid arrows); and scattered extracellular, round, pale cysts that contain multiple trophozoites (arrowheads) can be seen. RBCs are clumped and individualized (asterisk). Inset shows an enlarged view of the central box. Modified Wright’s stain, 1000× magnification
Cytologic Diagnosis: Pneumocystis spp Pneumonia
PCR might have added additional diagnostic confirmation but was not performed due to owner financial concerns and was deemed unnecessary due to patient breed predisposition to pneumocystosis, as well as clinical signs and clinical pathology results consistent with Pneumocystis spp pneumonia.
Concern for immunodeficiency was discussed with the owner; however, no specific immunodeficiency or underlying illness was identified.
Treatment & Management
Sulfadiazine/trimethoprim (30 mg/kg PO every 12 hours for 21 days), dexamethasone (0.15 mg/kg IV every 24 hours for 3 days), and theophylline (11 mg/kg PO every 12 hours for 14 days) were administered. Trazodone (3 mg/kg PO every 8-12 hours as needed for 14 days) was administered for sedation during the treatment period.
The patient was discharged after 4 days in the hospital, and a 3-week recheck examination with thoracic radiography was recommended.
Treatment at a Glance
Potentiated sulfonamides are the antimicrobials of choice for pneumocystosis, with sulfa-/trimethoprim used most commonly.5,9
Low, anti-inflammatory dosages of corticosteroids are recommended for short periods (≤3 days) to reduce pulmonary damage and inflammation and help improve overall pulmonary function.2,5
Antibiotics should be continued for 3 weeks and repeated if clinical signs persist or recur.2,11
Supportive care (ie, oxygen therapy, bronchodilators) is important for therapy and initial stabilization of patients with Pneumocystis spp pneumonia.4
Outcome
The owner cancelled the recheck appointment, but multiple telephone consultations over a 4-week period following discharge indicated the dog was doing well. The patient was subsequently lost to follow-up.
Discussion
Pneumocystis spp are opportunistic fungi, previously classified as protozoa, that have an evolutionary history of adaptation to commensal status within the pulmonary parenchyma.1-3
Taxonomy of the Pneumocystis genus is continuously changing due to phylogenic study findings, with 6 species identified as generally host specific (Table 2).3
Table 2: Pneumocystis spp & Hosts3
Infection
Pneumocystis spp can subclinically colonize lung tissue but proliferate uncontrollably in immunocompromised patients, resulting in severe, clinical, life-threatening pulmonary disease (ie, Pneumocystis spp pneumonia, pneumocystosis).1-3
Transmission and development of pneumocystosis results from environmental exposure or contact between airborne droplets from colonized subjects and susceptible immunosuppressed patients within a species.1,4 Pneumocystis spp organisms settle and proliferate in the lower respiratory tract, leading to inflammation, alveolar–capillary blockage, decreased gaseous exchange, and pulmonary alveolar damage.4
Clinical Presentation
Pneumocystis spp pneumonia is reported in various dog breeds but overrepresented in young miniature dachshunds and Cavalier King Charles spaniels, with a majority of clinical infections due to underlying immunodeficiency (eg, immunoglobulin deficiencies).2,3 Patients are typically presented with afebrile pneumonia and variable clinical signs, including tachypnea, dyspnea, cough, cyanosis, inappetence, and exercise intolerance.5
Diagnostics
Hematologic abnormalities are often nonspecific, usually consisting of a leukocytosis characterized by neutrophilia, monocytosis, and eosinophilia (uncommon).4,5 Serum chemistry profile changes are also typically nonspecific, except for hypoglobulinemia or hypogammaglobulinemia.4 Immunoglobulin (Ig) findings typically include decreased to normal IgG concentration (often lower than in healthy dogs) and increased or normal IgM concentration (often higher than in healthy dogs).2,5 This shift in Ig concentration is attributed to a selective defect in IgG that results in dogs infected with P canis having a more proliferative IgM response compared with IgG.2,5 Determining Ig concentrations via serum electrophoresis may be beneficial in patients with suspected Pneumocystis spp infection.
Thoracic radiography is also relatively nonspecific for Pneumocystis spp pneumonia; findings include a diffuse, bilaterally symmetric, interstitial to alveolar lung pattern.4,5 Although findings are nonspecific, thoracic radiography is recommended to evaluate extent of disease and assess for pneumomediastinum or pneumothorax, which are common complications of pneumocystosis.5
BAL and cytology using a Romanowsky-type (eg, 3-step, Wright’s, modified Wright’s, Giemsa) stain, new methylene blue, or Gram stain can allow for identification and definitive diagnosis of pneumocystosis.5,6 Cyst or trophozoite forms of the organism may be identified on cytology. Cysts range from 5 to 10 μm in diameter and typically contain 4 to 8 basophilic bodies, often arranged in a circle. Trophozoites are pleomorphic, with a length of 2 to 7 μm.7 If the organism is not identified with BAL and cytology, additional diagnostics (eg, PCR) have a high sensitivity for detection of Pneumocystis spp organisms and can be performed using the BAL fluid sample.1 If the BAL sample is nondiagnostic, an invasive procedure to acquire a lung biopsy can be performed.8
Treatment & Prognosis
Pneumocystis spp pneumonia has a guarded prognosis, and treatment success depends on early diagnosis and immediate initiation of aggressive therapy.1 Any underlying illness should also be treated. Pneumocystis spp are classified as fungi but are resistant to most antifungal drugs and susceptible to antiprotozoal drugs.6
The most common therapeutic regimen includes a combination of antimicrobials and corticosteroids.5,9,10 The antimicrobial of choice is sulfa-/trimethoprim (30 mg/kg PO every 12 hours for 3 weeks or 15 mg/kg PO every 8 hours for 3 weeks [less common]).11 Corticosteroids are indicated because respiratory disease and mortality are more associated with extent of inflammation than burden of organisms.5 Corticosteroids must be administered at low, anti-inflammatory dosages that improve pulmonary function and increase the chance of survival but do not facilitate replication of the fungus. Prednisone (anti-inflammatory dose, 0.3-0.5 mg/kg PO every 12 hours for ≤3 days) is the oral corticosteroid of choice.2,5,12 Tapering is not necessary because of the relatively low dose and short duration of use (<1 week).12
Supportive care (eg, bronchodilators, oxygen therapy) is also typically provided for initial treatment and stabilization.4
Public Health Concerns
Although Pneumocystis spp are ubiquitous in the environment,6 research indicates these organisms are not zoonotic because the species that infects humans is typically different from the species that infects dogs.3,6 Additional research is necessary. Immunocompromised individuals should avoid close contact with dogs that are clinically ill with pneumocystosis, as immunodeficiency is the primary risk factor for Pneumocystis spp pneumonia in humans.6
Take-Home Messages
Pneumocystis spp can cause afebrile pneumonia, most commonly in young miniature dachshunds and Cavalier King Charles spaniels with underlying immunodeficiency. Case reports in other breeds have been published.5
Definitive diagnosis of Pneumocystis spp pneumonia can often be obtained noninvasively with BAL and cytologic identification of the cyst or trophozoite form.5,7
PCR or a lung biopsy should be considered if definitive diagnosis is not obtained with BAL and cytology.8
Immunodeficiency—due to either genetic immune defects or coinfections—impacts the pathogenesis of Pneumocystis spp.5
Prognosis for Pneumocystis spp pneumonia is guarded. Treatment success depends on early diagnosis and initiation of appropriate and aggressive therapy.2