Client Relationships
Parasitology
Expand your knowledge on the latest in veterinary parasitology to better provide accurate diagnoses and effective treatment.
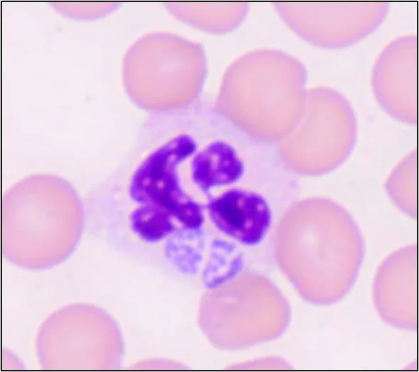
Proper identification of infectious diseases is critical to successful patient outcomes. Can you pinpoint which infectious agent is associated with this blood smear abnormality?
Sponsored byAntech Diagnostics
