
Carpal and tarsal injuries in cats and dogs are typically the result of trauma (eg, motor vehicle accidents, falling from a height) and are often accompanied by soft-tissue loss or shearing injury due to limited soft-tissue coverage of the distal limb (Figure 1).1,2 Immediate wound closure is thus not usually possible and often requires open wound management or skin reconstruction prior to addressing concurrent orthopedic injuries.

Degloving injuries seen following motor vehicle accidents, including on the medial aspect of the tarsus in a cat (A), the medial aspect of the tarsus in a dog (B), and the medial aspect of the carpus in a cat (C). The medial malleolus (A, B, arrows) is exposed.
Initial Presentation
Before diagnostics for ligamentous instability can be performed, the patient’s systemic status should be stabilized and determined to be suitable for sedation or general anesthesia. Undiagnosed moderate to severe instability can result in chronic, persistent lameness.
A water-based lubricating jelly should be applied to injuries with extensive shearing, and the hair over the site should be clipped. Gross contamination must be copiously lavaged with saline and a sterile dressing applied until diagnostics are performed, after which a modified Robert Jones bandage can be placed to stabilize the carpus or tarsus pending definitive treatment. If a bone or joint is exposed, samples should be collected for culture and susceptibility testing. Broad-spectrum antibiotics (eg, a first-generation cephalosporin, amoxicillin/clavulanate) can be administered while test results are pending and discontinued if culture results are negative.
Top 5 Bone & Joint Antibiotics to Consider Before Culture Results
Waiting for culture results? Follow this helpful guide to choosing the most appropriate antibiotic for treatment of suspected bone and joint infections.
Assessing the Joint
Mild to complete non–weight-bearing lameness, depending on which structures are affected, and palpable joint effusion may be observed in patients with joint instability. With a hyperextension injury, the affected joint is often more palmigrade or plantigrade compared with the contralateral limb (Figure 2).3

A 5-year-old domestic shorthair cat is presented with a carpal hyperextension injury sustained after falling from a height. The left carpus (arrows) appears more palmigrade when compared to the contralateral limb.
Normal standing angles of the carpus and tarsus are 10 to 12 degrees and 135 to 145 degrees, respectively, in dogs and 12 to 15 degrees and 115 to 125 degrees, respectively, in cats.3,4 Sedation is often required to determine whether there is instability in the medial, lateral, cranial, or caudal directions (Figure 3).

Stress radiography was performed using a radiolucent object (ie, a wooden block) to apply stress on the right tarsus of a dog. Stress must be applied in all directions, including in flexion (A), extension (B), valgus (C), and varus (D).
The specific joint or level of the affected joint should be isolated during palpation of the affected limb. Varus and valgus stress can be applied to assess the integrity of the lateral and medial collateral ligaments, and the presence of drawer movement can be used to determine whether the dorsal joint capsule is damaged. Joint angles can be measured with a goniometer and should be compared with the contralateral limb, particularly in cats because cats have greater flexibility of the distal limb joints.
Radiographic Technique
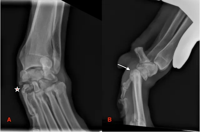
Plain orthogonal radiographs, including mediolateral oblique views (ie, dorsolateral-palmaromedial oblique, dorsomedial-palmarolateral oblique) and dorsopalmar or dorsoplantar views(Figure 4), should be obtained for lameness localized to the distal limb for confirmation of joint effusion, soft-tissue swelling, or fracture.5 Stress radiographs can then be used to determine whether there is ligament insufficiency by observing the increased space between the carpal or tarsal bones compared with the contralateral limb (Figure 5).

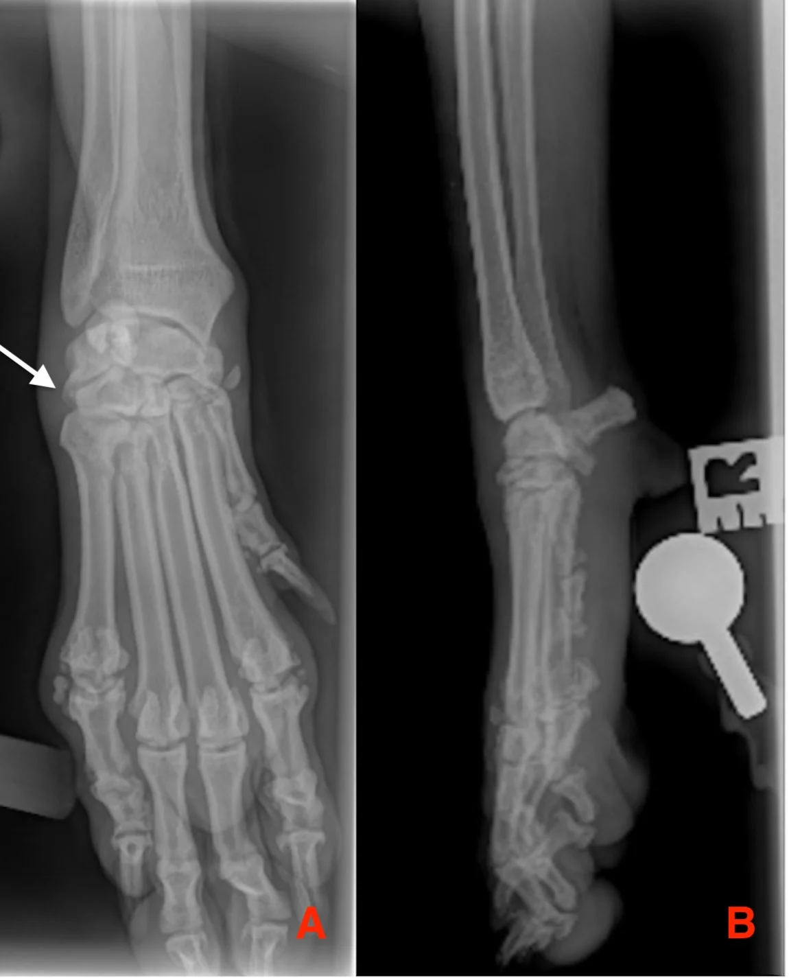
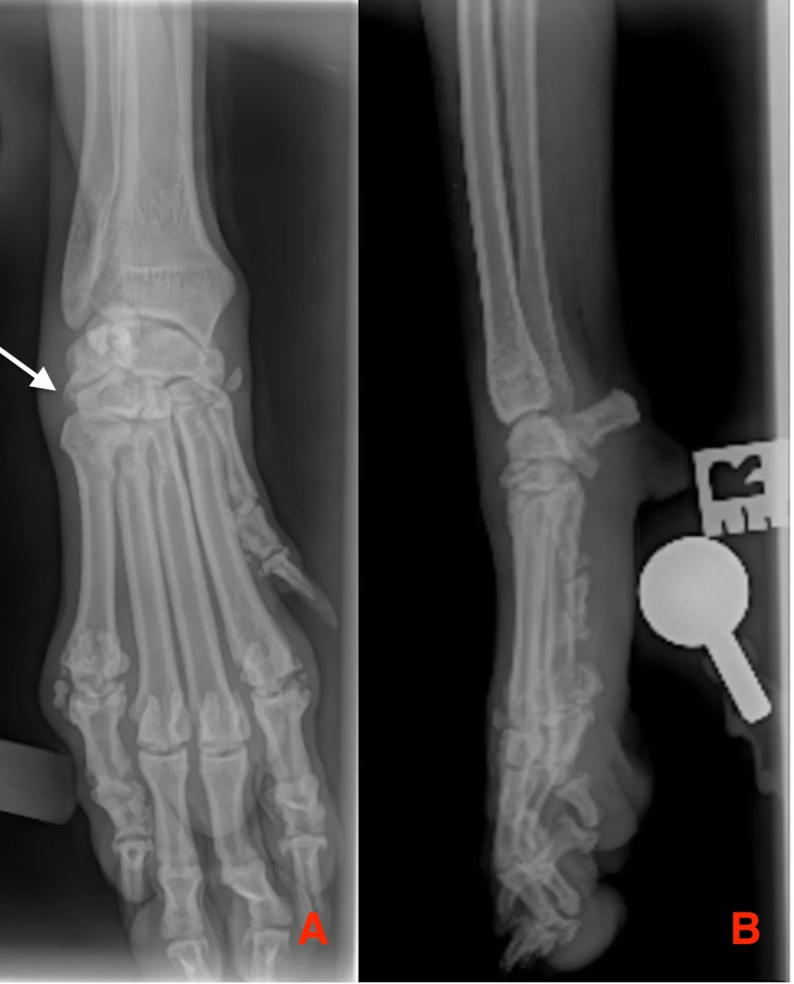
Dorsopalmar (A) and lateral (B) view radiographs of the carpus of a 6-year-old spayed Australian shepherd showing a right carpal injury sustained after the dog jumped a fence. Effusion is visible at the level of the carpometacarpal joint (A, arrow).

CT images were also taken of the patient in Figure 4. Multiplanar reconstruction was created. A transverse view of the carpus at the level of the distal carpal row, with multiple fractures (arrows) of the second, third, and fourth carpal bones (A); dorsal reconstruction showing a fracture of the second carpal bone (B); and sagittal reconstruction (C) can be seen.
Performing Stress Radiography
Stress radiography should be performed in a radiology suite.
The person positioning the patient should wear a lead gown, lead gloves, and thyroid protection as they stabilize the antebrachium or tibia and apply stress in multiple directions.
For lateral and medial stress, the patient should be in sternal recumbency.
For dorsal and palmar/plantar stress, the patient should be in lateral recumbency, with the affected limb touching the plate.
A radiolucent object (eg, ruler) can be used as a fulcrum to apply stress to the joint being assessed. Although published guidelines regarding the amount of stress that should be applied currently exist, the amount of joint laxity should be compared with the normal contralateral joint.
Ligamentous Injuries
In addition to palmar fibrocartilage, commonly affected ligaments of the carpus include the medial collateral, lateral collateral, and palmar ligaments. Luxation of the antebrachiocarpal and carpometacarpal joints can occur with multiligamentous injury.
Ligamentous injuries that affect the carpus can also affect the tarsus. The anatomy of the tarsus is different in cats and dogs, as cats only have a short collateral ligament. In addition, the tibiotalar portion of the medial collateral ligament is located underneath the medial malleolus in cats, which has implications for ligament repair.4 Multiligamentous injury is common and can result in luxation or subluxation of the proximal intertarsal joint due to dorsal or plantar instability and tarsometatarsal luxation or subluxation.2 Surgical intervention is often required to ensure resolution of lameness.
Examples of Radiographic Findings Associated With Carpal & Tarsal Injuries
(Figures 6-9)

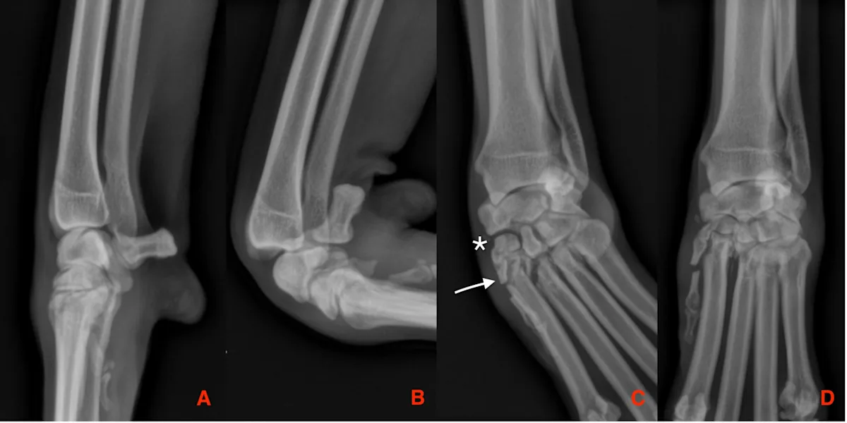
FIGURE 6
Radiography was performed on a 10-year-old spayed rough collie with acute lameness of the left thoracic limb after chasing a cat. Stress was applied with the carpus in extension (A), flexion (B), valgus (C), and varus (D). Lateral (A, B) and dorsopalmar (C, D) views of the carpus are provided. Visible joint widening (C, asterisk) can be visualized between the radial carpal and second carpal bones, and a comminuted fracture of the proximal aspect of the second and third metacarpal bones is present (C, arrow).
Advanced Imaging
Although not commonly available in general practice, CT can assess for smaller carpal or tarsal bone fractures that may be missed on radiography.6 In the absence of radiographically identifiable instability on stress radiography, another cause of lameness or a grade 1 or 2 ligament sprain can be assumed.
Conclusion
Stress radiography is a useful diagnostic tool for ligamentous instability in patients with traumatic carpal and/or tarsal injuries. Stress radiographs are indicated in any patient with joint effusion and palpable instability on physical examination.