Diagnosing Liver Disease

Nick Bexfield, BVetMed, PhD, DSAM, DECVIM-CA, FSB, MRCVS, University of Nottingham

ArticleLast Updated July 20158 min readPeer Reviewed
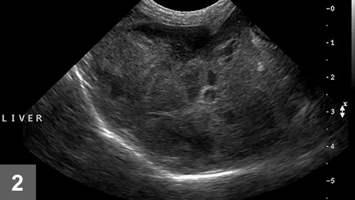
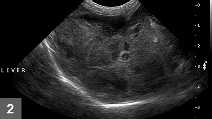
A veterinary ultrasound image displaying the liver of a canine patient, showing varying echogenicity and structure indicative of potential abnormalities. The liver is labeled, and measurement scales are visible on the right side of the image.

Liver disease is relatively common in small animals, but the diagnosis can be a challenge.

Profile 

  • The liver has tremendous functional and structural reserve, and a significant loss of normal hepatic tissue can occur with minimal or no clinical signs.1

  • Because of the liver’s central role in metabolism, it may be secondarily affected by a disease process elsewhere (eg, hyperadrenocorticism, sepsis, hypoxia).

  • Secondary hepatopathies often resolve when the underlying disease is appropriately treated; it is important to determine if an underlying disease process is present early.

History

  • The onset of clinical signs is often insidious and usually only occurs once the reserve capacity of the liver has been exceeded.

  • Clinical signs are often non-specific; most frequent signs include depression, lethargy, anorexia, weight loss, polyuria, and polydipsia.

  • The clinician should pay attention to subtle waxing and waning GI signs (eg, decreased appetite, vomiting, diarrhea).

    • Additional signs that may be suggestive of liver disease (although still not specific) include jaundice, ascites, and neurologic signs caused by hepatic encephalopathy (HE).

      • Clinical signs of HE are often intermittent and include behavioral changes, hypersalivation, head pressing, circling, ataxia, temporary blindness, seizures, and/or coma. 

A veterinarian's hand gently holds the head of a brown and white dog, revealing the dog's right eye, which displays a yellowish tint indicative of jaundice. The setting appears to be a veterinary clinic, with a soft surface beneath the dog.

FIGURE 1 Jaundice in an English springer spaniel with liver disease.

Physical Examination  

  • Findings are typically unremarkable.

  • A decrease in body condition score may be noted.

  • In dogs, liver size will be normal-to-enlarged with acute disease, normal-to-small with chronic disease.

  • In cats, liver size will be normal-to-enlarged in acute and chronic disease.

    • Palpable hepatomegaly may be appreciated in dogs and cats with an enlarged liver

  • Jaundice occurs in approximately 20% of dogs and 30%-40% of cats with hepatobiliary disease, and it often occurs late in the disease process (Figure 1).1

  • Ascites may be present; it is more commonly associated with chronic disease.

Related Article: Chronic Liver Disease

 Laboratory Testing

  • Blood tests to assess liver enzymes and liver function are usually the simplest next steps in the investigation of patients with suspected liver disease. 

  • Definitive diagnosis cannot be based on results of blood tests alone; these results should form part of the overall investigation.

Chemistry Panels 

  • Liver enzyme activity should be measured in all patients with suspected liver disease, but these allow no evaluation of hepatic function.

  • In general, liver enzymes (Table) are sensitive indicators of liver disease or injury but are not specific.2 

    • Non-specificity derives from the susceptibility of the liver to secondary or reactive disorders and the ability of certain hormones or drugs (eg, corticosteroids) to induce synthesis and release of some liver enzymes.

Table: Commonly Measured Liver Enzymes & Interpretation

Alkaline phosphatase (ALP)

Induced enzyme released from canalicular parts of the biliary tract. Elevation suggests cholestasis. There are several different isoforms (isoenzymes). Elevated in young growing animals and in adult dogs with severe active bone lesions. Elevated in dogs (but not cats) with endogenous and exogenous corticosteroid and phenobarbital administration. Half-life is approximately 70 hours in dogs and 6 hours in cats; any elevation in a cat is likely to be clinically relevant.

Gamma-glutamyl transferase (GGT)

A membrane-bound enzyme located distally in the biliary tree and induced by cholestasis. GGT also shows corticosteroid induction; unlike ALP, it has no bone isoenzyme and shows less induction with phenobarbital administration. In dogs, GGT is more specific for liver disease than ALP, but it shows much less sensitivity. In cats, GGT is more sensitive but less specific than ALP for hepatobiliary disease.

Alanine aminotransferase (ALT)

Released because of increased hepatocyte membrane permeability or following hepatocellular necrosis. Liver-specific Half-life of approximately 2.5 days in dogs and several hours in cats; any elevation in a cat is likely to be clinically relevant. Also increased in a dose-dependent manner by corticosteroids and anticonvulsant drugs.

Aspartate aminotransferase (AST)

Hepatocellular enzyme; increased activity represents increased leakage from cells. Not liver specific; also released in patients with skeletal muscle damage. In acute liver injury, elevations of AST mirror those of ALT, although the overall values tend not to be as high.

Tests of Liver Function

  • Tests are generally non-specific, although bile acids and ammonia are more specific markers of hepatic function.

  • Albumin

    • Albumin is produced in the liver; hypoalbuminemia is only seen when there is >75% reduction in functional hepatic mass.1

  • Glucose

    • Hypoglycemia occurs most commonly in acute fulminant hepatic failure, in small-breed dogs with portosystemic shunts, or in end-stage liver failure.2

  • Cholesterol

    • Cholesterol can be normal, increased, or decreased in liver disease and is a relatively insensitive marker of liver function.

  • Blood urea nitrogen (BUN)

    • BUN is decreased when there is >75% reduction in functional hepatic mass.1

    • It is also commonly decreased in animals with congenital portosystemic shunt (PSS).

  • Bilirubin

    • Hepatic hyperbilirubinemia is associated with impaired hepatic uptake, conjugation, or excretion into bile.

    • It occurs when severe intrahepatic cholestasis develops and when there is more than a 75% reduction in functional hepatic mass.1

  • Total bile acids

    • Baseline (fasting) and 2-hour postprandial samples should be collected.

    • Levels will be elevated in bile stasis, reduced hepatic function, and in animals with congenital or acquired PSS.

    • They should not be measured in patients with hyperbilirubinemia.

  • Ammonia

    • Hyperammonemia occurs with congenital or acquired PSS and when there is >75% reduction in functional hepatic mass.3

  • Clotting times

    • Elevated prothrombin time (PT) and partial thromboplastin time (PTT) are seen when there is more than a 75% reduction in functional hepatic mass.1 

Related Article: Top 5 Liver Conditions in Dogs

Hematology

  • Mild non-regenerative normocytic normochromic anemia is frequently identified in these patients.

  • Microcytic and hypochromic anemia may be present in patients with congenital PSS.

  • Regenerative anemia may be present with GI bleeding.

  • Morphologic changes in erythrocytes, namely acanthocytes and/or target cells (ie, codocytes) may develop.

  • Thrombocytopenia may occur from platelet sequestration or increased destruction.

  • An inflammatory leukogram may be present with any inflammatory, infectious, or neoplastic hepatic process.

Urinalysis

  • A low specific gravity (<1.025) is common in chronic liver disease and congenital PSS.

  • Bilirubinuria is found in animals with hyperbilirubinemia; it is nonspecific in dogs, but a specific indicator of liver disease in cats.

  • Urobilinogen is normally found in urine, but increased amounts are associated with hyperbilirubinemia.

  • Urate or ammonium biurate crystals may be seen in patients with hepatic disease—particularly congenital PSS.

Imaging

  • Diagnostic imaging is an important part of the investigation of an animal with suspected liver disease.

  • Imaging sometimes allows identification of a specific cause (eg, congenital PSS), but it typically just adds more to the overall clinical picture. 

    • Imaging may also identify the presence of any extrahepatic condition.

  • Abdominal radiography can be used to assess liver size, position, and shape, and it can evaluate for the presence of additional abdominal pathology. 

  • Radiography in the presence of ascites is generally unhelpful because the fluid obscures abdominal detail.

  • Venography (via injection of contrast media into a mesenteric vein) may be used to assess portal vein vasculature.

    • This is most useful for the identification of congenital PSS.

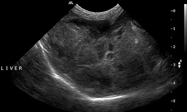
  • Ultrasonography is generally the preferred diagnostic imaging modality for evaluation of the liver, and it is particularly useful for mucoceles.

  • The normal liver has a homogenous echogenicity that is isoechoic to slightly hyperechoic to the renal cortex. 

    • Changes in hepatic echogenicity occur in acute and chronic liver disease (Figure 2).

  • Ultrasonographic changes are usually not specific for a particular disease. 

    • The liver can also appear ultrasonographically normal, even in severe disease.

  • Ultrasonography is useful for examination of the biliary system, including gallbladder size, contents, and wall thickness, as well as for the intra- and extra-hepatic bile ducts.

  • Doppler ultrasonography and scintigraphy are used for the identification of PSS.

Featured Image

FIGURE 2 Ultrasonographic image demonstrating a diffusely mottled and nodular appearing hepatic parenchyma.

Sampling Liver Tissue

  • Results of clinical pathology and diagnostic imaging typically do not provide a definitive diagnosis in patients with liver disease, except in patients with congenital PSS. 

  • Obtaining liver tissue is the next step in the investigation of patients with liver disease.

  • Many methods are available and depend on clinician preference, equipment availability, technical skills, type of lesion present, location, and the systemic stability of the patient.

  • A minimum database to screen for hemostatic dysfunction includes a platelet count, PT and PTT, and a buccal mucosal bleeding time prior to sampling.

  • Fine-needle aspiration (FNA) cytology is minimally invasive, requires little equipment, and is relatively safe.  

  • However, FNA has limited diagnostic accuracy and is generally only useful to diagnose hepatic vacuolation or diffuse tumors such as lymphoma.

  • Obtaining liver tissue using an ultrasound-guided automated or semiautomated cutting-type biopsy needle or during laparotomy or laparoscopy is acceptable.

  • Liver tissue should be submitted for histopathologic evaluation (Figure 3).

    • In addition to standard hematoxylin and eosin, a variety of additional stains can be used, such as Fouchet’s, Masson’s trichrome, periodic acid-Schiff, Perl’s Prussian Blue iron stain, reticulin, rubeanic acid, and rhodanine.

    • Unfixed liver tissue can also be submitted for quantitative copper analysis. Note that formalin-fixed tissue is not appropriate.

  • Cholecystocentesis (either percutaneously under ultrasound guidance or directly during laparoscopy or laparotomy) should be performed in patients with suspected biliary tract disease.

  • Animals should be monitored carefully for signs of hemorrhage for ≥12 hours after sampling liver tissue. 

Microscopic view of a tissue sample showing multiple circular structures, likely follicles, surrounded by a pink-stained matrix. Black arrows indicate areas of interest, highlighting cellular features relevant to veterinary pathology.

FIGURE 3 Histopathology sample obtained at laparotomy that demonstrates regenerative nodules (wide arrows) and fibrosis (thin arrows), both of which are indicative of cirrhosis. Hematoxylin and eosin stain; 40× magnification.

Related Article: Top 5 Liver Conditions in Cats

Relative Cost

  • Relative cost for diagnosis including laboratory testing: $–$$

  • Relative cost for diagnosis including laboratory testing and diagnostic imaging: $$$–$$$$

  • Relative cost for diagnosis including laboratory testing, diagnostic imaging, and liver biopsy: $$$$–$$$$$

ALT = alanine aminotransferase, ALP = alkaline phosphatase, AST = aspartate aminotransferase, BUN = blood urea nitrogen, FNA = fine-needle aspiration, GGT = gamma-glutamyl transferase, PSS = porto-systemic shunt, PT = prothrombin time, PPT = partial thromboplastin time