
In the Literature
Ruhnau J. A trans-orbital projection for radiological evaluation of the maxillary first molar tooth in dogs. J Vet Dent. 2023;8987564221150607. doi:10.1177/08987564221150607
The Research …
Full-mouth intraoral radiographs should be obtained during every dental assessment. Preoperative images aid in accurate evaluation of the patient’s mouth/teeth, and postoperative images document the treatment performed.1-3 Numerous resources regarding techniques to obtain diagnostic images of the teeth and supporting tissues are available.4-7
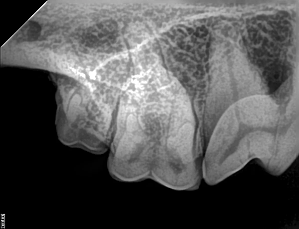
Traditional projections include a combination of intraoral parallel and bisecting angle techniques that are optimal for the largely 2D single- and 2-rooted teeth. For the 3-rooted upper fourth premolar teeth, oblique variants of the intraoral bisecting angle technique can be used to separate mesiobuccal and palatal roots7; however, traditional projections often do not capture detailed information about the buccal roots of the maxillary molar teeth and surrounding tissues in dogs (Figure 1).

Standard intraoral radiograph of right maxillary molar teeth (ie, 110, 109) using the bisecting angle technique. Palatal roots are visible, but buccal roots are hidden under the superimposed image of the crown of each tooth, making assessment of the buccal roots and their bone support difficult.
This report outlines the limitations of intraoral bisecting angle projections in assessing maxillary molar teeth, including superimposition of the maxillary molar tooth crown over the buccal roots, and describes a novel projection to address these shortcomings.
Maxillary molar teeth of 47 client-owned dogs undergoing dental treatment were radiographed using 4 intraoral projections (ie, lateral, mesiolateral, distolateral, occlusal) and extraoral transorbital projection (TOP). Each image was scored for its diagnostic value. Results demonstrated TOP was preferable for assessment of the buccal roots of the maxillary first molar tooth. TOP images showed important pathology hidden on intraoral bisecting angle projections of the same area.
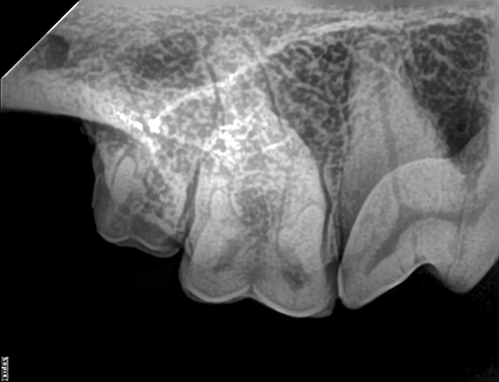
This author attempted the TOP technique on a dry-bone skull (Figure 2). An image that clearly showed the buccal roots of the first molar tooth (ie, 109) and second molar tooth (ie, 110) was obtained after 6 attempts in which the position of the sensor and angle of the tube head were adjusted (Figure 3).

Positioning to capture TOP of the right maxillary molar teeth using a size 2 digital sensor on a dry-bone skull. Lines depicting bisecting angle technique are also shown (dashed black line, plane of the radiographic sensor; solid white line, line bisecting the angle between the dashed black and solid black lines; solid black line, long axis of the buccal roots of the molar teeth; arrow, radiation beam perpendicular to the white bisecting line; dashed white line, end of the tube head).

Transorbital view of teeth 110, 109, and part of 108. Buccal roots of 110 and 109 and supporting bone are clearly visible and can be accurately evaluated.
… The Takeaways
Key pearls to put into practice:
Dental radiography is an essential part of every dental procedure.
In dental radiographic studies in dogs, TOP should be included to obtain clear radiographs of the buccal roots of maxillary molar teeth.
TOP should not replace the intraoral bisecting angle projection, as intraoral views are necessary to assess palatal roots; however, TOP can be used to obtain an additional image during full-mouth radiographic studies in dogs.
Clinicians with dental radiography experience should be able to quickly learn and incorporate TOP into dental procedures.
You are reading 2-Minute Takeaways, a research summary resource presented by Clinician’s Brief. Clinician’s Brief does not conduct primary research.