Intermittent Pain & Scratching in a Cavalier King Charles Spaniel
Lucy, a 7-year-old spayed Cavalier King Charles spaniel, was presented for chronic intermittent cervical pain and scratching of the head and neck.
History
According to the owners, Lucy had a 2- to 3-year history of intermittent episodes of vocalization and reluctance to be touched around the head and neck. In addition, the dog frequently attempted to scratch her head, neck, muzzle, and ears, although rarely did the paws come into contact with the skin surface. During the past year, the dog had progressive difficulty using her pelvic limbs on slippery surfaces. The owners also suspected some hearing loss.
Examination
At examination, bilateral mild ceruminous otic debris was noted. The dog’s mentation appeared normal and no cranial nerve deficits were noted; however, response to auditory stimuli was absent bilaterally.
On gait analysis, mild generalized proprioceptive ataxia, cerebellar ataxia, and tetraparesis were noted. Myotatic reflexes were increased in the pelvic limbs, and thoracic limb flexor withdrawal reflexes were diminished bilaterally. Cervical pain and phantom scratching were elicited during vertebral column palpation.
Lesions were localized to the C6-T2 spinal cord segments, cerebellum, and auditory apparatus.
Diagnostics
CBC, serum chemistry panel, and urinalysis results were within reference ranges. Three-view thoracic radiographs showed no abnormalities. MRI of the brain and cranial cervical vertebral column showed cerebellar compression and coning secondary to the malformed caudal occipital bone, with lack of normal cerebrospinal fluid (CSF) surrounding the caudal cerebellum.
Sagittal and transverse MRI of the brain and cranial cervical spinal cord. Midline sagittal T2-weighted fat saturated MRI image (A)—white arrow indicates compression and coning of the cerebellum because of dysplastic occipital bone, and white star is located within a well-demarcated, T2-hyperintense (bright) lesion that likely represents syringohydromyelia (SHM). Midline sagittal T1-weighted MRI image (B)—black arrowhead indicates interarcuate ligament hypertrophy causing dorsal spinal cord compression at the C1-C2 vertebral articulation. Transverse T2-weighted MRI at the level of the C3 vertebra (C), displaying the extent of the SHM lesion within the spinal cord. Transverse T2 fluid-attenuated inversion recovery (FLAIR)-weighted MRI at the same level (D); the hyperintense spinal cord lesion seen is now hypointense, indicating cerebrospinal-like fluid.
A T2 hyperintense–T1 hypointense lesion within the spinal cord parenchyma from the level of C1 caudally was noted. The tympanic bullae contained T2-hyperintense and T1-isointense material. No contrast enhancement was identified (Figures 1 and 2).
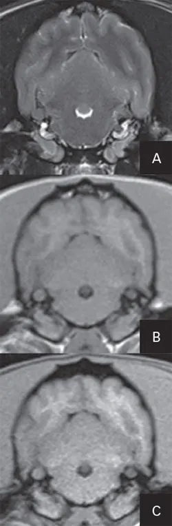
Transverse MRI at the level of the tympanic bullae: T2-weighted image (A), a T1-weighted image (B), and T1-weighted, fat-suppressed, postcontrast image (C). Note that the tympanic bullae are bilaterally affected with T2-hyperintense, T1-isointense to gray matter material that is noncontrast enhancing. These imaging characteristics are consistent with PSOM.
Related Article: Abnormal Head Position in a Terrier
Related Article: Vestibular Disease: 3 Case Studies
Ask Yourself
What are the most likely differentials for C6-T2 myelopathy in this dog?
Why does this dog appear itchy?
What are the clinical signs of primary secretory otitis media (PSOM)?
Diagnosis
Chiari-like malformation (CLM) and syringohydromyelia (SHM); bilateral primary secretory otitis media (PSOM)
Treatment
Lucy was admitted for additional diagnostic testing and treatment and underwent myringotomy and bilateral deep ear flushing. Large, clear mucus plugs were removed from both middle ears; culture of the plugs was negative for bacteria. These findings and the MRI results were most consistent with PSOM.
The patient recovered well from anesthesia and the next day was reanesthetized for foramen magnum decompression and C1 dorsal laminectomy with durotomy. Surgical recovery was uncomplicated.
After 3 days, the patient was discharged with pregabalin at 2 mg/kg PO q12h for neuropathic pain associated with SHM, omeprazole at 1 mg/kg PO q24h to decrease CSF production, and tramadol at 4 mg/kg PO q8h for 5 days to address temporary soft tissue pain. In addition, N-acetylcysteine at 600 mg PO q24h was prescribed as a mucolytic to lower the risk for PSOM recurrence.1
Outcome
At the 1-month reevaluation, the dog’s hearing seemed to have improved, but her gait abnormalities and phantom scratching persisted.
Did You Answer?
The most likely differentials are congenital anomalies (ie, CLM and SHM, atlanto-axial instability, and atlanto-occipital overlap), intervertebral disk disease, meningomyelitis, discospondylitis, and neoplasia.
CLM, also referred to as caudal occipital malformation syndrome (COMS) or occipital dysplasia, is a congenital craniocervical junction abnormality.4,5 The occipital bone is rostrally displaced, which results in the caudal fossa of the skull having insufficient space to appropriately contain the caudal brainstem and cerebellum. The dysplastic occipital bone and small relative volume of the caudal fossa can lead to compression of the caudal cerebellum, distortion of the fourth ventricle, and excessive contact between the vermis and foramen magnum. Chronic bony compression at the cervicomedullary junction ultimately results in local meningeal hypertrophy and dural fibrosis, which when combined with other anatomic anomalies can derange the flow of CSF through the foramen magnum. This turbulent flow leads to SHM (cavitation of the spinal cord). As an SHM lesion expands and progresses, it can dissect into the dorsal horn of the gray matter, disrupting sensory neurons and associated projections. This can lead to abnormal sensations, including clinical signs of phantom scratching, and to pain responses in the head and neck. The Cavalier King Charles spaniel and Brussels griffon are overrepresented; however, CLM may occur in any small-breed dog. Most animals present as young adults with phantom scratching or cervical pain response.1 Treatment of CLM and SHM can be medical or surgical (see Treatment Options for Chiari-Like Malformation & Syringohydromyelia).
PSOM, a disease of the middle ear, has been described in the Cavalier King Charles spaniel.1 Although the underlying pathogenesis is unknown, it is thought to be associated with increased production of mucus or decreased draining of mucus in the middle ear or auditory tube.6 Common signs include hearing loss, neck scratching, ear pruritus, peripheral vestibular signs or facial nerve paralysis, head shaking, and yawning. Diagnosis can be made by visualizing a bulging tympanic membrane (relatively nonspecific) or with MRI.3 Treatment centers around removal of the mucus plug, which is typically accomplished with myringotomy and ear flushing.1
Treatment Options for Chiari-Like Malformation & Syringohydromyelia
Medical
Medical management is successful in maintaining or improving signs in approximately 25% of cases.2
Pain Management
NSAIDs are typically used only for mild pain response.
For neuropathic pain, pregabalin at 2–4 mg/kg PO q12h or gabapentin at 5–10mg/kg PO q8–12h is recommended.
Prednisone at 0.5–1 mg/kg/day is typically used only as a last result on account of long-term adverse effects.
Agents to Decrease CSF Pressure3
Omeprazole at 1 mg/kg/day is typically well tolerated.
Acetazolamide is not commonly used because of adverse effects.
Furosemide is not ideal (ie, limited long-term use, dehydration).
Surgical
Surgical management is successful in improving signs in approximately 80% of patients; however, recurrence of signs because of excessive scar tissue formation has reportedly occurred in 25% of cases.4
Foramen magnum decompression consists of suboccipital decompression, dorsal laminectomy of C1, and durotomy with or without cranioplasty
CSF = cerebrospinal fluid, FLAIR = fluid-attenutated inversion recovery, PSOM = primary secretory otitis media, SHM = syringohydromyelia, CLM = Chiari-like malformation