To Cut or Not to Cut: Lameness in a Cat

ArticleLast Updated October 20154 min readPeer ReviewedWeb-Exclusive

Signalment

4-year-old castrated male domestic short-haired cat

History

An outdoor-only cat presented for evaluation of right thoracic limb swelling that the owner had noticed the previous evening, in addition to lameness that progressed overnight. The owner suspected trauma since the cat had been known to fight other cats, although a recent fight had not been observed.

Related article: To Cut or Not to Cut: Inappetence in a Cat

Physical Examination

Multiple superficial scabs were present along the skin of the lateral aspect of the right shoulder region. Pitting edema was identified surrounding the distal right antebrachium. Grade I/IV right thoracic limb lameness was detected.

The cat’s body temperature was mildly elevated at 102.9°F (normal, 101.5°F ± 1°F). The remaining vital and physical examination findings were normal. Packed cell volume, total protein, and i-Stat (hematocrit, glucose, BUN, creatinine, sodium, potassium, chloride, TCO2, ionized calcium, anion gap, hemoglobin) values were unremarkable. A complete blood count was not performed.

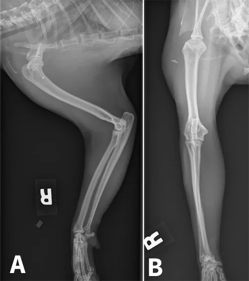
Figure 1: Right lateral (A) and craniocaudal (B) radiographs spanning the right shoulder through the digits.

Featured Image

Radiography

Right lateral and craniocaudal radiographs spanning the right shoulder through the digits (Figures 1A and B) were obtained to rule out underlying trauma.

Related article: To Cut or Not to Cut: Toe Lesion in a Cat

Radiographic Findings

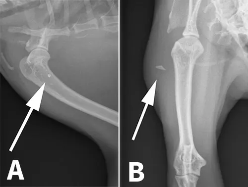
Soft tissue swelling was present lateral to the midscapula, extending to the level of the carpus. A triangular mineral opacity, measuring approximately 4 × 8 mm, was seen lateral to the proximal humerus in the craniocaudal view and superimposed over the humerus in the lateral view (Figures 2A and B). No fracture, luxation, or other osseous abnormality was detected. The findings were interpreted as abscessation and/or cellulitis secondary to a penetrating foreign body.

Figure 2: Left lateral (A) and craniocaudal (B) radiographs of the humerus demonstrating radiopaque foreign material (arrow)

Featured Image

Should this patient go to surgery?

Yes!

Outcome

The patient was anesthetized and the skin prepared aseptically for surgical exploration. Using fluoroscopic guidance, the mineral-dense foreign body (suspected to be a tooth fragment from an animal that had bitten the patient) was identified and removed using hemostats.  A large pocket of purulent exudate extending along fascial planes to the cortex of the humerus was encountered and the abscess was copiously flushed with sterile saline. A ¼-inch soft rubber drain was placed distal to the incision with the proximal end positioned in the abnormal fascial plane and secured with suture. The subcuticular and cutaneous margins of the incision were also closed with suture. After a discussion with the client, the decision was made to treat the patient empirically with antibiotics (single dose of cefovecin at 8 mg/kg SC); a specimen was not obtained for culture. Buprenorphine at 0.01 mg/kg transmucosally 3 times a day for 3 days was prescribed for analgesia.

Comments

Foreign bodies are common in veterinary patients and most frequently reported in the gastrointestinal (GI) tract. Foreign bodies outside the GI tract are typically suspected based on regional inflammation secondary to the body reacting to the foreign object. Foreign bodies are not frequently radiopaque; there is a report of tooth fragments being surgically retrieved from an abscess cavity in two cats.1 Fluoroscopic guidance, ultrasonography, or computed tomography can all be used to help ascertain the presence of a foreign body. Surgical exploration without advanced imaging may be attempted but is not always successful in locating and removing the foreign material. 

To Cut or Not to Cut is intended as a forum for those with specialized expertise to share their case experiences. As such, the content reflects one expert’s approach and is not subject to peer review.


JEAN K. REICHLE, DVM, MS, DACVR, practices at Animal Specialty and Emergency Center in West Los Angeles, California. Her clinical interests include small mammal elbow dysplasia and imaging. After finishing a rotating internship at VCA West Los Angeles Animal Hospital, Dr. Reichle completed a residency in radiology and earned an MS in radiologic health sciences at Colorado State University, where she was assistant professor for 3 years. She earned her DVM from The Ohio State University.