Acute Incisional Hernias

Daniel D. Smeak, DVM, DACVS, Colorado State University

ArticleLast Updated November 20159 min readPeer Reviewed
A surgical site is shown with exposed tissues, including muscle and blood vessels, during a veterinary procedure. A pair of forceps holds a suture needle, indicating the process of suturing a wound or incision.

Profile

Definition

  • An incisional hernia is a full-thickness abdominal wall dehiscence at the site of a surgical approach.

  • Acute incisional hernias generally occur within the first week after abdominal surgery; chronic incisional hernias are rare in small animals and can appear weeks to months after surgery.

    • When abdominal contents are exposed to the environment (ie, the overlying skin is also broken down), the hernia is said to have eviscerated.

    • When organs pass through into the hernia and become nonreducible, they are called incarcerated.

    • If the hernia contents become devitalized, they are termed strangulated.

Incidence

  • Little is known about the incidence of acute and chronic incisional hernias in small animals.

    • In humans, the incidence of acute and chronic hernias ranges from 5% to 20%, and in horses the rate is as high as 14% within the first 4 months after surgery.1

    • In 1 retrospective study reviewing continuous abdominal wall closure in 550 dogs and cats, only 1 hernia (0.18%) was documented.2

    • A cursory review of abdominal surgery cases at the author’s institution suggests that acute hernias are uncommon in small animals (<1%).

Related Article: The Case: Persistent Wound in a Cat

Causes

  • Most acute incisional hernias stem from technical errors made by the surgeon during abdominal wall closure (Figure 1).3,4

    • Causes can be grouped into suture- and tissue-related factors (see Causes of Acute Incisional Hernias).5,6

  • In rare cases, acute herniation can develop from trauma, excessive abdominal pressure from coughing, straining to defecate or urinate, or unrestricted exercise after surgery.

    • In the author’s experience, in many of these cases surgeon error likely occurred initially to weaken the closure.

A surgical site is shown with exposed tissue, highlighting the use of forceps and a suture needle in a veterinary procedure. The surrounding area is filled with blood, indicating an active surgical intervention on a soft tissue structure.
FIGURE 1

 Broken suture resulting from mishandling of the suture strand during closure in a herniated celiotomy wound.

Risk Factors

  • Documented risk factors related to incisional hernias in humans—predominantly those that might delay or inhibit wound healing or place increased stress on the incision—may also play a role in the development of these hernias in small animals.7,8

    • In humans, obesity, hypoproteinemia, extreme cachexia, cardiopulmonary complications, chronic systemic steroid administration, abdominal distension from ascites or organ expansion, overlying skin disruption, and wound infection are all known risk factors.7,8

Pathophysiology

  • After eliminating errors in surgical technique, incisional hernias result from excessive force acting on the abdominal incision or poor holding strength of suture.5

    • Excessive force on the abdominal incision is seen with conditions such as obesity, abdominal effusion, pregnancy, and organ distension from ileus or obstruction.3,9

    • Poor choice of suture material is rarely the sole cause; in patients with conditions known to cause prolonged healing or in those that are severely catabolic, or when the abdominal closure is grossly contaminated or infected, the use of unpredictable or rapidly absorbable sutures such as chromic catgut is clearly contraindicated.3,9

      • Applying the appropriate number of tightly formed square throws on the suture line (generally 5 throws on monofilament suture materials) is important to ensure secure knots.10

      • Both simple interrupted and simple continuous suture patterns using prolonged absorbable suture materials, presuming the suture lines are appropriately placed, are acceptable for abdominal wall closure.2

A close-up view of a sutured incision on a dog's abdomen, showing several neatly placed stitches along the healing skin. The surrounding tissue appears slightly inflamed, indicating post-surgical recovery.
FIGURE 2

Suspicious abdominal incision 5 days after surgery in a dog. The abrupt change in the appearance of the wound should prompt a recommendation for patient evaluation by a veterinarian.

History & Clinical Signs

  • Acute incisional hernias usually occur 3 to 5 days after surgery before wound edges begin to heal and gain significant strength.3

    • They may occur within hours to days after surgery because of catastrophic breakdown of the suture line or knot release.3

  • Wound drainage and swelling in the region of the repair are hallmark historical findings that should prompt the surgeon to examine the patient for a possible hernia.

  • Abrupt changes in wound contour and periodic changes in site swelling are also important historical clues (Figure 2).5

Featured Image
FIGURE 3

Characteristic signs of an impending hernia: wound site swelling and discharge 3 days after a cystotomy in a dog

Physical Examination

  • Swelling and serosanguineous discharge from the incision are characteristic signs of acute incisional dehiscence (Figure 3).3

    • The swelling is usually soft and not excessively painful provided there is no concurrent infection or organ entrapment present.

  • The abdominal wall should be palpated carefully.

    • Palpation can be done from a variety of positions depending on patient temperament and defect location.

      • The patient is typically positioned with the affected site facing up toward the examiner.

  • Palpation of an obvious hernia ring and “reducibility” of the contents within the swelling are diagnostic signs of a hernia.

Diagnosis

Definitive Diagnosis

  • When there is no clearly defined hernia ring (ie, the edges of the open abdominal wall incision are not palpable), or the contents of the swollen wound are not reducible, further diagnostic tests are warranted.

Differential Diagnosis

  • Abdominal swelling and incisional discharge may signal impending wall dehiscence, cellulitis, hematoma or seroma formation, or incarcerated abdominal contents within a hernia.

  • An incisional hernia that contains incarcerated falciform fat is difficult to diagnose without wound exploration (Figure 4).

A close-up view of a dog's abdomen showing a healing surgical incision along the midline, with slight redness around the edges and a small suture visible. The surrounding fur is light brown, indicating the area where the surgery was performed.
FIGURE 4

Persistent spay incision swelling in a cat. Incarcerated falciform fat was found during wound exploration.

Laboratory Findings

  • Uncomplicated incisional hernias usually cause no significant changes in the CBC or serum chemistry profile. 

    • Elevated neutrophil counts may be seen with wound infection, cellulitis, or strangulated hernia contents.

    • Occasionally, serum chemistry indices can be abnormal depending on the pathophysiologic events surrounding the type of organ that is herniated and whether the contents are obstructed or strangulated.

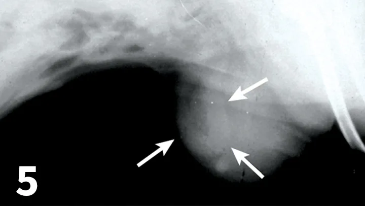
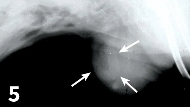
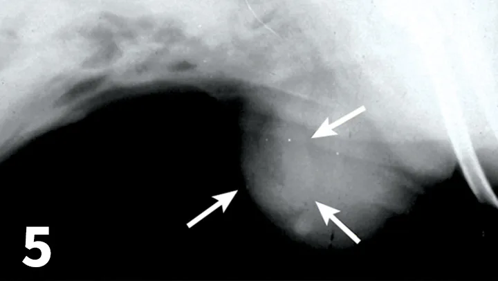
Featured Image
FIGURE 5

Lateral radiographic view showing tubular organ displacement into the subcutaneous tissues (arrows) from a ventral incisional hernia.

Imaging

  • Plain films showing abdominal organ displacement into subcutaneous tissue at the wound site are diagnostic for an incisional hernia (Figure 5).

    • Often the nature of soft tissue swelling outside the abdominal wall closure site cannot be defined clearly on plain films.

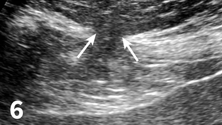
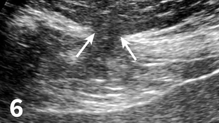
  • CT and ultrasound may help differentiate a fluid pocket from presumed cellulitis or help locate an abdominal wall defect (Figure 6).

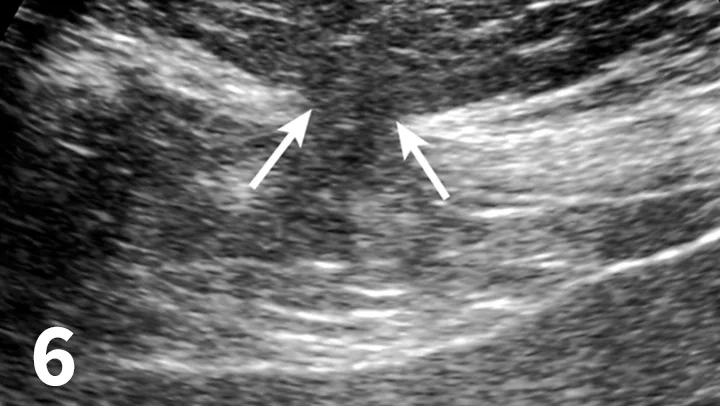
Featured Image
FIGURE 6

Ultrasound reveals a focal defect within the linea alba (arrows). Intra-abdominal fat extends through the defect into the subcutaneous tissues.

Other Diagnostics

  • Fine-needle aspiration of a fluid pocket may be indicated, especially if an abscess or ensuing infection is suspected.

    • Aspiration should be performed after imaging because any air introduced during aspiration may confuse radiographic or ultrasound findings.

    • The risk for puncturing an unsuspected herniated organ during aspiration may be a concern, but the consequences are rarely significant.

Treatment

  • Uncomplicated incisional hernias can be repaired surgically on an outpatient basis.

    • Unstable patients or those with significant comorbidities may require further evaluation and stabilization before repair is considered.

  • It is important to be vigilant about any patient with an abdominal closure that exhibits early signs of abnormal healing, particularly when the skin wound is not healed.

    • When warning signs are present, immediate physical examination of the patient is recommended.

    • Remember: Small hernias can enlarge quickly and dehisce, and this can lead to life-threatening organ trauma and sepsis (Figure 7).

A close-up view of a dog's mouth showing a severe oral lesion with exposed tissue and blood. The surrounding area appears inflamed, indicating a potential infection or injury that requires veterinary attention.
FIGURE 7

Postmortem image of an eviscerated spay incision with organ mutilation.

Acute Incisional Hernia Repair

  • When an acute incisional hernia is diagnosed, the wound should be supported immediately with a well-padded abdominal bandage and the patient fitted with an Elizabethan collar.

    • Uncomplicated closed hernias should be repaired as soon as possible.

  • All eviscerated tissue should be covered with moist sterile bandages, resuscitation and stabilization provided as needed, and the hernia repaired as an emergency.

    • Depending on the extent of organ damage and contamination, organs should be repaired, nutritional support provided, and abdominal drainage begun.

      • The abdominal wall may be left open for drainage, or the abdomen can be closed over an active suction drainage system, with the overlying skin and subcutaneous tissue left open if they are excessively traumatized and/or contaminated.

  • The abdomen should be aseptically prepared and draped liberally to permit enlargement of the approach, if necessary.

    • When the original approach was not the ventral abdominal midline, the wound over the site should be opened unless complete abdominal exploration is necessary (typically when evisceration has occurred).

      • In this instance, a ventral midline approach is preferred to provide ample exposure to the entire abdomen.

  • The entire abdominal wound, not just the portion that has obvious herniation, should be opened and residual suture material removed; if surgeon error cannot be ruled out, the entire wound should be considered susceptible to herniation from that error, and the entire abdominal approach should be repaired.

    • It is particularly important to identify the edges of the external rectus fascia.

      • In acute hernias, there is generally no need to debride the wound edges unless they are grossly devitalized, or to improve identification of this critical strength-holding fascia.

      • Removal of healthy hernia edges creates undue trauma and additional bleeding and sets the wound back in its progression to the repair phase of healing.

  • If the closure is not under excessive tension, simple interrupted or continuous sutures should be placed, incorporating at least 5-mm bites of fascia to carefully repair the abdominal wall defect.

    • The author often chooses to close the defect with preplaced interrupted fascial sutures, especially when the incisional hernia is in a deep or remote region.

  • With few exceptions, synthetic mesh or autologous muscle transfers are not necessary to close wounds unless the repairs are subject to excessive tension caused by extensive abdominal wall resection.5

  • For uncomplicated hernias in which surgical error was determined to have caused the breakdown, routine exercise restriction for 2 weeks is acceptable.

    • For patients with repairs closed under tension, or when mesh or muscle transposition was used for repair, strict cage rest for 4 weeks is recommended.

The entire abdominal wound, not just the portion that has obvious herniation, should be opened and residual suture material removed.

Medications

  • Appropriate prophylactic antibiotics (eg, a first-generation cephalosporin) should be administered at the time of anesthetic induction.

    • In eviscerated hernias, the wound should be cultured and broad-spectrum postsurgical antibiotic treatment considered.

    • The antibiotic choice should be modified based on whether the hernia was caused by infection, culture and susceptibility results, and the patient’s condition.

    • Antibiotic therapy should continue until there is no wound drainage and surrounding tissues are not inflamed.

  • IV fluids should be administered throughout anesthesia and continued until the patient is able to meet its needs orally.

Related Article: Celiotomy Abdominal Surgery

Follow-Up

Patient Monitoring

  • The patient’s vital signs should be monitored carefully to provide for safe anesthetic recovery.

  • Additional monitoring and treatments are necessary for unstable patients, those with comorbidities, or those that experienced complicated, eviscerated hernias.

  • Intraoperative complications may include anesthetic complications, hemorrhage, visceral injury, strangulated tissue or perforation, gross contamination of the site, inability to close the wound without tension, and poor tissue strength at the hernia margins.

    • Early postoperative complications may include seroma, hematoma, dermatitis, infections, wound dehiscence, evisceration, and pain.

    • Possible late postoperative complications include hernia recurrence and deep wound infection.

At-Home Treatment

  • An Elizabethan collar is provided to prevent self-trauma to the wound.

  • Wounds are generally left uncovered and monitored for postoperative complications.

  • Owners should be instructed to alert the surgeon if there are changes to the wound site or if the patient is not recovering well.

In General

Relative Cost

$$$

Prognosis

  • Because the majority of acute incisional hernias are caused by technical failure, the prognosis is good-to-excellent provided the principles of hernia repair were followed during hernia closure.

  • For more complicated incisional hernias (ie, those closed with excess tension, gross contamination, or organ compromise), the prognosis depends mainly on the stability of the patient before surgery and the extent of injury.

  • Despite the dramatic appearance of major abdominal eviscerations, prompt and aggressive medical and surgical intervention can provide a favorable outcome.11

Prevention

  • Most incisional hernias can be prevented by incorporating the principles of wall closure in the original abdominal repair:

    • Use of strict aseptic technique

    • Provision of a tension-free closure

    • Anatomic closure of the defect

    • Proper incorporation of strength-holding fascia

    • Proper technical execution of the repair