Acute Onset of Neck Pain in a Dog

An 8-year-old, spayed female Maltese with a history of well-controlled atopy and inflammatory bowel disease (IBD) presented with apparent neck pain.
History. Pain seemed to develop approximately 10 days before hospital presentation. Before its onset, the patient had been receiving a low dose of oral prednisone for IBD and allergy shots for atopy. The owners report that the dog walked with its head down, was reluctant to walk down stairs, and had a decreased appetite. Since the onset of neck pain, the dog occasionally showed shifting thoracic limb lameness. Cage confinement was attempted but was not successful in resolving the problem.

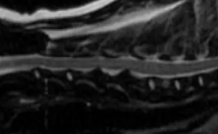
T2-weighted magnetic resonance images of cervical spine, sagittal view.

T2-weighted magnetic resonance images of cervical spine, axial view.
Examination. Physical examination was normal. Neurologic examination was also normal, with the exception of a "nose-down" posture and cervical hyperesthesia on palpation of the neck. The dog appeared to be experiencing severe neck pain.
Laboratory results. Within normal limits.
Ask Yourself...
Hansen type I (often referred to simply as type I) disk extrusion is common, especially in small-breed dogs. When these extrusions occur in the cervical region, severe neck pain with few if any neurologic deficits is a common clinical presentation. Dogs with cervical type I disk extrusion occasionally exhibit thoracic limb lameness-this is referred to as a "root signature" because it is believed to be due to irritation of cervical nerve roots by laterally extruded disk material.1
Disk fenestration is a procedure of questionable efficacy that is directed at prevention of further disk extrusion into the vertebral canal. Since fenestration does not allow for removal of the disk material within the vertebral canal, which is the cause of the discomfort, it is not a suitable therapy.1,2
Antiinflammatory doses of glucocorticoids are often used in cases of disk extrusion but should only be used in medically managed patients under strict cage confinement.1
Because of potential for additive adverse side effects (especially gastrointestinal), glucocorticoids and nonsteroidal antiinflammatory drugs should never be administered concurrently.1
The full 3- to 4-week confinement period, often recommended as a medical therapy for type I disk extrusion, is contingent on a positive response to such confinement within the first week.1 In this case, confinement therapy clearly failed because the dog was still experiencing considerable discomfort.
The dog in this report is unusual because there were two concurrent disk extrusions. Exceeding the recommended ventral slot length and width may lead to vertebral instability.3 This factor was of particular concern in this case because surgery was done on two adjacent intervertebral disk spaces. An alternative approach could have been to perform a dorsal decompressive procedure over the affected disk spaces.4
Take-Home Message
In dogs with unrelenting neck pain due to type I cervical disk extrusion, surgical treatment via a ventral slot procedure is often indicated.