Traditional Radiography Versus Oral Radiography

ArticleLast Updated April 20061 min readPeer Reviewed

Dental images are best obtained with oral radiography techniques using dental film or a digital sensor and a dental x-ray machine. Locating the dental radiographic unit in the dental operatory makes it quick and easy to take dental radiographs. The film is placed intraorally in most instances to help eliminate overlap of structures. The tube head is manipulated into the correct position for taking the radiograph.

It is less convenient and more technically difficult to obtain high-quality dental images with traditional radiographic techniques. The radiograph machine is usually distant from the dental operatory, making it necessary to move the patient to obtain radiographs. Positioning is more difficult because the tube head is stationary. The need for extraoral film placement increases the difficulty of avoiding overlapping of structures. Dental films placed intraorally can be used with a standard radiographic machine to help with some of these problems; however, the practitioner wishing to incorporate dental radiology into his or her practice is advised to invest in a dedicated dental unit.

Skulls were used for these images. Dental images were obtained with a digital sensor; the traditional radiographs were taken using extraoral technique with a standard radiographic machine.

Featured Image
A radiographic image shows a close-up view of a canine thoracic cavity, highlighting the heart and surrounding structures. The image displays varying densities, indicating the presence of soft tissues and potential abnormalities within the chest area.
A lateral radiograph of a dog's skull shows the upper and lower jaw with clearly defined teeth and roots. The image highlights dental structures, including potential abnormalities such as tooth alignment and bone density.
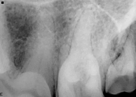
A dental radiograph shows the roots of a canine tooth with visible periodontal disease, including bone loss and changes in the surrounding alveolar bone structure. The image highlights the areas of concern for potential treatment and diagnosis.
Featured Image
Featured Image
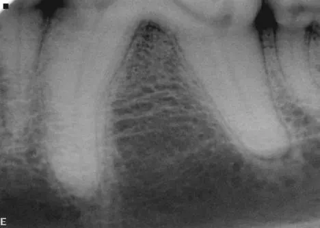
A dental radiograph showing the roots of a canine tooth, highlighting the surrounding bone structure and periodontal tissues. The image reveals details of the root canal system and any potential signs of dental disease or abnormalities.
A radiograph displays the lower jaw of a canine, highlighting the alignment and condition of the teeth and jawbone. The image reveals the dental structure, including the roots and crowns of the teeth, providing insights into potential dental issues.