Top 5 Reproduction Concerns in Dogs

Stefano Romagnoli, DVM, MS, PhD, DECAR, University of Padua, Padua, Italy

ArticleLast Updated January 201710 min readPeer Reviewed
Dog lying on blanket with newborn puppy lying curled up against the bottom of its head.

Canine breeding is increasing in popularity worldwide, and subsequently, reproduction problems are becoming increasingly common. Following are the most common veterinary reproduction concerns presented to the author.

1. Ovulation Timing

Identifying the day of ovulation in the bitch is becoming increasingly important in small animal practice, not only for maximizing fertility but also for proper management of canine parturition, high-risk pregnancy management, and cycle manipulation with hormone therapy (Table 1). The most practical way to identify canine ovulation is to perform vaginal cytology every 2 to 3 days starting from the onset of proestrus and then running progesterone assays once vaginal epithelial cells reach ≥50% superficial cells (Figure 1). Serum progesterone is typically <1.0 ng/mL (3.18 nmol/L) in early proestrus, around 2.0 (±0.5) ng/mL (6.36 (+/- 1.59) nmol/L) on the day of luteinizing hormone (LH) surge, and 4-10 ng/mL (12.72 - 31.80 nmol/L) at the time of ovulation. Canine ovulation may take up to 2 to 3 days; oocytes then require an additional maturation period of 48 to 72 hours before fertilization is possible.1 Canine oocytes are viable for up to 170+ hours postovulation, but because of the time required for canine oocytes to mature, the optimal breeding time is 2 to 4 days postonset of ovulation. Conception can occur, albeit with likely a small litter size, if the bitch is bred as early as 7 days before or as late as 5 days after ovulation.

Cytology showing numerous angular cells with and without nuclei.
FIGURE 1

Vaginal smear of a bitch in estrus. The epithelial cells can be defined as keratinized (or cornified) because of their angular borders and because most of their nuclei are pyknotic, faint, or absent. The percentage of keratinized epithelial cells is >80%, which is typical of full heat. 100× objective

Reasons to Time Ovulation in the Bitch

Goal

Method

Maximize conception rates and litter size

Breed on days 2 and 4 postovulation with fresh or fresh-chilled semen or on day 3 and/or 4 postovulation with frozen semen

Predict date of parturition

Due date is 63 days ( +/- 1 day) from ovulation; ovulation must be properly timed using vaginal cytology and serum progesterone assay

Evaluate proper breeding management in the diagnostic investigation of fertility cases

Bitches bred outside their optimal fertile window will have questionable fertility

Choose the right time for hormonal administration

Progestogen treatment or estrus-inducing drug administration should be avoided during the 2-month diestrus window to avoid overdosing or lack of efficacy, respectively

2. Pyometra

Pyometra is a diestrual disease typical of adult intact bitches. Its occurrence is strongly influenced by sequential progestational stimulation (normal diestrus or treatment with progestins) of the uterus. Females giving birth regularly throughout their reproductive lives are less likely to develop pyometra than those that do so rarely or never (author experience). During the luteal phase of the estrous cycle, the canine endometrium proliferates and secretes endometrial fluid (ie, uterine milk) while the cervix remains closed and myometrial contractility is inhibited (Table 2). Fluid accumulates in the endometrial glands, which then dilate and can become fairly large (diameter, 0.3-2.0 cm; author experience). The endometrial pathology that develops is referred to as cystic endometrial hyperplasia (CEH), which is a precursor to some pyometras, as uterine milk itself constitutes an inflammatory stimulus and is an excellent culture medium for bacteria. CEH is a physiologic phenomenon; its regression starts during the second half of diestrus. CEH may not entirely disappear from some sections of the endometrium with time and repeated open (nonpregnant) cycles; this increases the chance of persistent endometrial inflammation. Gestation is widely thought to be protective and to prevent CEH lesions from developing in areas of the endometrium where placental attachment occurs. However, pyometra can occur in a single uterine horn or part of a horn, with pregnancy in the opposite horn or another portion of the same horn.

Effects of Estrogen & Progesterone on Reproductive Tissues*

Structure

Estrogen

Progesterone

Endometrium

Growth, vascularity, edema of the endometrium

Proliferation and secretory activity of endometrial glands

Cervix

Relaxation and dilatation

Closure

Myometrium

Stimulation of contractility

Inhibition of contractility

Uterine lumen

Stimulation of migration of polymorphonuclear cells into the lumen

Inhibition of migration of polymorphonuclear cells into the lumen

*These effects are observed during endogenous secretion as well as after exogenous administration.

Engorged uterus removed from dog lying on metal tray.
FIGURE 2

Dilated uterus of a bitch with pyometra

Pyometra should always be treated with specific antibiotics (based on culture and susceptibility testing) and fluid therapy. Bitches not intended for breeding should undergo ovariohysterectomy (Figure 2). Medical management includes myocontractant drugs such as prostaglandin F2 α (PGF2 α) or prostaglandin E (Table 3). Treatment is continued until ultrasonographic images show an empty, normal uterus and there is clinicopathologic evidence of absence of leukocytosis. When available, aglepristone (a progesterone-receptor antagonist) can be effective in treating closed-cervix pyometra and can be used safely in breeding bitches. If no progesterone-receptor antagonist is available, surgery is the only option for a closed-cervix pyometra.1

Commonly Used Prostaglandin Compounds to Induce Luteolysis & Cause Uterine Contractility in Bitches

PGF2 α or E*

Daily Dose

Administrations Per Day/Route

Natural PGF2 α (PGF2 α)

Dinoprost (PGF2 α)

50 µcg/kg

2-4/SC (author experience)

Cloprostenol (PGF2 α analog)

1 µcg/kg

1/SC

Alfaprostol (PGF2 α analog)

20 µcg/kg

2/SC

Fenprostalene (PGF2 α analog)

2.5 µcg/kg

1/SC

Misoprostol (PGE)

10 µcg/kg

2/PO

*Prostaglandins should be used with caution to treat a closed-cervix pyometra because of the risk for uterine rupture or for pushing uterine pus retrograde into the oviducts. Most PGF2 α compounds cause some side effects (eg, panting, vomiting, diarrhea) for the first few days of treatment, but adverse events can be avoided by starting with half the normal dose and gradually achieving the full dose within the first 2 to 3 days of therapy. Misoprostol is a human compound that causes only uterine contractions (no luteolysis) in bitches and queens with only mild GI side effects in a few patients.

3. Urinary Incontinence

Urinary incontinence (UI) is the involuntary loss of urine that occurs when the bladder is still in its filling phase and the animal is typically recumbent and/or standing. 

The most common reason for UI in spayed bitches is urethral sphincter mechanism incompetence (USMI)—a reduced urethral closure due to weakening of the urethral sphincter that commonly develops after spaying. USMI is thought to result from lack of estrogenic stimulation.2 Ovariectomy or ovariohysterectomy increases the risk for developing UI, as evidenced by its incidence in spayed bitches (up to 20%), and a relative risk for UI ≈8× higher in spayed than intact bitches.3,4 Spayed bitches account for ≈75% of canine cases, although the problem is sometimes observed in prepubertal dogs due to congenital conditions.4 In prepubertal animals, 1 or both ureters terminating at the apex of the bladder neck, the level of the urethra, or the cranial vagina can cause continuous dribbling of urine. Pathologic development of the urogenital system in intersex conditions can also cause UI. 

The treatment of choice for UI caused by USMI involves oral administration of sympathomimetic drugs or estriol (other estrogens should not be used).5

Phenylpropanolamine, an α-agonist available for veterinary use in many countries, can be used at 1 mg/kg PO q8-12h. Pseudoephedrine can also be used at 1.5 mg/kg PO q8-12h. Having the bitch maintain a small bladder during periods of recumbency is helpful. In many animals, the efficacy of both sympathomimetic and estriol medications tends to decrease over time despite increasing dosages, perhaps because of estrogen-receptor desensitization. Because of the multifactorial character of this condition, no single treatment is 100% effective, especially long-term. Recently, the gonadotropin-releasing hormone agonist deslorelin has shown some efficacy, providing full continence in ≈50% of treated bitches and an improved response to other drugs in ≈20% of bitches.6

4. Benign Prostatic Hyperplasia

The prostate of intact male dogs increases in weight until 4 years of age.7 The growth process is characterized by cellular hyperplasia resulting in a smooth, symmetrical, nonpainful enlarged gland. Benign prostatic hyperplasia (BPH) may result in androgen-dependent hypertrophy and the development of cysts of increasing size within the prostatic parenchyma. Small retention cysts may be evident in as many as 16% of dogs by 2 years of age.8 Prostatic infectious disease is associated with more cysts and larger gland size; bacteria ascend the urethra and settle in the cystic fluid. Hematogenous spread of bacteria, bacterial seeding from the kidneys and bladder via urine or from the testicles, and epididymis via semen can also occur. BPH incidence increases to >80% with advanced age,7,9 but not all dogs show clinical signs. Prostatic growth and secretion are modulated by 5α-dihydrotestosterone (5α-DHT), the active androgen at the intracellular level. DHT is a metabolite of testosterone produced via the action of 5α reductase.

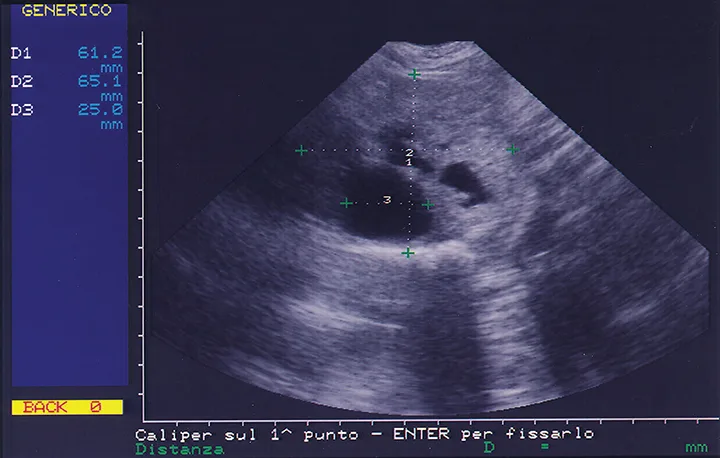
Ultrasound image of prostate with markers on screen delineating size of findings.
FIGURE 3

Ultrasonographic image of a typical aspect of canine benign prostatic hyperplasia. The prostate is increased in size (measuring 61.2 [diameter 1] × 65.1 mm [diameter 2]) and features 3 cysts, the largest of which (diameter 3) has a diameter of 2.5 cm.

The most common clinical signs of BPH are bloody penile discharge and hematuria or hematospermia.10 As the prostate enlarges, dyschezia, dysuria, poor semen quality, or infertility may be observed; this depends on the degree of prostatic fluid alterations. Increased prostatic size and presence of prostatic cysts on abdominal ultrasound are common findings (Figure 3). Urinalysis helps rule out urinary tract disease as a cause of penile discharge. Cystitis, if present, should be treated concurrently. BPH can be distinguished from prostatitis by lack of pain on transrectal prostatic palpation. Acute and chronic prostatitis will both present with leukocytes in the prostatic fluid sediment. Differentiating BPH from prostatic adenocarcinoma (PA) is more challenging, but PA is rare and is less common in intact males. A treatment course for BPH quickly eliminates clinical signs. Fine-needle aspiration or prostatic biopsies are diagnostic for PA.

Castration is curative. Recent studies suggest that incidence of prostatic carcinoma may be higher in castrated dogs than in intact dogs.11 Treatments that do not decrease libido and fertility are finasteride (0.1-0.5 mg/kg [maximum, 5.0 mg] q24h for life) and osaterone acetate (0.25-0.5 mg/kg q24h for 7 days). Finasteride works by blocking conversion of testosterone to DHT by interfering with the 5α-reductase enzyme.12 Osaterone, a progestogen, competitively binds androgen receptors, which prevents testosterone from binding within the prostatic parenchyma. Other treatments include:

  • Chlormadinone acetate (0.1-0.3 mg/kg PO q24h for 1 month)13

  • Deslorelin (one 4.7-mg or 9.4-mg implant works for 6 or 12 months, respectively)

  • Delmadinone acetate (1-2 mg/kg IM or SC; repeat in 4-7 days if needed)

5. Ovarian Remnant Syndrome

Ovarian remnant syndrome (ORS), the occurrence of heat after ovariectomy/ovariohysterectomy, is normally caused by ovarian tissue not completely removed during surgery. It should not be confused with ectopic adrenocortical tissue, which does not produce enough gonadal steroid to produce estrus signs. A less common cause of ORS can be a piece of ovarian tissue accidentally dropped into the abdominal cavity during surgery. Such pieces of tissue can establish vascular connections with the omentum or the serosa of abdominal viscera and become active again, allowing follicular development. Normal cyclicity has been reported in experimental cases of bitches in which a sliced fragment of ovary was purposefully left in the abdomen and later revascularized.14

Bitches with ORS may display signs of proestrus or estrus at regular or irregular intervals. Signs of heat may appear from several months and up to 10+ years.13 Estrus signs are often characterized by the normal sequence of physical changes typical of proestrus and estrus (eg, attractiveness to males and acceptance, vulvar swelling and discharge, cornified vaginal cytology), and breeding may be observed. Bitches with ORS may exhibit signs of false pregnancy several weeks to a few months following estrus behavior, and false pregnancy may be the only sign if estrus was silent. 

Diagnosing ORS begins with confirmation of estrogen stimulation via a cornified vaginal smear in a spayed dog showing signs of heat and exclusion of exposure to exogenous estrogen. LH or anti-Müllerian hormone (AMH) testing may aid with diagnosis. A negative LH test or a positive AMH test is consistent with retained ovarian tissue. If these are nondiagnostic, further testing involves stimulation testing measuring estradiol and/or progesterone following gonadotropin administration. Lack of response to stimulation testing does not always rule out ORS because some remnants do not seem to respond in a typical fashion; in these cases, exploratory laparotomy may be necessary. 

Serum progesterone should be assayed on a serum sample collected 1 to 2 weeks after the end of estrus. A serum progesterone concentration of >2.0 ng/mL (> 6.36 nmol/L) indicates presence of active luteal tissue. Laparotomy can be performed looking for a small piece of yellowish tissue at the level of the ovarian stump or the broad ligament. All tissues removed at surgery should be submitted for histopathology.

Conclusion

Practitioners should stay abreast of these challenges to be able to fulfill client expectations and patient needs.