Thoracic Injuries in Dogs with Blunt Trauma

Armi Pigott, DVM, DACVECC, BluePearl Pet Hospital, Glendale, Wisconsin

ArticleLast Updated March 20203 min read

In the Literature

Kirberger RM, Leisewitz AL, Rautenbach Y, et al. Association between computed tomographic thoracic injury scores and blood gas and acid-base balance in dogs with blunt thoracic trauma. J Vet Emerg Crit Care (San Antonio). 2019;29(4):373-384.


The Research …

Common injuries following blunt thoracic trauma include pulmonary contusion, pulmonary laceration, pneumothorax, hemothorax, and rib and sternal fractures and subluxations. Thoracic injuries are commonly overlooked when distracting injuries (eg, limb fracture) are present or when thoracic radiographs are acquired immediately after the injury occurs, as thoracic injuries may take more time to appear.1,2 Approximately one-third of dogs with limb fracture (thoracic or pelvic) due to collision with a motor vehicle also have radiographic evidence of thoracic trauma.1 Air and fluid accumulation in the pleural space may be evident within minutes or may take hours to become apparent, depending on the size and rate of the fluid or air leak. Pulmonary contusions may take ≥4 hours to appear radiographically.2

CT imaging is routinely performed in humans and is directly responsible for treatment plan alterations in 20% to 34% of trauma patients.3-5

Because CT is not as widely available to veterinarians, this study sought to determine if parameters from arterial blood gas and acid-base status could predict the type and degree of thoracic pathology in place of a CT scan in dogs with blunt thoracic trauma.

Dogs presented with respiratory changes and/or fractures within 48 hours of being struck by a motor vehicle were eligible for study inclusion. Patients in severe respiratory distress that required intervention were excluded. In total, 31 patients were included and underwent CT scan and arterial blood gas evaluation ≥4 hours after injury and within 24 hours of presentation. Each patient was assigned a trauma triage score, and each CT scan was evaluated and scored using a novel scoring system. Arterial blood gas values and acid-base status were compared with values obtained from a control group of 15 healthy dogs.

Concordance between CT findings and blood gas/lactate values was found; however, inclusion of these values did not change diagnosis or treatment recommendations in patients with significant CT lesions. Acid-base imbalances in this study were generally found to be mild, insignificant, and variable.

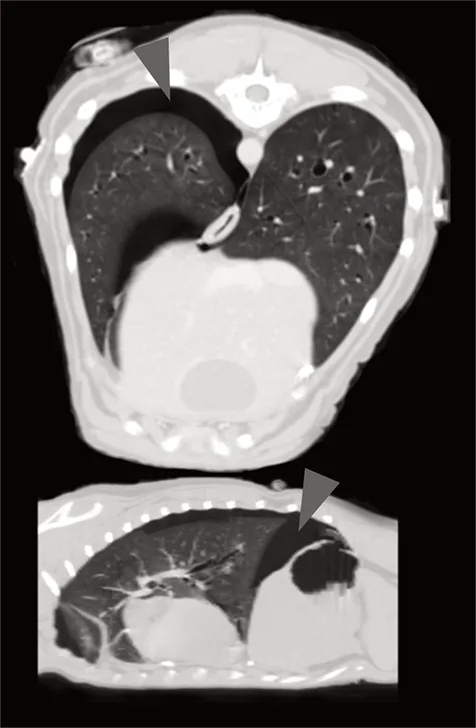
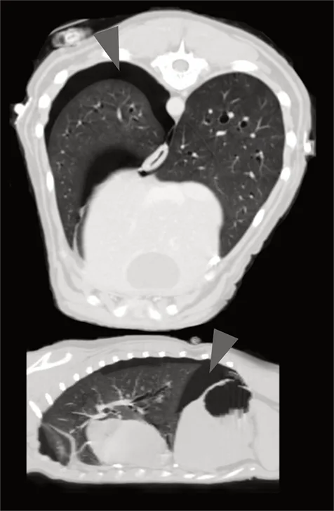
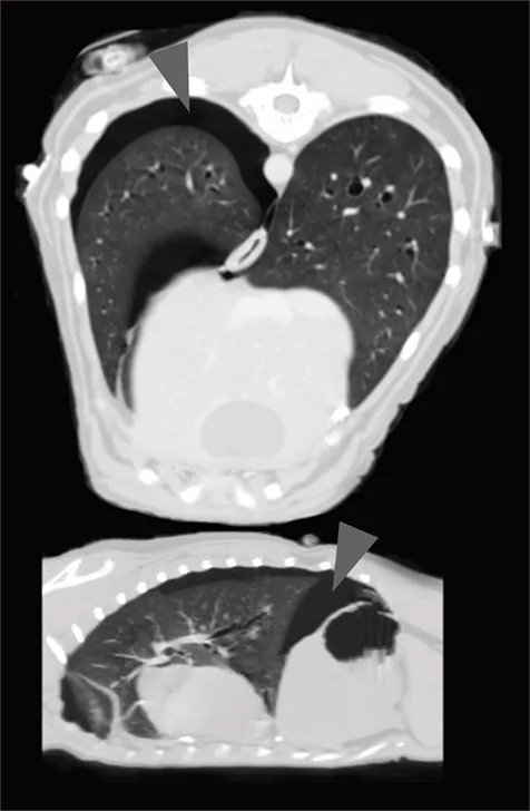
Featured Image
FIGURE

Axial and sagittal CT scan showing pneumothorax (arrowheads) in a dog following motor vehicle blunt trauma


… The Takeaways

Key pearls to put into practice:

  • Patients with blunt trauma should be evaluated for pulmonary contusions, air and fluid in the pleural space, and rib fractures or dislocations.

  • A combination of thoracic imaging and respiratory parameters should be evaluated, as each variable alone fails to provide a complete picture.

  • Patients with a combination of thoracic injuries are more likely to have worse oxygenation abnormalities as compared with patients without a combination of injuries; these abnormalities are likely to evolve and change over several hours.