Tenesmus & Hematochezia in a Dog

Adi Wasserkrug Naor, DVM, DACVP, Kansas State University

ArticleLast Updated April 20174 min readPeer Reviewed
A close-up of a mixed-breed dog with a scruffy black and gray coat and expressive brown eyes, set against a blurred green background. The dog appears alert and attentive, showcasing its healthy appearance and well-groomed fur.

Will, a 10-year-old neutered male terrier crossbreed, was presented for hematochezia of 1 week’s duration.

History

The patient was presented to the referring veterinarian with a 1-week history of bleeding from the rectum after passing feces. The owner reported that Will was straining to defecate, but fecal consistency was normal. A mass was identified on rectal palpation, and because of the location of the mass, Will was referred to a university veterinary hospital for further evaluation and diagnostic testing.

Physical Examination 

On presentation, the patient was quiet, alert, and responsive. He was obese, with a BCS of 5/5. Temperature (100.6<sup°sup>F [38.11<sup°sup>C]), pulse (120 bpm), and respiratory rate (28 breaths per minute) were within reference intervals. Mucous membranes appeared normal. Rectal palpation revealed a mass (1-2 cm in diameter, smooth, well demarcated and extending past finger distance) located on the left rectal wall ≈10 cm from the anal opening. Soft, bloody feces were noted on the hair coat of the perineum and pelvic limbs. There was no evidence indicating the patient was painful or of rectal bleeding at examination.

Related ArticlesImage Quiz: Cutaneous & Subcutaneous NeoplasmsTop 5 Oncologic Conditions that Respond to Surgery in Dogs

Diagnostic Findings

CBC results indicated a mild stress leukogram characterized by mild leukocytosis (16.5 ×103/μL; range, 4.3-13.6 ×103/μL) due to a mild mature neutrophilia (14.2 ×103/μL; range, 2.5-9.3 ×103/μL) with a lymphocyte count toward the low end of the reference interval (1.3 ×103/μL; range, 0.8-4.3 ×103/μL). 

Serum chemistry profile results indicated mild hyperglycemia (122 mg/dL; range, 70-120 mg/dL) consistent with stress, mild hyperproteinemia (7.3 g/dL; range, 5.3-6.9 g/dL) due to very mild hyperglobulinemia (3.1 g/dL; range, 1.8-3 g/dL), and a high normal albumin concentration (4.2 g/dL; range, 3.2-4.2 g/dL) likely due to mild dehydration.

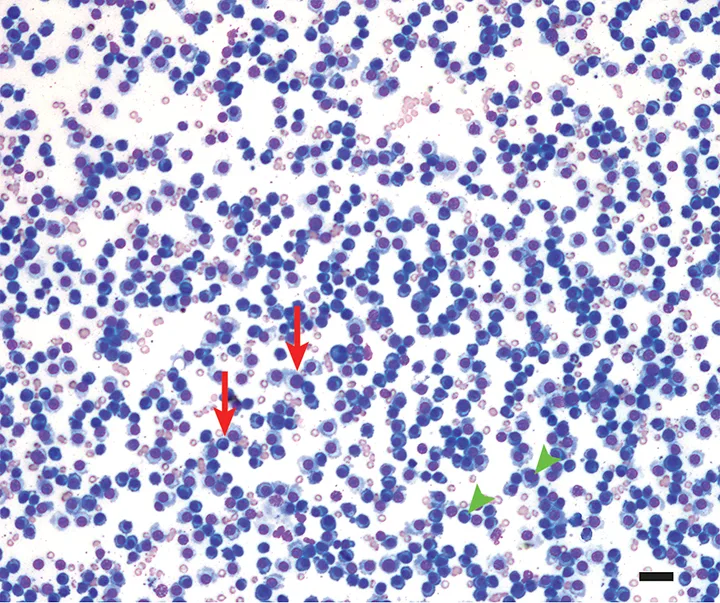
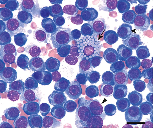
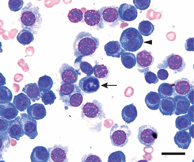
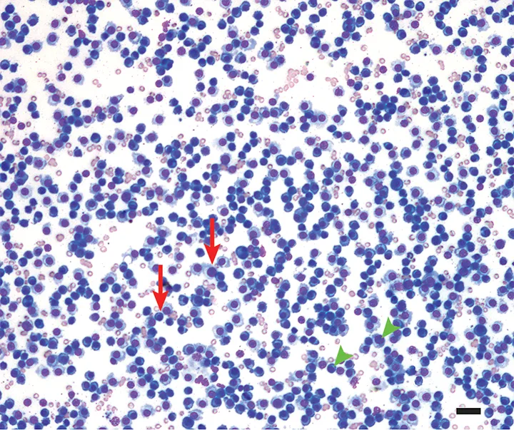
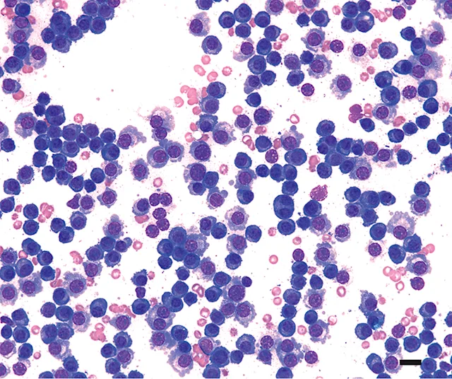
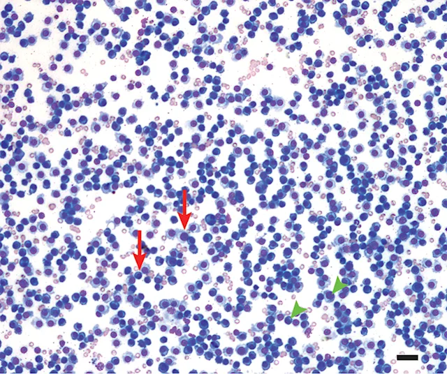
Fine-needle aspiration (FNA) of the mass was pursued, and smears were submitted for cytologic evaluation (Figures 1-4).

selected slide image
1 / 4

FIGURE 1 FNA cytology of a rectal mass in a dog. A high density of discrete, round plasma cells can be seen. Mild anisocytosis (red arrows) and anisokaryosis (green arrows) are present. (Modified Wright’s Stain, 200× magnification; scale bar = 20 µm)

Cytology Results 

Cytologic smears showed high nucleated cellularity with excellent cell preservation. Nucleated cells consisted primarily of round cells arranged both individually and in large aggregates. Nuclei were round and eccentrically placed and had finely-stippled-to-coarse chromatin patterns; 1 to 2 prominent, round, small nucleoli were present. Cytoplasm was deep blue and moderate in amount and often exhibited a prominent, pale Golgi zone. Occasional binucleated and rare multinucleated (3+) cells were seen. Anisocytosis and anisokaryosis were mild-to-occasionally moderate. Rare mitotic figures (round in shape; high density of long, purple structures [consistent with chromosomes] arranged in aggregates) were observed.

Diagnosis 

Extramedullary plasma cell neoplasm (plasmacytoma)

Treatment & Outcome

Because of the tumor’s location and size, complete surgical excision was not possible. The owner declined incomplete resection. Chemotherapy treatment, including melphalan and prednisone, was suggested but was declined by the owner. Ten days after presentation to the university veterinary health center, Will was presented on emergency for worsening rectal bleeding. On physical examination, a severe rectal prolapse was identified. The owner elected euthanasia.

Discussion

Plasma cell neoplasms are a monoclonal proliferation of plasma cells.1 According to the World Health Organization’s classification of canine malignant lymphomas, plasma cell tumors include plasmacytomas and myelomas.2 Plasmacytomas in dogs have historically included focal proliferations of plasma cells in soft tissue (ie, extramedullary plasmacytomas) and solitary proliferations of plasma cells in bone (ie, solitary osseous plasmacytomas).1 The term plasmacytoma is used interchangeably with the term extramedullary plasmacytoma (or extramedullary plasma cell neoplasia) and refers to a plasma cell tumor that arises outside the bone.1 In dogs, solitary osseous plasmacytomas may be manifestations of myelomas, which are plasma cell tumors that arise within the medullary region of the bones (ie, bone marrow). Myeloma is frequently called multiple myeloma because it is often identified in multiple sites.1 In dogs, diagnosis of myeloma requires the presence of at least 2 of the following criteria3:

  • Monoclonal gammopathy (in such cases, the plasma cells are typically secretory)

  • Bone marrow plasmacytosis

  • Lytic bone lesions

  • Light chain or Bence Jones proteinuria

In domesticated species, extramedullary plasmacytomas are most commonly diagnosed in dogs; however, they have also been reported in cats, ferrets, horses, sheep, and Syrian hamsters.4 In dogs, extramedullary plasmacytomas typically involve the skin or oral cavity, but GI, tracheal, and brain plasmacytomas have also been reported.1 

In dogs, extramedullary plasmacytomas are rarely associated with systemic disease. In only ≈1% of canine cases do the neoplastic plasma cells of a plasmacytoma secrete immunoglobulins, which often causes hyperglobulinemia.1,5 Generally, plasmacytomas are benign and rarely recur when surgically excised.1 There is no proven progression or connection between extramedullary plasmacytomas and myelomas in dogs.5 A series of case reports on colorectal plasmacytomas demonstrated that these neoplasms clinically behave similarly to extramedullary plasmacytomas in other locations.6

The treatment of choice in plasmacytoma cases is complete surgical excision, which is also generally the sole treatment, as recurrence is rare. For cases in which complete excision is not possible or in cases of regrowth, a full course of radiation or chemotherapy has been reported to improve survival times.7 The recommended chemotherapy treatment includes melphalan, cyclophosphamide, and steroids.7

FNA = fine-needle aspiration