A Sticky Situation: Foreign Body in a Dog

ArticleLast Updated March 20132 min readWeb-Exclusive
Featured Image

Brody, a 6-year-old neutered male Pomeranian, presented to the emergency clinic with a 24-hour history of vomiting. In addition to Brody’s vomiting, the owners reported normal but decreased bowel movements, anorexia, lethargy, and a distended abdomen. The dog had no significant past medical history, was current on vaccines, and was not on any medications aside from flea and tick preventives.

Physical Examination

Featured Image

At presentation, Brody was alert but quiet. His heart rate was elevated (150 bpm) with moderate femoral pulses. His respiratory rate and effort were normal; his mucous membranes were pink but tacky with an estimated 7% dehydration; and his abdomen was tense, uncomfortable, and slightly distended.

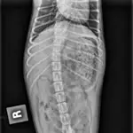
Prompted by history and examination, abdominal radiography was performed. Radiographs showed moderate distention of the stomach with a coarse, uniformly mottled opacity with well-defined margins. There were no small intestinal abnormalities. A small mineral opaque foreign body was present in the colon.

Diagnosis

Gastric foreign body was suspected.

Further questioning with the owner revealed that Brody was unattended in the garage 24 hours prior for 10 to 15 minutes, before to the onset of signs, where the family’s Gorilla Glue (gorillatough.com) was stored.

Gorilla Glue

With an active ingredient of diphenylmethane diisocyanate, Gorilla Glue expands rapidly when exposed to moisture, developing a large, foamy and firm consistency. The foreign body is formed (commonly in the stomach) within minutes of ingestion, resulting in a gastric foreign body. The rapid expansion of the material makes emesis not only ineffective but contraindicated, as there is risk for the material to form a more serious esophageal foreign body.

Brody was reported to have vomiting and a distended abdomen; other common adverse effects include hematemesis, abdominal pain, anorexia, and lethargy. More serious effects include gastric ulceration and rupture.

Treatment

Following examination and diagnostic results, an exploratory laparotomy was recommended with gastrotomy likely. Preoperative blood work (CBC and serum biochemistry panel) showed no significant electrolyte or body system abnormalities.

Outcome

Brody was treated with IV-crystalloid fluid therapy to improve hydration followed by an uneventful simple gastrotomy.  During the surgical procedure, a hardened mass of expanded Gorilla Glue was removed from the stomach. There was no gastric mucosal ulceration and Brody was discharged 48 hours after admission.