Risk-Reward of Needle-Aspirate Cytologic Assessment of Cavitary Effusions

ArticleLast Updated April 20173 min read

In the Literature

Moore AR, Coffey E, Leavell SE, et al. Canine bicavitary carcinomatosis with transient needle tract metastasis diagnosed by multiplex immunocytochemistry. Vet Clin Pathol. 2016;45(3):495-500.


The Research …

Collection and assessment of cytologic samples from cavitary effusions is an important diagnostic step in veterinary practice. Although it is generally a low-morbidity procedure, the risks (adverse events) and rewards (likelihood of providing contributory diagnostic information) necessitate preprocedural client education.

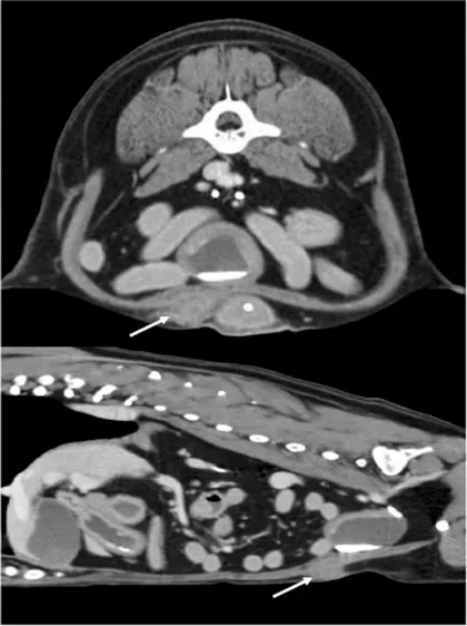
Figure 1 Contrast CT scan (axial and sagittal) showing needle-tract metastasis (arrows) in the abdominal body wall of a dog resulting from a needle aspirate of a primary bladder transitional cell carcinoma.

Featured Image

Two important points are illustrated and discussed in the context of this case report involving a dog with bicavitary effusion that underwent thoracocentesis for cytologic assessment. First, thoracocentesis is generally held to be a relatively simple, routine procedure associated with low procedural morbidity. In the case reported, a presumed needle tract metastasis resulted. Importantly, the authors referenced data in the human literature that suggest needle-tract metastasis is a rare event and that diagnostic information gained outweighs this uncommon risk.1

For diffuse malignant disease for which local curative therapies are not possible (eg, carcinomatosis), needle-tract metastasis is not likely to impact prognosis or treatment; therefore, overall risk is even lower. In contrast, when dealing with potentially localized tumors (eg, solitary primary lung tumors, localized transitional cell carcinoma of the bladder), the clinical consequences of needle-tract metastasis may be greater as therapeutic interventions directed at local control of disease (eg, surgery, radiation therapy) may exist. In those instances, although risk is low, it must be weighed against the likelihood of curative or durably controllable local disease management and discussed in context with the client.

Secondly, this case illustrated the difficulty commonly encountered in clinical practice when reactive mesothelial cells cannot be accurately differentiated from malignant cells using standard light-microscopic assessment. In general practice, cytologic assessment may not be rewarding by itself and should be interpreted in the context of all available information (ie, history, signalment, imaging) and used to support further diagnostic steps. 

Importantly, pathologists employed a multiplex immunocytochemistry procedure in this report. Although useful in this case, this technology is under patent development and would require further validation in the general practice environment where sample transport and delayed specimen assessment could influence results before it can be generally recommended.


… The Takeaways

Key pearls to put into practice:

  • Educate clients that the risk of needle-tract metastasis is low and that, although needle-tract metastasis is not likely to impact outcomes with diffuse disease, it may impact spread of local disease.

  • Inform clients that cytologic assessment of effusions, although helpful, may not result in a definitive diagnosis.

  • Preprocedure discussion with the clinical pathologist/laboratory should be routine to discuss availability of new diagnostic assessments.