Pulmonary Hypertension From a Non-cardiologist Perspective
Elizabeth Rozanski, DVM, DACVECC, DACVIM, Cummings School of Veterinary Medicine at Tufts University
PROFILE
Definition
Pulmonary hypertension (PHTN) is an increase in pulmonary arterial pressures (PAP).
Normal systolic PAP is <25 mm Hg. Clinical signs of PHTN are typically seen at >50 mm Hg.
In dogs with severe signs (eg, syncope), pressures close to 100 mm Hg are common.1
Clinical signs may be common with higher pressures.
Systems
The cardiopulmonary system is primarily affected, but with severe PHTN, limited cardiac output affects the entire patient by causing exercise intolerance, respiratory distress, and syncope.
Genetic Implications
There are no known genetic influences.
Certain dog breeds may be likely to develop mitral valve disease (MVD), which may result in PHTN, and West Highland white terriers (Westies) are considered at increased risk for pulmonary fibrosis that may lead to the development of secondary PHTN.2
Incidence & Prevalence
Unknown, but PHTN appears to be recognized more frequently with more widespread availability of echocardiography.
Geographic distribution is worldwide; the presence of heartworm disease will increase the likelihood of PHTN, and high altitude (>2000 m, about 6560 ft) may worsen PTHN.3
Categories of Canine Pulmonary Hypertension4
PHTN is classified into 5 categories in humans. Some veterinarians use the human classification model (below); others prefer to categorize cases as primary (rare) and secondary. Regardless, suspicion or documentation of PHTN should prompt a complete patient evaluation for underlying medical disease resulting in PHTN.
Pulmonary arterial hypertension, including idiopathic, congenital heart disease, some connective tissue disorders, and, in developing countries, schistosomiasis
Left-sided heart failure, the most common cause of PHTN in humans and in dogs
Chronic pulmonary disease (eg, pulmonary fibrosis, chronic bronchitis); also considered common in dogs
Chronic pulmonary thromboembolism
Miscellaneous, which includes various other causes (eg, polycythemia, vasculitis). Heartworm disease, which is common in dogs, may lead to the development of PHTN.
Signalment
Dogs are much more commonly affected than cats.
Westies are more commonly affected by pulmonary fibrosis, which may lead to secondary PHTN, than other breeds.2
Can affect any age but tends to occur in older patients.1
Both sexes are equally affected.1
PHTN appears to be recognized more frequently with more widespread availability of echocardiography.
Risk Factors
Advancing age and/or presence of long-standing MVD or chronic pulmonary disease
Pathophysiology
Depends on the underlying cause but includes increasing pressures associated with chronic pulmonary venous hypertension or chronic pulmonary disease.
In congenital heart disease, there may be primary arterial disease; with thrombotic disease, there is occlusion to blood flow.
Related Article: Exercise Intolerance & Chronic Cough in a Geriatric Dog
History & Clinical Signs
Respiratory distress, syncope, and exercise intolerance are the most common signs.
Some dogs have cough associated with either MVD or chronic pulmonary disease.
There are no specific history and clinical signs that clearly signify PHTN.
Westies with pulmonary fibrosis or dogs with heartworm disease should prompt specific concern for PHTN.
Physical Examination
A split or, less commonly, loud S2 is classically appreciated on cardiac auscultation, as is mild-to-moderate tachycardia.
Other possible abnormalities include signs of right-sided heart failure (eg, jugular venous distension, hepatomegaly, ascites).
Related Article: Pulmonary Thromboembolism
DIAGNOSIS
Definitive Diagnosis
The gold standard in humans for diagnosis of pulmonary arterial hypertension is a right-heart catheterization for direct assessment of pressure; although this is possible in dogs and cats, it is rarely performed.
In veterinary medicine, PHTN is most commonly inferred by echocardiography.
Echocardiography may provide an estimate of PAP based on the speed (m/sec) of the tricuspid or pulmonary regurgitant jet.
Echocardiography is also useful to identify structural changes in the heart, including paradoxical septal motion, enlarged right heart, and a volume-underloaded (small) left heart.
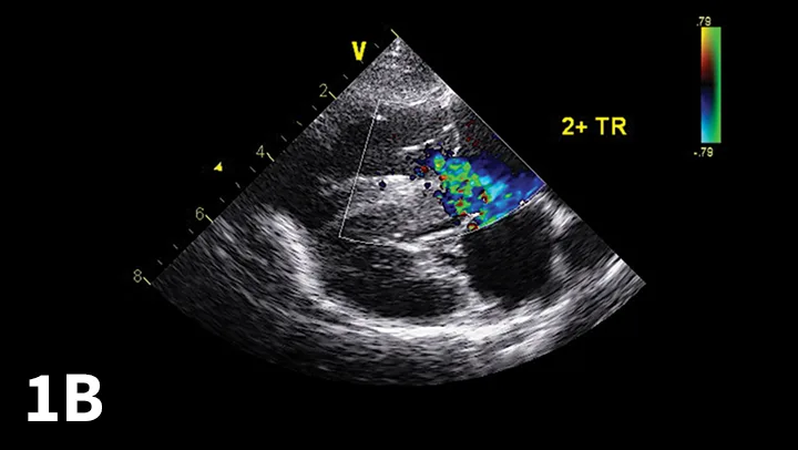
From the clinicians standpoint, echocardiography should be considered the most useful method to document PHTN (Figure 1).
Echocardiographic Doppler study documenting high tricuspid regurgitant velocity consistent with pulmonary hypertension. The modified Bernoulli equation [change in pressure = 4 (regurgitant velocity)2] may be used to estimate the systolic PAP. In the example shown, the tricuspid regurgitant velocity is 4.1 m/sec; thus, estimated PAP is 67 mm Hg.
Differential Diagnosis
Before an echocardiogram, other differentials include mitral valve disease with congestive heart failure and other cardiac disease (eg, pericardial effusion with tamponade, dilated cardiomyopathy), upper airway disease, or pneumonia.
With syncope, differential diagnoses may include seizure or arrhythmia.
After echocardiographic confirmation of PHTN, the focus should shift to identifying the cause of PHTN.
Laboratory testing is typically unremarkable unless there is underlying systemic disease, including heartworm disease.
Laboratory Findings
Laboratory testing is typically unremarkable unless there is underlying systemic disease, including heartworm disease.
Hypercoagulable conditions may lead to pulmonary thromboembolism.
Hypercoagulability may be difficult to detect on routine laboratory testing.
NT pro-BNP, while emerging as a useful marker in cardiac disease, is typically elevated in PHTN and may inadvertently result in treatment for congestive heart failure,5 which may or may not be present.
Higher doses of furosemide may result in worsening syncope in dogs with PHTN without left-sided cardiac disease.
Lateral and VD thoracic radiographs of a dog with PHTN, showing mild right-sided enlargement of the heart and enlarged pulmonary arteries (arrows).
Imaging
Echocardiography is the most definitive diagnostic imaging.
Thoracic radiographs are useful for evaluation but may underestimate the severity of the PHTN.
However, it may be possible to appreciate right-sided enlargement (reverse D) or pulmonary arterial enlargement (Figure 2).
Computed tomography (CT) and, particularly, CT-angiography is useful to evaluate lung parenchyma and to determine if pulmonary thromboembolism is present.
Abdominal ultrasonography is helpful to evaluate the patient for other underlying conditions and to evaluate the hepatic vessels (Figure 3).
Abdominal ultrasound image documenting enlarged hepatic vessels consistent with right-sided heart failure.
Postmortem Findings
Postmortem findings may reflect the underlying cause.
Related Article: Cardiac Biomarkers
TREATMENT
Inpatient vs Outpatient
Decisions should be based on the stability of the patient.
Severely affected animals benefit from inpatient oxygen therapy, as oxygen is a potent pulmonary vasodilator.
Mildly affected patients may be treated at home.
Medical
Oxygen is administered if patient is severely affected and sildenafil (1-3 mg/kg orally 2 to 3 times a day) is the most commonly used medication.
Even in patients without pulmonary thromboembolism as an underlying cause, vascular stasis may lead to an increased risk for thrombotic disease, but the role of anticoagulant therapy in patients with PHTN remains unclear.
Dogs with inflammatory lung disease may benefit from glucocorticoids; those with heart failure benefit from standard therapy with furosemide, pimobendan, and angiotensin-converting enzyme (ACE) inhibitors.
Fluid therapy is contraindicated in most cases of PHTN because of volume overload of the right side of the heart.
Sildenafil may be the most useful specific drug for PHTN.
Other drug therapy may be warranted by the underlying condition.
Fluid therapy is contraindicated in most cases of PHTN because of volume overload of the right side of the heart.
Contraindications
Nitrates (eg, nitroglycerin) are contraindicated in dogs receiving sildenafil.
Furosemide may result in worsening of cardiac output and is not indicated in dogs that do not have concurrent left-sided congestive heart failure.
Precautions/Interactions
Anesthesia is considered high-risk in dogs with severe PHTN.
Procedures should only be performed when the benefit outweighs the risk and ideally with a veterinary anesthesiologist.
Nutritional
Maintenance of a normal body condition is a goal.
Some dogs experience loss of appetite and may require coaxing to eat adequate amounts.
Activity
Activity should be limited based on degree of patients comfort.
Excessive exertion should be avoided.
In moderately-to-severely affected dogs, exercise should be limited.
Smaller patients may be carried up and down stairs.
Client Education
Client education is important, as PHTN is a severe condition that tends to progress over time.
Alternative Therapy
None proven; fish oil supplementation may be considered to decrease inflammation and help decrease platelet adhesion
FOLLOW-UP
Patient Monitoring
Monitoring should include evaluation for worsening respiratory distress or exercise intolerance.
Recheck echocardiography may be useful to monitor changes in PAP, although pulmonary pressures may not correlate with clinical signs.
Changes in right ventricular motion and left ventricular filling are good at assessing response, but tricuspid regurgitation and perfusion index gradients rarely change substantially.
Complications
PHTN is a progressive disease, and cardiopulmonary failure is the most likely ultimate outcome.
Most dogs are euthanized for humane reasons associated with respiratory distress, syncope, or heart failure.
Sudden death is possible.
Concurrent administration of nitrates may be associated with severe hypotension and should be avoided.
At-Home Treatment
Exercise should be restricted.
Treat for primary condition, if identified.
Sildenafil, possibly pimobendan
Anticoagulants are likely warranted in humans, and possibly in dogs.
Home oxygen therapy, if possible.
Future Follow-Up
Recheck regularly; monitor for development of right-sided heart failure or azotemia secondary to low cardiac output.
Ascites may be drained as needed for patient comfort.
Related Article: Canine Heartworm Infection
IN GENERAL
Relative Cost
$$$-$$$$$: Diagnosis of PHTN with echocardiography alone is $$$; if CT or other imaging is pursued, costs will increase to $$$$$.
Sildenafil is expensive for daily use.
Cost Key
$ = up to $100
$$ = $101-$250
$$$ = $251-$500
$$$$ = $501-$1000
$$$$$ = more than $1000
Prognosis
Prognosis is fair; some dogs with less profound signs will do well for months to perhaps a year; badly affected dogs may not survive to hospital discharge.
Dogs with mild-to-moderate PHTN associated with MVD often do quite well, and the development of PHTN is not a particularly ominous sign in these dogs.
As in all diseases, owner expectations and decisions influence survival times.
Prevention and Management
Heartworm preventive therapy is warranted for all dogs in endemic regions.
Other methods of prevention have not been established.
If possible, affected dogs should not live at high altitudes and should not vacation in the mountains.
Air travel should be avoided in affected dogs.
Future Considerations
Improved awareness may open up therapeutic options such as treatment with endothelin receptor antagonists (eg, bosentan) or with tyrosine kinase inhibitors, which have been used with some success in humans (although, to date, no evidence exists in dogs).
These drugs are expensive and may have significant side effects.
ACE = angiotensinconverting enzyme, CT = computed tomography, MVD = mitral valve disease, PHTN = pulmonary hypertension, PAP = pulmonary arterial pressure