Pancytopenia in a Cat

Tatiana Rothacker, DVM, University of Missouri

Sarah Guess, DVM, MS, Columbia River Veterinary Specialists, Vancouver, Washington

Lisa M. Pohlman, DVM, MS, DACVP, Kansas State University

ArticleLast Updated May 20176 min readPeer Reviewed
A gray and white cat with green eyes sitting and staring into the camera.

Case

A 16-month-old neutered male domestic shorthair cat was presented for a 3-day history of poor appetite. The kitten had been found as a stray ≈2 months before presentation; physical examination at that time revealed a BCS of 3/5 and pale pink mucous membranes.

Current CBC showed a hematocrit of 14.89% (reference interval, 24%-45%), WBC concentration of 5.56 × 103/µL (reference interval, 5.5-19.5 × 103/µL), and platelet concentration of 20 × 103/µL (reference interval, 300-800 × 103/µL). Treatment with doxycycline (15 mg/kg PO q12h), prednisolone (2.5 mg PO q24h), and fenbendazole (50 mg/kg PO q24h for 3 days) was initiated. The patient’s appetite did not improve. After he continued to lose weight over the subsequent 2 weeks, he was referred to a specialty hospital. On presentation, he was quiet, alert, and responsive. BCS was 2/9. Pale pink mucous membranes, increased respiratory rate and effort with increased bronchovesicular sounds, and clear ocular discharge were noted on physical examination. Rectal temperature was 102˚F (39˚C).

Diagnostic Results

FeLV antigen and FIV antibody test results were negative. Blood was obtained for serum chemistry profile and repeat CBC (Table).

Table: Diagnostic Test Results

CBC

Diagnostic Test

Result

Reference Interval

Hematocrit

14%

35%-50%

Platelets

68 × 10

3

/µL

140-400 × 10

3

/µL

WBC concentration

3.2 × 10

3

/µL

4.2-14.1 × 10

3

/µL

Segmented neutrophils

1.4 × 10

3

/µL

1.9-8.1 × 10

3

/µL

Band neutrophils

0.4 × 10

3

/µL

0.0-0.1 × 10

3

/µL

Serum Chemistry Profile

Diagnostic Test

Result

Reference Interval

Glucose

153 mg/dL

80-130 mg/dL

Bilirubin

0.6 mg/dL

0.0-0.2 mg/dL

Albumin

2.1 g/dL

3.2-4.5 g/dL

Total calcium

8.5 mg/dL

9.2-12.0 mg/dL

Pancytopenia is suggestive of generalized bone marrow suppression. FIV, FeLV, and/or feline panleukopenia virus infections are top differential diagnoses for pancytopenia in young cats. Additional rule-outs include fungal disease (eg, histoplasmosis). Noninfectious causes of generalized bone marrow suppression in cats can include toxicosis resulting from griseofulvin,1 chemotherapeutic agents,1 chloramphenicol,1 albendazole,1 immunosuppressive drugs1 (eg, azathioprine [not generally recommended in cats due to their increased susceptibility to bone marrow suppression], chlorambucil2), and methimazole,1 although these differential diagnoses are less likely with the patient’s history and physical examination findings. Neoplasia, myelofibrosis, and immune-mediated disease are also possible causes. The patient’s respiratory signs could indicate a primary infection or neoplastic process that has disseminated to the bone marrow or a secondary infection associated with immunosuppression. 

The patient was admitted to intensive care. He received a blood transfusion and was placed in an oxygen cage. His condition continued to deteriorate, and he died before additional diagnostic testing could be pursued. Bone marrow aspirates were obtained postmortem, and necropsy with histopathologic examination was performed.

Diagnosis

Histoplasmosis

Histoplasmosis was diagnosed based on cytologic findings from the bone marrow aspirate and confirmed via histopathology of the lungs, liver, spleen, lymph nodes, kidney, intestines, and bone marrow.

Histoplasmosis, a systemic fungal disease caused by Histoplasma capsulatum, is a dimorphic, soil-borne fungus. The disease is most prevalent in the Midwest and southern regions of the United States and in regions with tropical and subtropical climates throughout the world.3-6 Infections typically result from inhalation or ingestion of spores from infected soil.3-7 Development of clinical infection depends on the concentration of fungal inoculum and host immune competence. Infections may be dormant and later reactivated. Disease may remain localized to the respiratory tract or become disseminated.3,6,7 

Clinical signs of feline disseminated histoplasmosis are often chronic and nonspecific and may include lethargy, emaciation, tachypnea, dyspnea, coughing, pale mucous membranes, pyrexia, and anorexia.3-7 Conjunctivitis, chorioretinitis, uveitis, and retinal detachment may manifest with ocular involvement.5-7 Primary GI histoplasmosis is less common in cats than in dogs, and cutaneous forms have been reported infrequently.4,7 

The most common hematologic abnormality in dogs and cats with histoplasmosis is a normocytic, normochromic, nonregenerative anemia4-7; however, chronically infected cats may demonstrate no hematologic abnormalities.7 Leukopenia and/or thrombocytopenia also may be observed when bone marrow is involved, with pancytopenia occurring less commonly in cats than in dogs.5 Cytopenias, in these cases, are caused by granulomatous inflammation in the marrow that displaces normal hematopoietic cells (ie, myelophthisis). Hypoalbuminemia is the most common serum chemistry abnormality,4,7 and increases in alanine aminotransferase, alkaline phosphatase, and bilirubin may be seen with liver involvement.6,7 Hypocalcemia has been reported in cats with histoplasmosis but is likely caused by hypoalbuminemia and a decrease in the protein-bound fraction of calcium.4 Mild hyperglycemia in this patient was most likely associated with stress.

Discussion

Diagnostic Testing

A bone marrow biopsy, ideally both an aspirate and a core, is indicated in a patient with pancytopenia of unknown cause. Aspirates enable identification of cell lineages and characterization of morphologic abnormalities within lineages. Core biopsies are required to evaluate overall marrow cellularity and architecture.

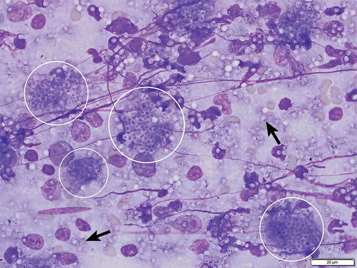
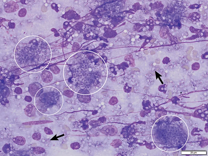
Featured Image
FIGURE 1

Bone marrow aspirate from a cat with pancytopenia. The numerous yeast organisms seen both extracellularly (arrows) and intracellularly within macrophages (circles) measure 2 to 4 µm in diameter and have a thin outer halo with eccentrically placed, basophilic, crescent-shaped nuclei. Organisms are consistent with H capsulatum. Modified Wright’s stain, 1000×. Scale bar = 20 microns

Bone marrow cytology of this cat (Figures 1 and 2) showed no bone marrow particles, rare marrow hematopoietic precursor cells (ie, megakaryocytes, myeloid and erythroid cells), and occasional plasma cells. Macrophages were markedly increased. Numerous round-to-oval yeast bodies measuring 2 to 4 µm in diameter were seen extracellularly and inside macrophages. The organisms had a thin outer halo with an eccentrically placed, basophilic, crescent-shaped nucleus.

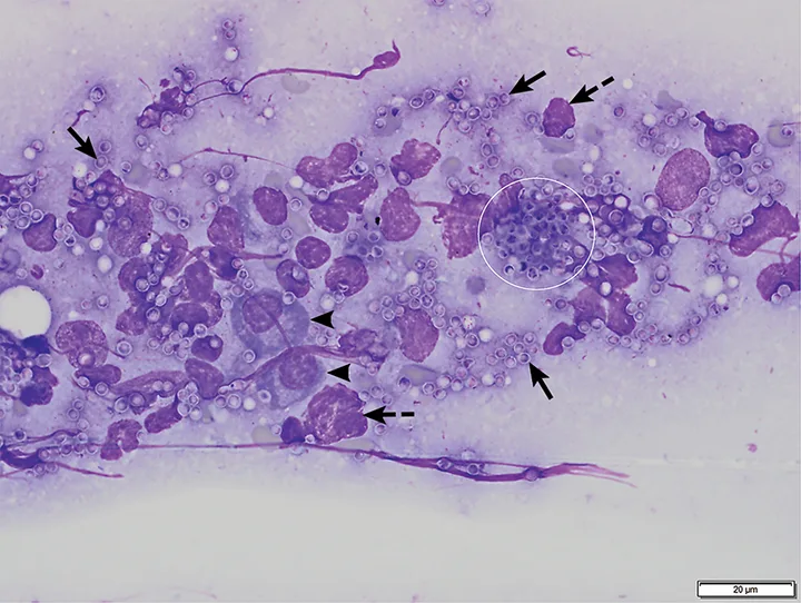
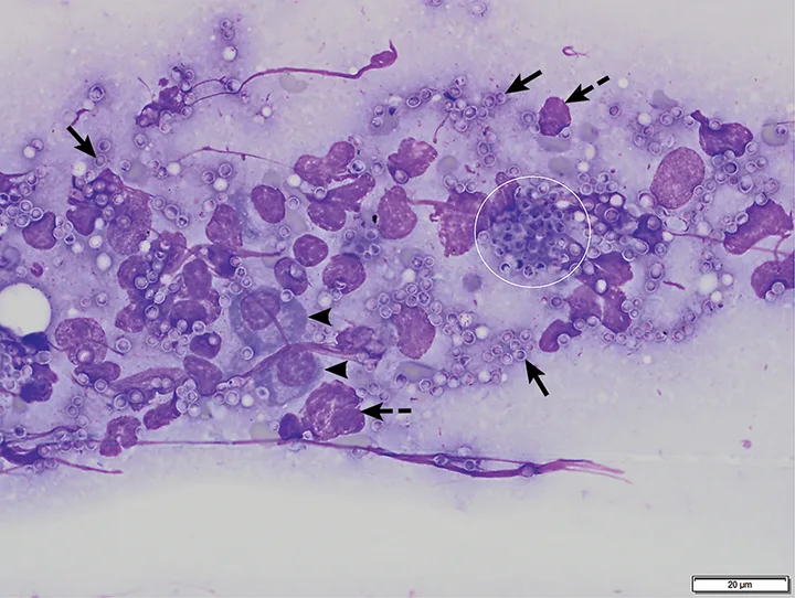
Featured Image
FIGURE 2

Bone marrow aspirate from a cat with pancytopenia. H capsulatum yeast structures are seen extracellularly (arrows) and intracellularly within a macrophage (circle). Plasma cells (arrowheads) and nuclear material from lysed cells (dashed arrows) are also present. Modified Wright’s stain, 1000×. Scale bar = 20 microns

Histopathologic examination of lung, spleen, kidney, intestine, bone marrow, and intestinal and tracheobronchial lymph node specimens showed granulomatous inflammation with numerous yeast bodies in the macrophages.

Sporothrix schenckii vs H capsulatum

S schenckii is a fungal organism of similar size and appearance to H capsulatum. In dogs and cats, histoplasmosis is most commonly diagnosed by identification of the organism in affected tissues or fluid samples.4,5,7 S schenckii yeast bodies can be round, oval, or cigar-shaped.8 H capsulatum yeast bodies can be round or slightly oval but not cigar-shaped. Fungal culture may provide a definitive diagnosis but requires a 2- to 4-week incubation period, and false negatives are possible.7 Culture must be performed in specialized laboratories because of biosafety risks. An antigen enzyme immunoassay (EIA) for H capsulatum is also available and has been shown to have a sensitivity of 94.4% in urine specimens from cats.5 Because this test detects antigen, positive results may indicate active infection, but cross-reactivity with other mycotic organisms (eg, Blastomyces spp) can occur.5,7,9

Identification of S schenckii during microscopic examination of a cytologic preparation is straightforward when the characteristic oval-to-cigar–shaped yeast forms (≈3-9 µm in length and 1-4 µm in width) are seen.8 When only the round-shaped yeast forms are present, S schenckii is difficult to differentiate from H capsulatum,8 and other diagnostic techniques are needed.

Treatment & Prognosis

Histoplasmosis is typically treated with itraconazole for 4 to 6 months total or treated until 2 months after resolution of all clinical signs.6 

Prognosis in patients with pulmonary histoplasmosis without dissemination is good, and signs have been reported to resolve without antifungal therapy, although therapy is strongly recommended.7 Disseminated histoplasmosis has a guarded to poor prognosis that depends on the degree of infiltration and organs involved.6,7 Bone marrow infiltration and the presence of organisms on peripheral blood smears are signs of a poor prognosis.

Conclusion

H capsulatum is a dimorphic fungus that can cause severe disease in cats. Pancytopenia may be seen with marked bone marrow infiltration. Microscopic identification of H capsulatum organisms is often essential for diagnosis,6 especially in areas where both S schenckii and H capsulatum are endemic.9 Bird and bat droppings provide an ideal growth medium for H capsulatum, so access by cats to chicken coops, birds, and bat roosts should be prevented.3,5,7-9 Prognosis is poor to guarded in cats with disseminated disease.6