Long-Bone Fractures in Rabbits
David Eshar, DVM, DABVP (ECM), DECZM (SM & ZHM), Kansas State University

In the Literature
Garcia-Pertierra S, Ryan J, Richardson J, et al. Presentation, treatment and outcome of long‐bone fractures in pet rabbits (Oryctolagus cuniculus). J Small Anim Pract. 2020;61(1):46-50.
The Research …
Long-bone fractures are relatively common in pet rabbits and often occur as a result of mishandling, accidental blunt trauma, and/or predation. As often occurs with caged small mammals, fractures can also occur without an obvious or observed cause.
Despite rabbits being common pets, there is a lack of evidence-based guidance for the treatment and outcome of fractures in this species, as recommendations for fracture management are largely based on individual case reports or clinical experience and ex vivo research studies. A large-scale retrospective report described the cause, characteristics, treatment, and outcome of fractures in small-breed rabbits1; an associated study found that treatment with external skeletal fixation resulted in healing of most fractures.2
This retrospective review reports the characteristics of long-bone fractures in rabbits presented to an institution. In this report, long-bone fractures often occurred in young patients, were usually closed diaphyseal fractures, and lacked a clear etiology. Most (n = 22; 73%) fractures underwent primary orthopedic repair, but only 73% of these treated fractures achieved functional recovery. All cases that underwent plate fixation (n = 5) resulted in functional recovery.
Postoperative complications were reported in 9 (41%) cases treated surgically and included delayed healing, nonunion with poor function, ileus following surgical fixation, implant failure, severe stifle osteoarthritis, pressure ulcers, seroma formation, screw loosening, and external skeletal fixation transfixion pin discharge. Subjective parameters not evaluated in this study (eg, surgeon experience in treating rabbits) should also be taken into consideration.
The main limitations of this report include the small number of rabbits in the study, the wide range of affected bones and treatments, and the number of different surgeons involved, which, as the authors describe, precludes robust conclusions and limits the scope of comparisons among different fracture repair methods.
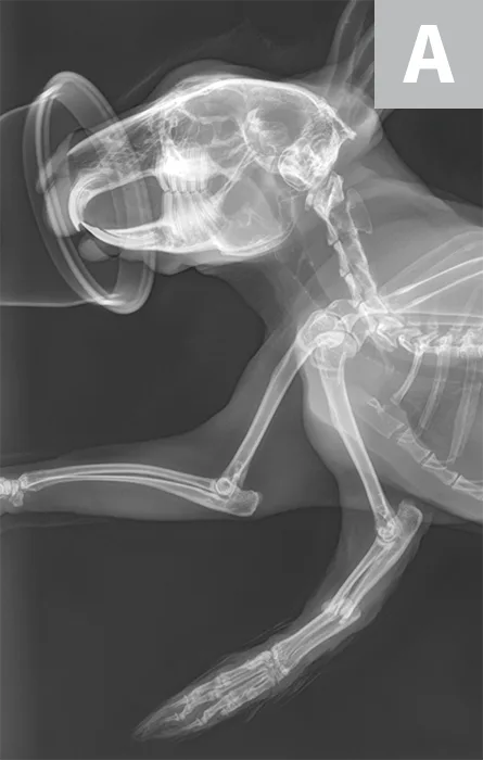
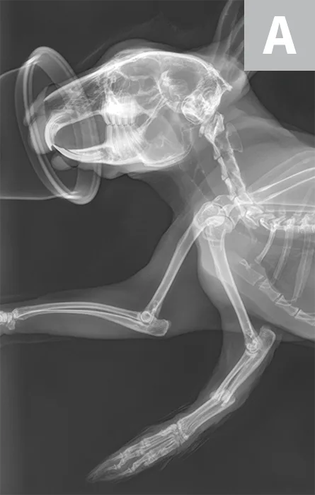
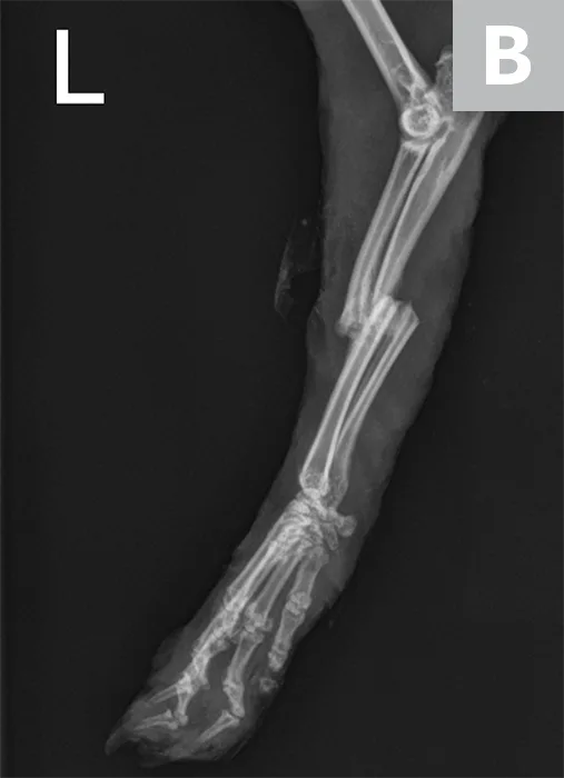
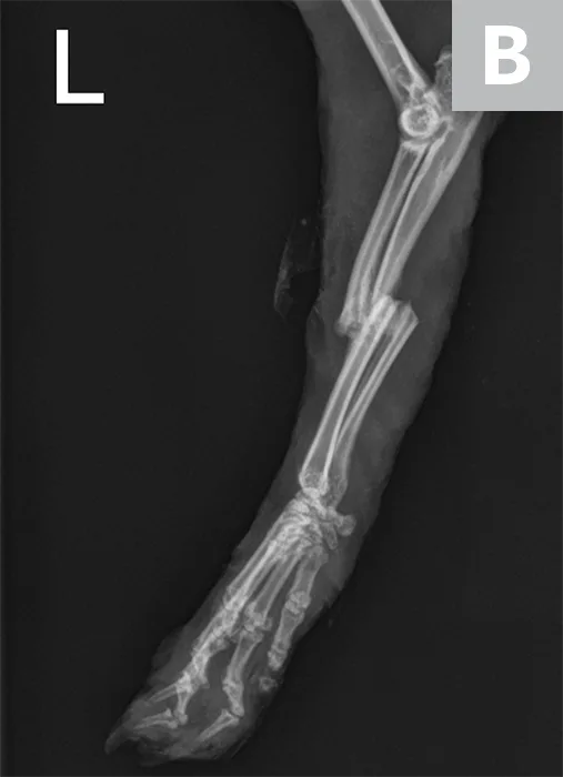
Right lateral radiograph of a 2-year-old male intact rabbit that caught his left front foot in a cage wire; parallel, mid-diaphyseal fractures of the radius and ulna can be seen (A). Due to financial constraints, the pet owners elected for external coaptation, which resulted in frequent splint failure (wet, too tight, pressure sores) that required 3 months of intensive care and resulted in suboptimal bone healing and near loss of the limb due to deep skin infections (B). Ideally, these fractures should have been treated surgically using a bone plate or an extra-skeletal fixation device.
… The Takeaways
Key pearls to put into practice:
Primary fracture management can be more challenging in rabbits than in other species due to rabbits’ more brittle cortical bone; however, prognoses are generally good in patients despite the variable repair techniques used for different patients.
Bone plating should be considered when indicated.
Perioperative management is imperative for a favorable outcome and should always include rigorous pain management, assisted feeding and hydration, and recovery in a stress-free environment.