Intussusception Reduction

Mikaela Thomason, DVM, Carolina Veterinary Specialists, Huntersville, North Carolina

Christian Latimer, DVM, CCRP, DACVS-SA, BluePearl Pet Hospital, Spring, Texas

ArticleLast Updated April 20206 min readPeer Reviewed
Intraoperative exteriorized intestine held by gloved hands with arrows pointing to areas of interest.

Overview

Intussusception refers to invagination of a portion of the GI tract into the lumen of an adjacent segment. It is sometimes overlooked as a potential cause of GI clinical signs in presenting patients. The 2 components of intussusception include the invaginated section (ie, the intussusceptum) and the adjoining segment that holds the intussusceptum (ie, the intussuscipiens).1 Underlying disease processes can alter gut motility, resulting in intussusception.2 Many cases of intussusception are idiopathic and intermittent; thus, diagnosis and treatment of the underlying cause are difficult. Causes of intussusception may include neoplasia, intestinal parasites, viral enteritis, foreign body obstruction, or cecal inversion2,3; previous abdominal surgery is a risk factor.

Intussusception can occur at any age but is most commonly recognized in patients younger than 1 year1 and therefore should be included among the differential diagnoses for any juvenile patient presented with GI signs. Intussusception most commonly occurs at the ileocecocolic junction but can occur along any portion of the GI tract, including the stomach and esophagus.1 Clinical signs at the time of presentation are typically related to the location of intussusception.

Diagnosis

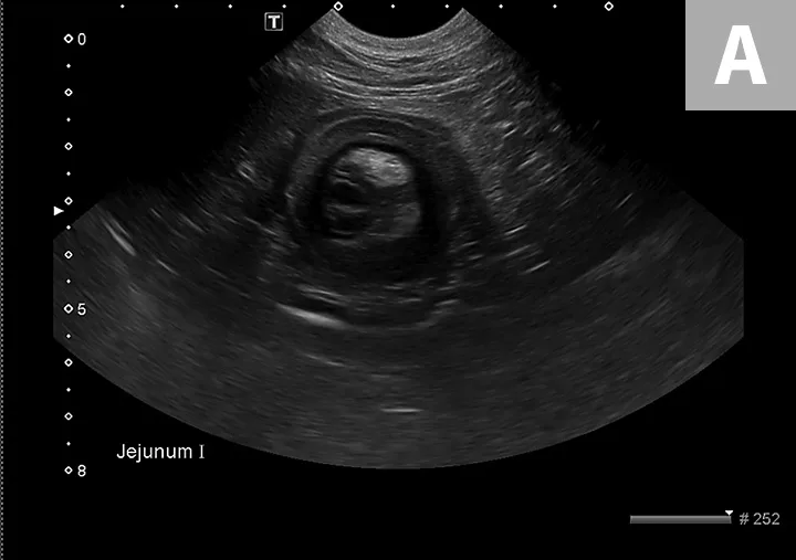
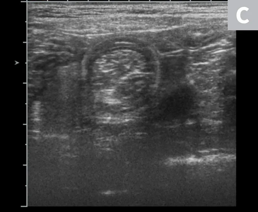
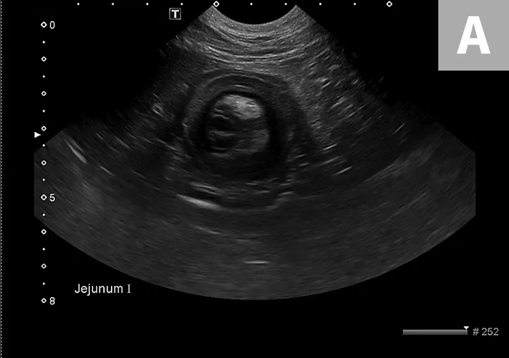
Diagnostic steps include a complete physical examination, abdominal radiography, and abdominal ultrasonography (or a contrast study if ultrasonography equipment is not available). On physical examination, a thickened tubular structure may be palpated in the abdomen, which may be painful for the patient. Abdominal radiographs commonly reveal a fluid- or gas-filled bowel consistent with a mechanical obstruction.2 Abdominal ultrasonography is often the most helpful preoperative diagnostic tool (Figure 1); the finding of multiple hyperechoic and hypoechoic concentric rings in transverse sections, parallel lines in longitudinal sections, or both is diagnostic of intestinal intussusception.4 Abdominal radiography with contrast media (ie, barium) can outline the intussusceptum in the lumen of the intussuscipiens, or the contrast can appear as a ribbon-like structure in the intussusceptum.2

Three abdominal ultrasound images of three dogs demonstrating the appearance of various types of intussusception.
Three abdominal ultrasound images of three dogs demonstrating the appearance of various types of intussusception.
Three abdominal ultrasound images of three dogs demonstrating the appearance of various types of intussusception.
FIGURE 1

Abdominal ultrasound images of a dog with jejuno-jejunal intussusception secondary to an intestinal sarcoma (A), a dog with ileocolic intussusception (B), and a dog with jejuno-jejunal intussusception without an identifiable underlying cause (C)

Treatment

Treatment of intestinal intussusception involves laparotomy with manual reduction if the affected segment appears potentially viable and/or resection and anastomosis of the affected intestinal segment if neoplasia is the underlying cause or if the affected segment is necrotic or cannot be reduced (Figures 2-4).

selected slide image

FIGURE 2

1 / 4
FIGURE 2

A portion of intestine after intussusception reduction. There is serosal tearing (short arrow) and significant erythema (long arrow).

Enteroplication

Intussusception recurrence rates are ≈6% to 27%, and recurrence is usually observed 3 days to 3 weeks postsurgery.1 Recurrence typically affects the segment immediately proximal to the previous intussusception site.2 Enteroplication reduces the risk for intussusception recurrence by creating permanent adhesions between adjacent loops of intestine. Enteroplication is completed by preparing the intestines using manual reduction or resection and anastomosis of compromised bowel. After the intestines have been prepared, adjoining segments should be placed side by side in a zigzag pattern with care not to create kinks or sharp bends. The adjacent loops should be sutured together with either absorbable or nonabsorbable suture and should penetrate the submucosal layer midway between the mesenteric and antimesenteric borders to ensure a secure hold. Complete plication encompasses plication of the jejunum to the ileum; the duodenum should not be included because it is rarely involved with intussusception.3

Enteroplication can be performed immediately after reduction if the affected segment appears viable and without obvious pathology; however, enteroplication should only be performed in select cases (eg, spontaneous reduction intussusception in young dogs, presence of hyperperistalsis during surgery, cases involving multiple or recurrent intussusception)3 because of the risk for complications. The procedure has been associated with abdominal discomfort, vomiting/diarrhea, hyporexia, constipation, increased risk for future obstructions, bowel strangulation, and intra-abdominal abscess formation.3

Stomach Intussusception

Intussusception involving the stomach is rare and requires a different treatment approach. For example, patients with gastroesophageal intussusception should be treated with left (± right) incisional gastropexy and may require sutures to reduce the size of the esophageal hiatus.5 A partial gastrectomy or Y-U pyloroplasty (ie, a procedure in which the pyloric antrum is advanced aborally) should be considered after reduction of gastroduodenal intussusception.6

Prognosis

For most idiopathic cases of intussusception, the long-term prognosis is good with appropriate aftercare and treatment, but prognosis ultimately depends on the specific underlying cause. In cases for which a diagnosis is not grossly apparent, samples of the area of intussusception, as well as samples of other areas of intestine, can be submitted for biopsy.7 Because intestinal parasitism is also a potential predisposing factor for intussusception, fecal samples can also be collected preoperatively for testing and empiric deworming can be performed in case of false negatives.2


Step-by-Step: Intussusception Reduction



Step 1

Clip, clean, and perform sterile preparation of the abdomen.

Dog in dorsal recumbency with ventrum shaved from sternum to vulva and halfway up lateral aspect of trunk.

Step 2

Using a standard ventral midline approach, begin abdominal exploratory surgery. Line the abdominal incision with 2 dampened laparotomy sponges along the linea alba. Place a Balfour retractor to allow appropriate visualization into the abdomen.

Wide abdominal incision exposing intestines in situ in a dog in dorsal recumbency with and without retractor in place.
Wide abdominal incision exposing intestines in situ in a dog in dorsal recumbency with and without retractor in place.

Step 3

Examine the entire GI tract for abnormalities; multiple occurrences of intussusception may be present.

Two images showing gloved hands exteriorizing intestines and gently palpating along its length.
Two images showing gloved hands exteriorizing intestines and gently palpating along its length.

Step 4

Isolate the area of intussusception and pack off the region with dampened laparotomy sponges.

Gloved hands holding small intestine section that is telescoping into an enlarged adjacent section.

Step 5

Attempt manual reduction via gentle manipulation. If the intussusception is easily reduced and the affected segment appears viable, complete the exploratory surgery and close the incision in a standard fashion.

If the intussusception does not easily reduce or is associated with an intestinal mass, or if the affected segment is nonviable, perform resection and anastomosis (see Steps 6-10).

Two images showing gloved hands holding telescoping intestine before and after partial reduction.
Two images showing gloved hands holding telescoping intestine before and after partial reduction.

A portion of intestine after attempted jejuno-jejunal intussusception reduction. The intussusception could not be fully reduced.

Author Insight

If the intussusception is recurrent, hyperperistalsis is present, or no underlying primary cause is found, consider enteroplication to prevent recurrence. Of note, however, enteroplication can lead to significant postoperative complications.


Step 6

Gently milk intestinal contents away from the portion of intestine that will be resected. Use digital compression or Doyen forceps to gently seal the oral and aboral portions to reduce contamination. Occlude the lumen orad and aborad to the site of resection with gloved and sterile fingers.

Sides of gloved fingers gently pressed together with a loop of intestine in between them.

Step 7

Isolate the blood supply of the affected bowel segment and ligate appropriately.

Close-up of blood vessels within omentum that are running toward the mesenteric side of a section of intestine.

Step 8

Sharply excise the affected intestinal tract and discard or place aside for histopathology. Be careful to avoid contamination of the surgical field.


Step 9

Perform either end-to-end anastomosis with absorbable or nonabsorbable sutures or side-to-side anastomosis with surgical and thoracoabdominal staplers.

Intraoperative image of two loops of bowel sutured together at their antimesenteric sides.

Step 10

Achieve adequate intestinal closure, then lavage the peritoneal cavity with sterile saline, suture the omentum to the anastomosis site, and close the incision in a standard fashion.


Reduction can often be difficult and may result in significant damage to the affected intestinal segment. View videos of failed intussusception reduction in a puppy and partially reduced intussusception in a 3-month-old Australian cattle dog with chronic intussusception that was later found to be necrotic.