Intermittent Back Pain in a Young Dog

Heidi L. Barnes Heller, DVM, DACVIM (Neurology), Barnes Veterinary Specialty Services, Madison, Wisconsin

ArticleLast Updated September 20223 min readPeer Reviewed
Lumbar spine palpation of a dog.

Chuck, a 2-year-old, 71-lb (32.3-kg) neutered male crossbreed dog, is presented for a one-year history of intermittent back pain.

History

Chuck was adopted in Canada and brought to the United States at ≈10 months of age. He has no known history of trauma. Another spayed dog also lives in the household. 

The owner reports that spinal pain appears intermittent, worsens in cold weather, and occasionally results in vocalization when Chuck’s dorsal lumbar and pelvic regions are touched. Vaccinations, heartworm/flea/tick prevention, and fecal analysis are current.

Examination

On physical examination, rectal temperature is 104.5°F (40.3°C), heart rate (100 bpm) is normal, and Chuck is panting. The remainder of the physical examination is normal.  

On neurologic examination, Chuck is bright, alert, and responsive. He demonstrates a normal menace response, pupillary light reflex (both eyes), palpebral reflex (both eyes), physiologic nystagmus (with no evidence of pathologic nystagmus), facial symmetry, sensory testing to nares and ears, and tongue tone and motor. Jaw range of motion is unchanged, and no signs of strabismus or head tilt are noted. Cranial nerve examination is normal. 

Chuck is ambulatory with a mildly stilted gait in the pelvic limbs. He is slow to lie down but appears normal when returning to standing. Normal withdrawal reflexes (all limbs), patellar reflexes (pelvic limbs), perineal reflex, and cutaneous trunci reflex (bilateral) are present. Paw replacement testing results are normal in all limbs. Hopping test is not performed due to patient size and apparent pain. 

Pain is noted on direct palpation of the lumbar and lumbosacral spine (Figures 1-3). No evidence of pain is noted on thoracic or cervical spinal palpation, and cervical range of motion is normal.

selected slide image

FIGURE 1

1 / 6
FIGURE 1

Lumbar spine palpation; fingers are lateral to the dorsal processes of the spine in the region of the articular processes.

How would you diagnose and treat this patient?

Treatment & Outcome

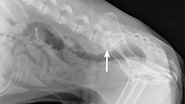
Spinal radiography was performed, and lysis at the L7 and S1 endplates was identified (Figures 4 and 5). 

Bacterial blood culture and urine culture results were negative. Brucella canis 2-mercaptoethanol rapid slide agglutination test result was positive. Agar-gel immunodiffusion and tube agglutination tests were also positive, confirming diagnosis of B canis discospondylitis. 

Doxycycline (25 mg/kg PO every 24 hours1), rifampin (5 mg/kg PO every 12 hours), and carprofen (2.2 mg/kg PO every 12 hours) were administered. Clinical signs improved rapidly in the first 30 days of treatment; however, long-term treatment and monitoring were expected. It is common for dogs to remain positive on serologic testing, and lifelong quarantine is often required to control spread of disease. The other dog in the household also tested positive for B canis, and both dogs were placed in quarantine. The State Veterinarian was contacted for quarantine protocols and additional monitoring recommendations.

B canis infection is a reportable zoonotic disease in the United States. Transmission to humans is rare but possible. Appropriate personal protection equipment (eg, goggles or face shield, gloves, thorough handwashing) is recommended when handling aborted fetuses, urine, or blood from patients with B canis infection. Transmission to other animals can occur via mucous membrane (eg, conjunctiva of the eye, vagina, oral cavity) contact.