Image Gallery: Surgical Repair of Cranial Cruciate Ligament Injuries in Dogs

Mary Sarah Bergh, DVM, MS, DACVS, DACVSMR, Midwest Veterinary Specialists, Milwaukee, Wisconsin

ArticleLast Updated December 20161 min readPeer ReviewedWeb-Exclusive

This image gallery reviews some surgical options for cranial cruciate ligament (CrCL) injuries in dogs, including the lateral fabellotibial suture (LS), tibial plateau-leveling osteotomy (TPLO), cranial tibial closing wedge ostectomy (CCWO), and tibial tuberosity advancement (TTA).

selected slide image

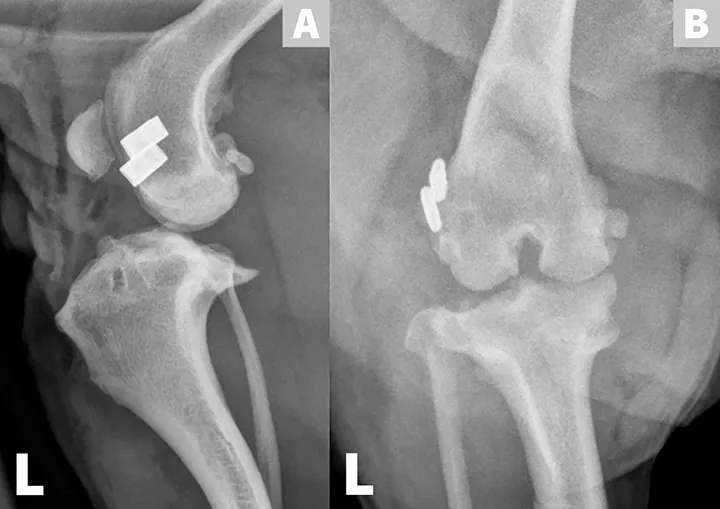
FIGURE 1

1 / 12
FIGURE 1

Cranial cruciate ligament (CrCL) disease, a common cause of hindlimb lameness in dogs,1,2 is a chronic degenerative process that results in stifle instability, articular cartilage wear, and, in some cases, meniscal injury. Surgery is often recommended for rapid stifle joint stabilization, treatment of meniscal injury, and to achieve earlier return to clinical function.2,3  Figures A and B show lateral and craniocaudal radiographic projections of a left stifle with CrCL rupture. They demonstrate periarticular new bone formation (osteophytes) on the tibial plateau, patella, fabellae, and trochlear ridges of the femoral condyles (white arrows). In Figure A, there is an increase in soft tissue opacity within the joint space, causing cranial displacement of the infrapatellar fat pad, which is most consistent with joint effusion (red arrow). In Figure B, there is an increase in soft tissue opacity on the medial aspect of the joint that is consistent with thickening of the medial portion of the joint capsule (ie, “medial buttress”, yellow arrow). Figure C shows an intraoperative view of a left stifle joint with CrCL rupture following a craniomedial arthrotomy and lateral luxation of the patella. Osteophytes are present on the trochlear ridges (blue arrows) and cartilage degeneration is visible in the trochlear groove (black arrow).