Image Gallery: Angular Deformities

Tisha A. Harper, DVM, DACVS, University of Illinois

ArticleLast Updated October 20151 min readPeer ReviewedWeb-Exclusive

Angular limb deformities (ALD) can occur in both small and large companion animals and can result in significant functional impairment. Although any long bone in dogs can be affected, ALD are most commonly seen in the antebrachium, as well as in the femur and tibia secondary to patellar luxation.1 Deformities may develop secondary to abnormalities in bone growth (eg, premature closure of physis following trauma), bone formation (eg, disease process disrupting normal endochondral ossification; hypertrophic osteodystrophy, retained cartilaginous core, nutritional disorders), or bone healing (eg, fracture malunion).

selected slide image
1 / 8

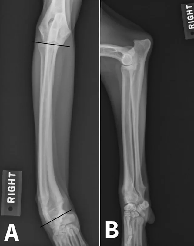
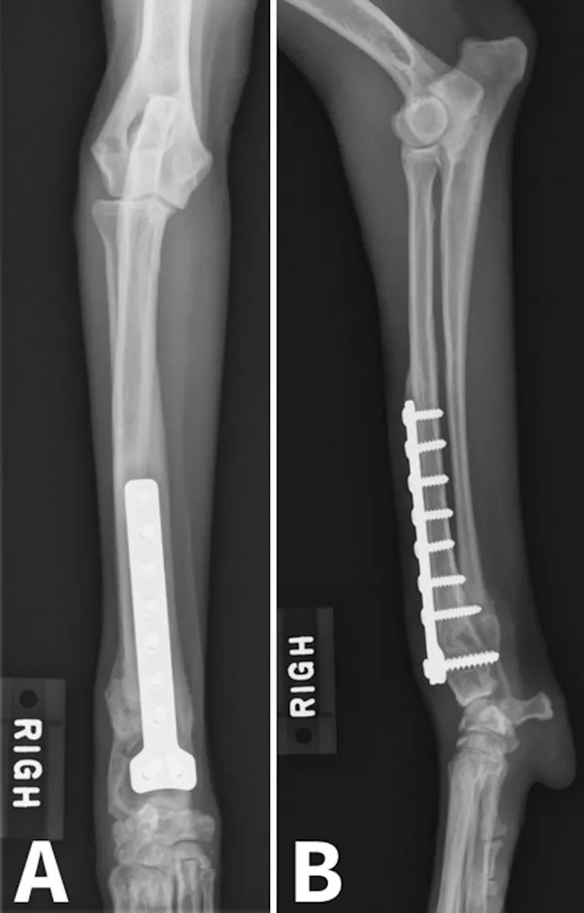
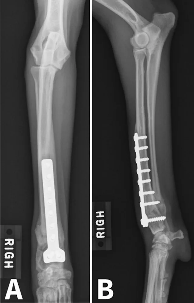
Figure 1. Radial valgus and external torsion.

Physeal trauma is a common cause of ALD, particularly when paired bones are involved. Distal forelimb trauma in immature patients can cause a compression injury (Salter V fracture)2 to the conical-shaped distal ulnar physis, leading to premature closure of the distal ulnar physis. This results in cessation of ulnar growth. Although the radius will continue to grow in affected patients, valgus deviation, cranial bowing of the radius, and torsional deformity can typically develop as a result of the constraining effect of the ulna.3

Image courtesy of Derek B. Fox, DVM, PhD, DACVS, University of Missouri

All images are courtesy of University of Illinois at Urbana-Champaign Veterinary Teaching Hospital, unless otherwise indicated.