Hemophagocytosis in Cats

Anne Barger, DVM, MS, DACVP, University of Illinois

ArticleLast Updated November 20192 min read

In the Literature

Schaefer DMW, Rizzi TE, Royal AB. Hemophagocytosis and Histoplasma-like fungal infection in 32 cats. Vet Clin Pathol. 2019;48(2):240-254.


The Research …

Hemophagocytosis is the macrophage phagocytosis of blood cells, including erythrocytes, leukocytes, platelets, and their precursors. Depending on the cell type phagocytized, hemophagocytosis can be further described as erythrophagia (ie, phagocytosis of RBCs) or leukophagia (ie, phagocytosis of WBCs). Hemophagocytosis can occur as a way to eliminate old and dying cells or, in the case of erythrophagia, may indicate hemorrhage. In some cases, however, the presence of hemophagia in the absence of hemorrhage or aging cells raises concern for a more severe underlying disease process (eg, neoplasia, immune-mediated disease, significant inflammation). There have only been a few reports of inappropriate hemophagocytosis in cats1,2; therefore, identification of erythrophagia, particularly in the absence of obvious hemorrhage, is concerning.

Hemophagocytic syndrome—referred to in humans as hemophagocytic lymphohistiocytosis—is a rare disease that can be familial or acquired.3 This syndrome is the result of overreactive T cells, macrophages, and other histiocytic cells and can result in peripheral cytopenias. In humans, it has been reported to accompany various infectious organisms, including viruses, Toxoplasma gondii, and Cryptococcus spp4; in such cases, patients are frequently immunosuppressed.4

In the present case series report, the authors describe 32 cats infected with Histoplasma spp-like organisms that had accompanying hemophagia noted on cytology. Many of these cats also had concurrent cytopenias, which may or may not have been the result of hemophagocytosis. This is an important sequela to consider if a patient has cytopenia associated with an infectious disease that does not correct when the infection is appropriately treated. Erythrophagia has been reported previously in cats with neoplasia and immune-mediated disease but has not commonly been reported to be associated with an infectious organism. In the single case report of feline hemophagocytic syndrome identified in the literature, the cat was FIV positive.2 These results suggest that fungal infection may be another important differential if hemophagia is noted on cytology or histopathology.

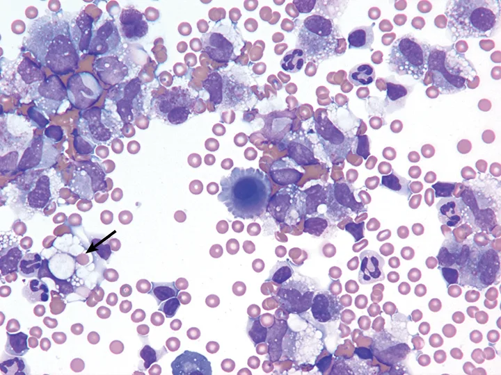
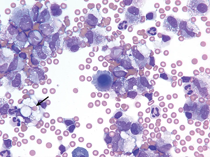
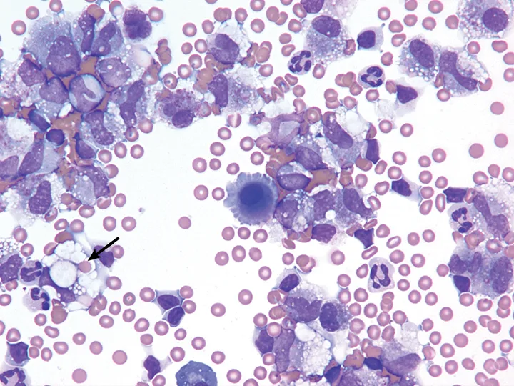
Featured Image
FIGURE

Cytospin preparation of a hemorrhagic effusion from a dog. Erythrophagia (one represented by the arrow) can be noted in several macrophages.


… The Takeaways

Key pearls to put into practice:

  • Hemophagia is a nonspecific pathologic finding associated with inflammation or hemorrhage or may be indicative of underlying immune-mediated, infectious, or neoplastic disease.

  • Systemic fungal disease should be considered as a differential when hemophagia is noted on a feline cytologic sample.