Fast & TFast: Ultrasound Examinations for Rapid Diagnosis in Emergency Patients

ArticleLast Updated April 20116 min readPeer Reviewed
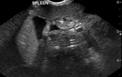
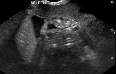
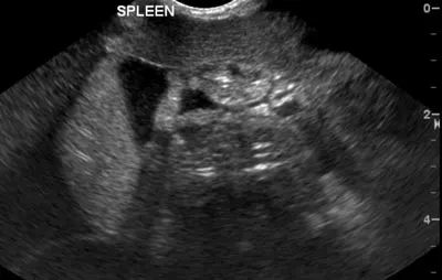
A grayscale ultrasound image displays the spleen of a canine patient, highlighting its texture and structure. The image includes measurement indicators on the right side, providing a reference for size assessment.

FAST and TFAST are rapidly becoming an important part of the emergency assessment of veterinary trauma patients.

FAST & TFAST:Traumatic abdominal injuries can be diagnostically challenging and may not manifest for hours or even days. Potential abdominal injuries caused by blunt-force trauma include:

  • Organ bleeding (eg, hepatic, splenic)

  • Large-vessel rupture

  • Urinary or gallbladder rupture

  • In humans, using physical examination to diagnose intraabdominal traumatic injury has been reported to be unreliable in 45% of cases.1

Focused assessment with sonography for trauma (FAST) and thoracic-focused assessment with sonography for trauma (TFAST) examinations were developed to assist emergency clinicians in the diagnosis of abdominal and thoracic hemorrhage and pneumothorax. They are also rapidly becoming an important part of the emergency assessment of veterinary trauma patients.

In 2004, Boysen and colleagues published the first veterinary study describing the use of the FAST examination in dogs after motor vehicular trauma.2 Subsequently, Lisciandro and coworkers published a FAST scoring system3 and an article evaluating the use of TFAST in traumatized dogs.4

IndicationsFAST and TFAST examinations are indicated for evaluating veterinary patients after acute blunt trauma, such as that caused by motor vehicular accident, falls from heights, or crush injuries. Examinations are performed with or without clinical evidence of pleural, abdominal, or pericardial bleeding or pneumothorax. Specific protocols indicating patient positioning and probe sites to best visualize abdominal, pleural, and pericardial fluid and pleural air in dogs have been described.2,4

In addition to evaluation of trauma patients, FAST examination can be used to diagnose abdominal, pleural, and pericardial effusions caused by ascites, septic effusions, bile peritonitis, chylothorax, and neoplastic effusions. Although the techniques have been described only in dogs and humans, FAST and TFAST examinations can be used to detect cavitary effusions in other veterinary patients as well.

FAST and TFAST examinations do not take the place of a thorough physical examination, initiation of stabilization techniques, or rapid intervention when life-threatening respiratory distress or cardiovascular collapse due to cavitary bleeding is occurring.

Advantages_Diagnosis & Monitoring_The primary advantage of using FAST and TFAST examinations in patients after a traumatic event is the ability to diagnose and monitor abdominal or thoracic effusions or a pneumothorax with relative ease and in a very short time (Figures 1 and 2).

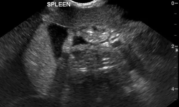
Figure 1: Free abdominal fluid around the spleen visualized with an abdominal FAST examination

An ultrasound image showing the spleen of a veterinary patient, with the organ appearing as a textured structure in shades of gray. The image includes labeled anatomical details, indicating the spleen's position within the abdominal cavity.

Figure 2: Pericardial effusion diagnosed with TFAST examination

Featured Image

Fluid Resuscitation & PrognosisAdditional advantages include guidance of fluid resuscitation and prognosis. In one study, dogs diagnosed with free abdominal fluid after a motor vehicular accident had significantly higher heart rates, lower blood packed cell volume, lower total protein levels, and higher serum lactate concentrations than dogs with negative FAST findings.2 Because dogs with abdominal effusion had more severe shock (as a result of increased blood loss or organ damage), they required more fluid resuscitation.

This ultrasound information helps guide resuscitation by aiding in decisions about fluid therapy and providing owners with estimates about prognosis, time in the hospital, and extent of underlying injuries.

In another study evaluating use of a FAST scoring system, dogs with higher scores had decreased survival rates, higher blood lactate concentrations, and lower blood packed cell volumes.3 This result again illustrates the advantages of assessing patients with a FAST examination to guideemergent therapy and determine prognosis.

_Additional Advantages_Ultrasonography to detect abdominal, thoracic, or pericardial effusion is noninvasive. It also permits accurate collection of abnormal effusions.

It holds additional advantages over radiology in that it is easy to use, causes less stress to the patient, is less expensive, and provides increased sensitivity of results.

In Boysen and colleagues’ study, clinicians were trained on ultrasonography basics in a 2-hour didactic session, followed by a FAST examination in 5 healthy dogs.2 The median time to complete the FAST examination on each dog was 6 minutes (range, 2–15 minutes).2 This finding illustrates the efficiency of this test, with only minimal training needed.

DisadvantagesDisadvantages of FAST and TFAST examinations include necessity for training in basic ultrasonography and need for major equipment purchase if there is no ready access to an ultrasound machine. However, ultrasound machines have become more portable and affordable in recent years and, with proper training, can also be used for more advanced diagnostic procedures.

Although minimal instruction was needed to train clinicians in one study of the FAST examination, use of TFAST to diagnose pneumothorax was more problematic.2,4 For diagnosing pneumothorax, the clinician with the most experience was able to obtain a correct diagnosis more often than clinicians with less experience.4

_Reliability of Results_In humans, the sensitivity of the FAST examination has been reported at 62% to 78%, with a higher reported specificity of 96% to 97%.5,6

In dogs, the results of 100 FAST examinations were retrospectively reviewed by a board-certified veterinary radiologist.2 Agreement was found in all but 2 cases, in which the FAST result was labeled as negative but peritoneal effusion was found.2

The TFAST examination had 78.1% sensitivity, 93.4% specificity, and 90% accuracy for diagnosis of pneumothorax in dogs presenting with trauma; sensitivity and specificity were higher with penetrating injuries and with the most experienced evaluator.4

Economic ImpactThe economic impact of FAST and TFAST examinations is minimal—a nominal fee can be assessed to perform these tests. Because the tests are quick, time to perform them is not a measurable factor. As a result, the cost to perform the tests primarily includes initial training, the cost of the machine, and maintenance.

ConclusionUltrasonography is an efficient, cost-effective, and reliable tool for assessing small animal patients with blunt force trauma and those suspected of having abnormal effusions.

It is a highly specific test, and with minimal training, clinicians can become very proficient in correctly diagnosing abdominal, pleural, and pericardial effusions. The TFAST examination can also be used to diagnose pneumothorax and, with user experience, is an effective test. Veterinarians should be careful, however, to use this test only to definitively diagnose body cavity effusions and pleural air and not perform it in place of a thorough examination.

Procedure for Performing an Abdominal FAST Examination

Left lateral recumbency (or right if injury to the left side):

  • Two views:

 ♦Transverse ♦Longitudinal

  • Four sites:

 ♦Just caudal to the xiphoid process ♦Midline, over the urinary bladder ♦Dependent areas at the right and left flank regions

Data obtained from Boysen, et al2


FAST & TFAST: ULTRASOUND EXAMINATIONS FOR RAPID DIAGNOSIS IN EMERGENCY PATIENTS • Lisa L. Powell

References

  1. Abdominal paracentesis and peritoneal lavage in blunt abdominal trauma. Olsen WR, Hildreth DH. J Trauma 11:824-829, 1971.

  2. Evaluation of a focused assessment with sonography for trauma protocol to detect free abdominal fluid in dogs involved in motor vehicular accidents. Boysen SR, Rozanski EA, Tidwell AS, et al. JAVMA 225:1198-1204, 2004.

  3. Evaluation of an abdominal fluid scoring system determined using abdominal focused assessment with sonography for trauma in 101 dogs with motor vehicular trauma. Lisciandro GR, Lagutchik MS, Mann KA, et al. J Vet Emerg Crit Care 19:426-437, 2009.

  4. Evaluation of a thoracic focused assessment with sonography for trauma (TFAST) protocol to detect pneumothorax and concurrent thoracic injury in 145 traumatized dogs. Lisciandro GR, Lagutchik MS, Mann KA, et al. J Vet Emerg Crit Care 18:258-269, 2008.

  5. The accuracy of focused assessment with sonography for trauma (FAST) in blunt trauma patients: Experience of an Australian major trauma service. Hsu JM, Joseph AP, Tarlington LJ, et al. Injury 38:71-25, 2007.6. Ultrasound performed by radiologist—confirming the truth about FAST in trauma. Gaarder C, Kroepelien CF, Loekke R, et al. J Trauma 67:323-329, 2009.