Electrocution Emergency in a Puppy
Jennifer Good, DVM, DACVECC, University of Georgia
Clinical History & Signalment
Charlie, a 6-month-old, intact male crossbreed dog, was presented to an emergency clinic for suspected electrocution after chewing on an electric cord. On the day of presentation, Charlie’s owners found him collapsed on the floor next to a connected (ie, plugged in) power strip and a shredded cord. He was conscious but appeared dull and painful around the face. His owners immediately brought him to the veterinary emergency clinic. Prior to this incident Charlie had been a healthy puppy.
Physical Examination
On physical examination, Charlie was quiet but alert and responsive. Temperature was normal, but pulses were rapid and weak; heart rate was 180 bpm, indicating tachycardia. Mucous membranes were pale pink with a capillary refill time of 3 seconds. Charlie was panting and had slightly increased respiratory effort. Ulcerated burns were appreciated at the commissures of the lips and across the dorsum of the tongue. Cardiothoracic auscultation did not reveal any murmurs or arrhythmias, but increased bronchovesicular sounds and soft crackles were appreciated bilaterally in the caudal pulmonary fields.
Diagnostics
Blood pressure was decreased (85 mm Hg) on Doppler ultrasound. Oxygen saturation was initially 92% but increased to 98% with flow-by oxygen supplementation via mask (4 L/minute). Initial blood work showed mild hyperlactatemia (3.1 mmol/L; reference range, 0-2.5 mmol/L), packed cell volume of 54%, and total solids at 6.8 g/dL. Chest radiography was performed with oxygen supplementation and revealed a moderate to severe caudodorsal interstitial to alveolar lung pattern (Figures 1 and 2).
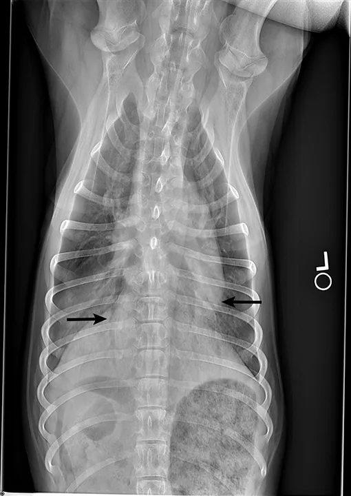
Radiograph showing air bronchograms consistent with noncardiogenic pulmonary edema (arrows). Atelectasis, which would be evident with shifting of the heart to the left or right, is not present.
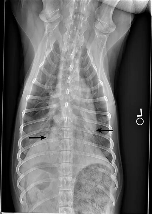
Radiographs showing caudodorsal alveolar pattern consistent with noncardiogenic pulmonary edema (arrows). Edema is caudodorsal and bilateral. The heart size is normal, and there is no elevation of the airways that would indicate left-sided heart enlargement. Sternal contact of the heart, which might suggest right-sided heart enlargement, is minimal.
DIAGNOSIS: NONCARDIOGENIC PULMONARY EDEMA
Diagnosis
The caudodorsal, bilateral, interstitial to alveolar pattern seen on radiographs is most consistent with noncardiogenic pulmonary edema (NCPE). Other differential diagnoses typically include cardiogenic edema or pneumonia. However, because Charlie was 6 months of age with a normal heart size and no murmurs or arrhythmias auscultated, cardiogenic edema was less likely. Expected pulmonary changes to the lungs are more diffuse with fungal or viral pneumonia or more discrete with bacterial pneumonia. NCPE was most likely in this patient because of the caudodorsal, bilaterally symmetric pattern and history of presumptive electrocution.
Treatment & Management
Charlie was placed in an oxygen cage with 40% fraction of inspired oxygen, and a fluid bolus (lactated Ringer’s solution, 10 mL/kg IV) was administered over 20 minutes. Repeated blood pressure reading postbolus was 110 mm Hg. A single dose of a diuretic (furosemide, 1 mg/kg IV), a bronchodilator (terbutaline, 0.01 mg/kg SC every 8 hours),1 and an analgesic medication (methadone, 0.1 mg/kg IV every 6 hours) were administered. Oral burns were gently cleaned with a diluted oral cleansing solution, and sterile lubrication was applied to the lip commissures. Once respiratory rate and effort improved, an isotonic crystalloid (lactated Ringer’s solution, 60 mL/kg/day IV) was administered.
Treatment at a Glance
Patients presented with a history of electrocution should undergo a thorough oral examination to evaluate potential burns, ulcerations, fistulas, or dental fractures.
Careful auscultation for any increased respiratory noise, increased effort, or distress is required.
Thoracic-focused assessment with sonography for trauma (ie, TFAST) examination is recommended to look for the presence of b-lines, cardiac abnormalities, or pleural fluid.
Fluid resuscitation with careful monitoring for increased respiratory rate and effort that may indicate edema formation is recommended in patients in hypovolemic shock.
Oxygen supplementation should be provided until respiratory rate and effort return to normal.
Bronchodilators may be helpful in patients with respiratory distress secondary to neurogenic pulmonary edema and other forms of NCPE, although the evidence is equivocal.1
Pain medications for burns, wounds, and postfasciculation muscle pain are important in patients after electrocution.
Most cases of neurogenic pulmonary edema resolve in 1 to 3 days.
Prognosis & Outcome
Thirty-six hours following initial presentation, Charlie’s respiratory rate and effort were normal without oxygen supplementation. Recheck radiographs showed complete resolution of the former alveolar pattern. He was able to lick wet food despite his oral burns, and methadone and terbutaline were discontinued. Charlie was discharged 48 hours following presentation.
Because Charlie received care in the first few hours after the incident, the prognosis was good, as is generally the case in young patients with neurogenic pulmonary edema secondary to electrocution.
Discussion
Young patients are more prone to electrocution, as they are more likely to chew on electric cords.2 Surface burns are often noted where the electric current entered the body. Injuries are secondary to both the direct effect of the current and to transformation of the current to heat in the body. Other findings in cases of electrocution include cardiac arrhythmia, muscle spasms, spinal cord injury, and collapse.3-5
NCPE Secondary to Electrocution
NCPE secondary to electrocution is a neurogenic pulmonary edema, which is defined as acute respiratory distress triggered by a severe event that causes acute injury to the CNS. Neurogenic pulmonary edema is considered a form of acute respiratory distress syndrome (ARDS) and has its own pathophysiology as compared with other forms of acute respiratory distress syndrome.6,7 Other possible causes of neurogenic pulmonary edema include spinal cord injury, subarachnoid hemorrhage, traumatic brain injury, prolonged seizures (eg, clusters, status), and meningitis.6,8,9
NCPE can be present in several forms, including ARDS/acute lung injury (ALI), postobstructive pulmonary edema (POPE), re-expansion pulmonary edema (REPE), and neurogenic pulmonary edema. ALI and ARDS are considered the most serious manifestations of NCPE. ARDS is defined as acute-onset (<72 hours) dyspnea with pulmonary edema in the presence of a normal left heart (ie, noncardiogenic in origin), bilateral distribution on radiographs or CT, high-protein fluid in the airways, or known risk factors.1 ARDS/ALI is considered an increased permeability edema caused by injury to the pulmonary microvascular endothelial barrier and/or to the alveolar epithelium.1,10 Inflammation in the pulmonary capillaries can allow high-protein fluid to leak into air spaces.
Postobstructive Pulmonary Edema
POPE (also referred to as negative pressure pulmonary edema) typically occurs after acute upper airway obstruction (type I) or after relief of a chronic partial airway obstruction (type II).11 Type I is triggered by forceful inspiration against an obstruction or closed glottis. Increased negative pressure can result in an increase in venous return to the right side of the heart. Increased afterload secondary to negative pressure can decrease cardiac output from the left side of the heart. This combination often results in increased hydrostatic pressure, leading to pulmonary edema.11 Possible causes of type I POPE include but are not limited to choking/foreign body ingestion, strangulation, near drowning, and laryngeal paralysis.11,12 Type II is largely due to expiration against a closed airway over time (eg, brachycephalic airway syndrome, chronic stenosis). Eventually, forced expiration can cause increased pleural and alveolar pressures, resulting in reduced venous return to the right and left sides of the heart. When the obstruction is relieved with surgery, an acute drop in airway pressures typically occurs, leading to a large increase in venous return. The result is increased hydrostatic pressure leading to pulmonary edema.11,12
Re-Expansion Pulmonary Edema
REPE is rare in small animals and usually occurs after chronically collapsed lungs have been reinflated. The mechanism involves decreased surfactant in collapsed lobes, reperfusion injury, and free radical formation. The most common risk for REPE is recent repair of a chronic diaphragmatic hernia in which the lungs have been compressed over a long period of time.10
Pathophysiology
The pathophysiology of neurogenic pulmonary edema involves several mechanisms that link neurologic, cardiac, and pulmonary conditions. Any event that causes an abrupt and extreme elevation in intracranial pressure carries the greatest risk for neurogenic pulmonary edema.8 A sudden increase in intracranial pressure can result in compression, ischemia, or damage to the neuronal tissues. This increased pressure can lead to a massive sympathetic surge with release of catecholamines and subsequent vasoconstriction and hypertension,3,6,8,9 resulting in sudden and marked increase in left ventricular afterload and decreased stroke volume that results in buildup of fluid in the pulmonary vasculature. This increased fluid can cause elevated pulmonary capillary hydrostatic pressure that leads to edema.3 In addition, α-mediated pulmonary venous constriction is possible even in the absence of systemic hypertension and can result in a direct increase of pulmonary capillary pressure.13 Radiographs typically show a bilateral alveolar pattern primarily in the caudodorsal quadrant.3,9
Electrocution & Electric Burns
Treatment for electrocution should focus on controlling any sequelae to the event. Shock should be addressed first with conservative fluid boluses; judicious use of fluids is recommended because of concerns for the presence or development of NCPE; pulmonary capillaries may be leaking.3,4 Burns should be treated with standard wound management (areas should be cleaned and covered when possible).
Electric burns on the surface of mucous membranes can vary from superficial to full-thickness.3 Oral cavity burns can manifest as ulcerations but may also include dental fractures or oronasal fistulas.14 The path the electric current takes through the body is determined by the path of least resistance. Dry skin has more resistance, whereas wet skin/hair coat and mucous membranes have very low resistance and thus are typically the preferred path. An electric current can disrupt normal electrophysiologic impulses, leading to cardiac arrhythmias that should be treated as they appear with antiarrhythmics according to their chamber of origin (eg, atria vs ventricles). In addition to NCPE, respiratory distress can occur secondary to swelling of the oropharynx and/or laryngeal tissues or severe spasm of the muscles of respiration.3,15 Serum chemistry changes in these patients depend on the amount of tissue damaged by the electric burns; blood work results are usually unremarkable, but ischemia of large portions of tissue can result in hyperkalemia, myoglobinemia, myoglobinuria, severe lactic acidosis, and hypoalbuminemia.3
Resolution & Supportive Care
A hallmark of NCPE is quick resolution (usually within 48-72 hours, sometimes more quickly).3,8,15 Edema has been reported to resolve in some humans before the patient presents to the emergency room.15 Treatment should center around providing supportive care for the lungs (eg, oxygen, bronchodilators, initial diuretic therapy) and addressing any underlying issues.
Prognosis
Prognosis depends on several variables. The underlying cause of NCPE is paramount. Young, otherwise healthy patients with neurogenic pulmonary edema secondary to electrocution and no underlying disease generally have a good prognosis, whereas patients with severe ARDS secondary to pneumonia or sepsis of another origin have a far worse prognosis. These patients have ongoing, increased permeability of the pulmonary vasculature secondary to inflammation and are therefore at risk for continued leakage into the alveoli.1,3 In dogs with neurogenic pulmonary edema secondary to electrocution, prognosis also depends on voltage and type of current (ie, alternating vs direct). High voltage exposure is more serious than low voltage exposure. An alternating current can result in more muscular contractions, which prevent the victim from releasing the power source—this is especially true in humans who may grab a power source with their hands and are unable to let go.3,8,15 The degree of damage can depend on resistance of the tissues from the entry to exit points. It is important to remember that current (ie, amperage) depends on the voltage divided by the resistance of the tissue. Dry skin has a higher resistance, and mucous membranes have a low resistance; thus, voltage going through dry skin may have a lower current versus going through a mucous membrane. Therefore, even a lower voltage cord can cause more damage to wet skin or mucous membranes than to dry tissues.3 Patients with full-thickness burns, necrosis of affected tissues, severe arrhythmias, or profound neurogenic pulmonary edema are less likely to survive than those with superficial burns and mild to nonexistent pulmonary signs.3,13
Take-Home Messages
NCPE can be due to high permeability edema (ie, ARDS/ALI), postobstructive conditions, or re-expansion of chronically compressed lung lobes or can be secondary to acute, severe CNS injury.
Neurogenic pulmonary edema is secondary to any abrupt and severe CNS event (eg, seizures, strangulation, electrocution).
Neurogenic pulmonary edema is primarily due to a large sympathetic surge that can result in a massive release of catecholamines, leading to hypertension and subsequent elevated pulmonary capillary pressures.
Treatment for NPE consists of oxygen supplementation, cautious fluid administration, bronchodilators, and judicious use of diuretics. In general, use of diuretics is of limited value because edema present in all forms of NCPE, including neurogenic pulmonary edema, tends to have a higher protein content. No more than 1 to 2 doses should be given due to the risk for dehydration and limited value of continued administration. Mechanical ventilation may be required in severe cases.
Electric shocks that penetrate tissue with low resistance (ie, wet skin or mucous membranes) can result in more serious tissue injury.
Prognosis for neurogenic pulmonary edema depends on the underlying cause (eg, brain tumor with intracranial bleed vs mild electrocution).