Cytologic Diagnosis of Sepsis in Effusions
Anne Barger, DVM, MS, DACVP, University of Illinois
In the Literature
Allen BA, Evans SJM. Diagnostic accuracy of cytology for the detection of bacterial infection in fluid samples from veterinary patients. Vet Clin Pathol. 2022;51(2):252-257. doi:10.1111/vcp.13092
The Research ...
Bacterial sepsis in dogs and cats can result in significant mortality depending on the anatomic location of the inciting infection.1 Delaying diagnosis or treatment can be detrimental; in-clinic diagnostic tools are thus preferred for rapid diagnosis. Bacterial culture is the gold standard for diagnosis, but culture results can take several days, and some fluids (eg, joint fluid) can have poor diagnostic yield.
Although point-of-care assays are less specific and accurate than cytology with culture, effusion glucose and lactate may be useful biomarkers.1-3 In a study, a blood-to-peritoneal fluid glucose difference of >20 mg/dL in dogs was 100% sensitive and specific for diagnosis of septic peritoneal effusion.1 This metric should not be used in place of culture, but it may be valuable in addition to cytology.
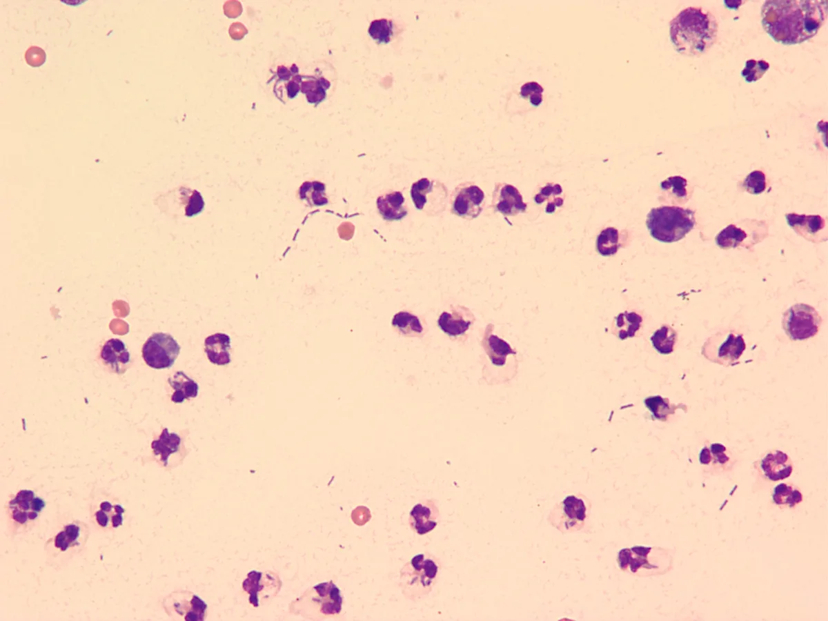
In this study, fluids (eg, blood, CSF, synovial fluid, pleural fluid [Figure], peritoneal fluid) from 244 mammals (eg, horses, dogs, cats) were retrospectively evaluated to determine the sensitivity and specificity of cytology for diagnosis of bacterial sepsis. Bacterial culture was used as the reference method.
Overall sensitivity (42.6%) and specificity (93%) of cytology for identification of sepsis suggested that cytology may not be a useful screening test for detection in fluid samples. The authors concluded that cytology may help confirm, rather than rule out, bacterial infection in effusions.

Direct smear from a pleural fluid sample showing degenerate neutrophils, as well as many extracellular and few intracellular bacterial organisms
... The Takeaways
Key pearls to put into practice:
Cytology can be a rapid, in-clinic method to evaluate effusions for bacteria, but bacterial sepsis cannot be ruled out if bacteria are not identified.
Culture of effusions is still considered the gold standard for diagnosing bacterial infection.
You are reading 2-Minute Takeaways, a research summary resource presented by Clinician’s Brief. Clinician’s Brief does not conduct primary research.