Cruciate Surgery Complications: Pelvic Limb Lameness

Jason Bleedorn, DVM, MS, DACVS, Colorado State University

ArticleLast Updated August 20172 min readPeer Reviewed

The Case

A 4-year-old neutered male Labrador retriever is presented for lameness in the left pelvic limb. Another veterinarian previously diagnosed cranial cruciate ligament (CrCL) rupture and performed a tibial tuberosity advancement (TTA) 6 weeks before presentation. The otherwise healthy patient did well for 4 weeks postoperatively, then became acutely more lame in the operated limb.

The general physical examination is considered normal, aside from signs of the recent surgery (ie, shaved left pelvic limb, a healing surgical scar over the medial aspect of the proximal tibia). Orthopedic examination reveals a grade 4 of 5 (ie, toe-touching) left pelvic limb lameness at a walk and trot. The patient abducts and externally rotates the left stifle during gait and shifts weight off of this limb while standing. There is moderate muscle atrophy of the left pelvic limb and joint effusion of the left stifle. An implant is palpable along the proximal medial tibia with a prominent tibial tuberosity.

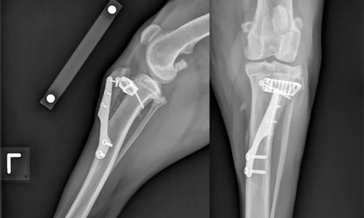
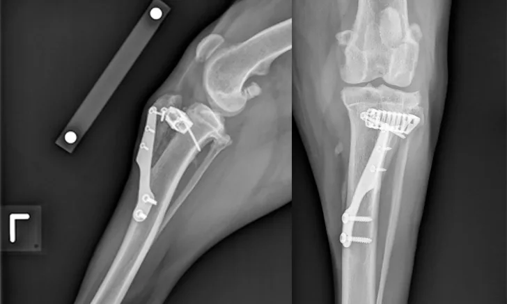
Mild discomfort and crepitus can be noted on passive range of motion of the left stifle. There is positive cranial drawer but negative cranial tibial thrust of the left stifle. There is mild effusion of the right stifle joint; otherwise, no pain, instability, or limitations on passive range of motion are appreciated. The dog is sedated, and radiographs of the left stifle joint are obtained (Figure 1).

Two x-ray views of stifle joint with orthopedic hardware in place.
FIGURE 1

Orthogonal radiographs of the left stifle joint 6 weeks after tibial tuberosity advancement.

CrCL = cranial cruciate ligament, TPLO = tibial-plateauleveling osteotomy, TTA = tibial tuberosity advancement