The Critical Neonate: Under 4 Weeks of Age

ArticleLast Updated November 20099 min readPeer Reviewed
Featured Image

Puppies and kittens under 4 weeks of age are particularly susceptible to several pathologic syndromes that can be rapidly fatal. Prompt and appropriate medical care provides the greatest potential to reduce neonatal mortality.

Profile

Common illnesses of neonates include hypothermia, dehydration, hypoglycemia, hypoxemia, diarrhea, and septicemia. Multiple puppies or kittens from a single litter commonly present simultaneously or in rapid succession with similar signs.

HypothermiaSince neonates depend on the environment for temperature regulation until 2 weeks of age, they commonly present with hypothermia. Normal body temperature is 95° F to 98° F for the first week, rising to 97° F to 100° F for the remainder of the first month.

Neonates that are hypothermic become bradycardic as a physiologic response to the decreased metabolic demands. A normal heart rate for the neonate is 200 to 220 beats/min during the first 2 weeks before vagal tone is achieved, after which the heart rate decreases to a normal range of 100 to 140 beats/min.

HypoglycemiaLethargy, weakness, poor suckle reflex, and crying are common presenting signs for neonatal puppies and kittens with hypoglycemia. Hypoglycemia is caused by ineffective hepatic gluconeogenesis, decreased glycogen storage, and an immature glucose feedback mechanism. Neonates with prolonged hypoglycemic episodes may suffer permanent brain injury because the neonatal brain depends on glucose and carbohydrates for its main energy sources.

Dehydration & DiarrheaDehydration, another common presenting sign in sick neonates, may result from lack of suckling or from diarrhea, septicemia, or other illness. Assessment of dehydration is more difficult in neonates because they have little subcutaneous fat. As a result, skin tent examinations are almost always positive in neonates under 2 weeks of age. A more accurate method of assessing hydration is to observe urine color. Normal neonates have very dilute urine, whereas dehydrated neonates will have dark urine. Additionally, tacky mucous membranes indicate dehydration (for most reliable findings, oral mucous membranes should not be assessed within 20 minutes of nursing).

Dehydration results in hypovolemia, and neonates have poor compensatory mechanisms for responding to this condition. The ability to increase cardiac output is impaired because the heart muscle contains less contractile tissue than the adult heart. In addition, neonates have immature renal function, so the ability to conserve fluids and electrolytes and concentrate urine is not very effective, even in the face of severe dehydration.

Featured Image

Diarrhea is also common in sick neonates (Figure 1), which may present with bloating, crying, anorexia, and signs of depression (Figure 2). In some cases, diarrhea may be difficult to document because some dams keep the neonates remarkably clean.

Featured Image

Respiratory DiseaseRespiratory disease can manifest with open-mouth breathing or increased expiratory effort. Normal respiratory rate is 15 to 36 breaths/min for the first 2 weeks and 16 to 32 breaths/min for the subsequent 2 weeks. Common pulmonary pathology includes bacterial pneumonia, following inadvertent aspiration of milk, and viral pneumonia.

Diagnostics

Imaging Studies

RadiographyRadiographs may be used to evaluate the lungs for evidence of chest trauma or pneumonia (aspiration, viral, or bacterial). The thymus is visible in the cranioventral thorax and appears as a soft tissue density (sail sign). Compared with adults, the neonatal heart takes more space in the thoracic cavity, and the pulmonary interstitium is more radiopaque.

The abdomen has minimal detail due to lack of abdominal fat and presence of small amounts of normal abdominal effusion, making organ assessment difficult. Aerophagia or gaseous distension is easily documented. The appendicular skeleton has prominent growth plates and minimally ossified bone cortices. There is no costochondral mineralization, so the liver may appear relatively enlarged.

Featured Image
Featured Image

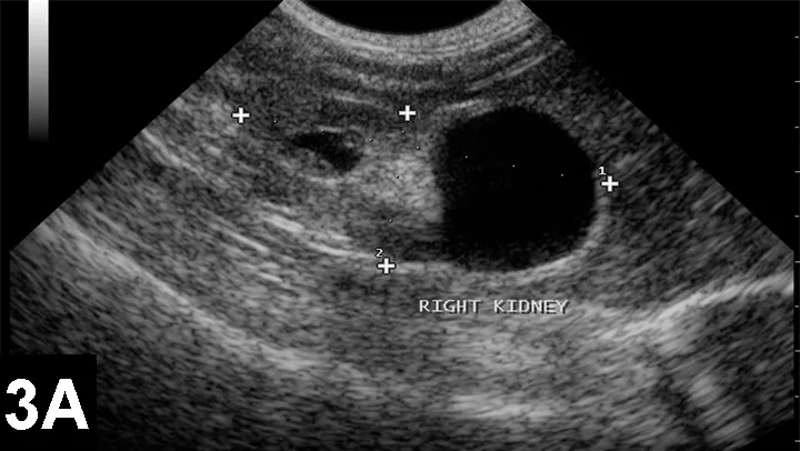
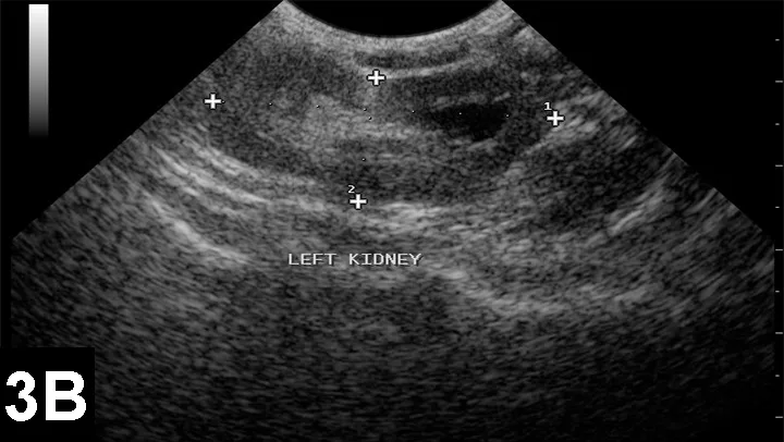
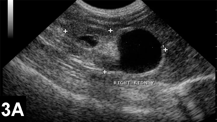
UltrasonographyUltrasonography may be used to diagnose some gastrointestinal disorders, including ileus, intussusception, and enteritis; abdominal effusion from hemorrhage, peritionitis, or ruptured bladder; some congenital renal diseases (Figure 3); and pneumothorax and some heart defects.

Laboratory StudiesWhen blood sampling from a neonate, caution must be taken not to draw too large a sample (1.5 mL or less is advised) because the total blood volume is so small (~75 mL/kg). This volume is usually enough to assess a manual leukocyte count, packed cell volume, total serum protein, blood differential, and select serum biochemical profile (ie, blood urea nitrogen, creatinine, alkaline phosphatase, gamma glutamyl-transferase, glucose). Neonates have some differences in the normal range of serum chemistry and CBC results (Table 1). Serial blood samples may be obtained as often as every 3 days for follow-up assessment.

Treatment

Fluid SupportNeonates have much higher fluid requirements than adults due to their higher percentage of body water, lack of body fat, higher metabolic rate, immature kidney function, and high surface area–to–body weight ratio. Maintenance fluid rates range from 60 to 180 mL/kg daily. Overhydration occurs easily as a result of immature renal tubular function, requiring careful daily monitoring by assessment of body weight.

Featured Image

Routes of fluid administration include subcutaneous, intraosseous, intravenous, or intraperitoneal. If repeated dosing is required, either intravenous or intraosseous routes are recommended. In young neonates, intraosseous administration is the simplest route and allows rapid, long-term access to the bloodstream (see Intraosseous Catheterization: An Often Underused, Life-Saving Tool, published in the May 2009 issue of Clinician’s Brief and available at cliniciansbrief.com). In large and giant breed puppies, jugular catheters may be placed if dehydration is not too severe.

A good starting point for fluid replacement is to administer an initial fluid volume of 30 to 45 mL/kg for puppies and 20 to 30 mL/kg for kittens, and then continuing at 60 to 100 mL/kg daily depending on disease process, nutrient intake, continuing losses, and clinical status. Normally balanced, physiologic crystalloids (lactated Ringer’s, Normosol [abbottanimalhealth.com], and Plasmalyte [baxter.com]) are preferred. All fluids should be warmed before administration.

Dextrose should be administered to any critically ill neonate or any neonate that is too hypothermic for enteral nutrition. Boluses of 10% to 20% dextrose can be administered initially at 1 to 2 mL/kg, or 50% dextrose can be diluted 1:1 to 1:2 with saline and dosed at 0.25 to 0.5 g/kg. If the patient is hypokalemic (serum potassium level of < 2.5 mEq/L), potassium chloride should be supplemented through fluid replacement or enterally (potassium chloride elixir) if oral fluids are tolerated.

Medical TherapyTreatment of neonates is relatively inexpensive with regard to drug costs because of their small size, but monitoring can be very time-consuming. Because of decreased liver and renal metabolism and greater permeability of the blood–brain barrier, administration of many medications must be adjusted for neonates. Decreased drug clearance rates, increased drug half-lives, and increased plasma concentrations of drugs result in the need to either decrease the dose or increase the dosing interval (Table 2). In general, decreasing the dose by 30% to 50% or increasing the dosing interval by 2 to 4 hours will adjust for these differences.

Featured Image

Fluoroquinolones can be used to treat severe gram-negative infections in cases where indicated if neonates are under 30 days of age. Since cartilage development is not occurring rapidly at this time, the deleterious effects seen in cartilage are less likely. Enteral antibiotics can suppress growth of normal intestinal flora (ie, Enterobacteriaceae), so avoidance of these antibiotics is recommended whenever possible (Table 3). The addition of oral lactobacillus products at alternate dosing intervals to the antibiotics helps maintain normal intestinal flora.

Featured Image

NutritionCaloric support is critical for young neonates. If the patient is moribund, hypothermic, or has gastrointestinal disease, the cardiovascular system should be stabilized before initiating enteric feeding. Intravenous or intraosseous dextrose solution can be utilized as an energy source until enteral feeding can be instituted.

Once the patient is stabilized and normothermic, enteral feeding with a feeding tube is recommended. Stomach capacity of the neonate is 50 to 80 mL/kg daily. Puppies should gain 1 to 2 g for every pound of their expected adult weight daily (or 5% to 10% of their birth weight daily), and kittens should gain 7 to 15 g/day. Use of commercial milk replacers is strongly recommended; emergency milk replacer formulations do not provide adequate nutritional replacements. As soon as the patient is strong enough to be returned safely to the dam and littermates, this should be done.

Supportive CareSupplemental heat and humidity should be provided. Environmental temperature should be 85° F to 90° F for the first week and then decreased by 5° F every week until week 4; humidity levels should be maintained at 70%. Humidified oxygen therapy (not to exceed 40% to 60%) is beneficial for patients with respiratory disease, severe hypothermia, or dehydration until they are stabilized.

Complications

AnticipationSepsis is a common sequela of neonatal illness. Use of prophylactic antibiotics is indicated before a diagnosis has been established whenever severe illness is present. Hypothermic puppies should be rewarmed over a couple of hours to prevent hemorrhage. They should not be fed until body temperature is over 96° F to prevent aspiration due to gastrointestinal paralysis, which occurs when body temperature drops below 94° F.

PreventionProper nutrition and deworming of the bitch, along with strict sanitation and hygiene, are necessary in order to produce healthy neonates. Puppies or kittens known to have had poor or no colostral antibody ingestion should be treated with pooled serum at a dose of 22 mL/kg subcutaneously either within the first few days after birth or as soon as illness is recognized.

If neonates die during treatment, necropsies should be performed and tissues submitted to rule out any infectious disease that may develop in littermates. Tissues should be fresh or refrigerated, not frozen.

Monitoring & Follow-UpNeonates are extremely resilient patients. If they can be stabilized and treated, they will often recover completely. Weight gain should be monitored every 12 hours until the patient has recovered completely. Patient attitude, activity, sleep, and posture should also be monitored.

Pediatric Norms: 4 Weeks of Age & Under

Body Temperature• 95° F–98° F for the first week• 97° F–100° F for remainder of first month

Heart Rate• 200–220 beats/min during first 2 weeks• 100–140 beats/min for next 2 weeks

Respiratory Rate• 15–36 breaths/min for first 2 weeks• 16–32 breaths/min for next 2 weeks

Total Blood Volume• ~75 mL/kg

Stomach Capacity• 50 to 80 mL/kg daily