Craniomandibular Osteopathy
Carlos A. Rice, DVM, DAVDC, Center for Animal Referral & Emergency Services, Langhorne, Pennsylvania
Craniomandibular osteopathy (CMO) is an idiopathic, non-neoplastic, proliferative disease of the cranial bones in the dog. The disease has commonly been referred to as Westie disease because of the overrepresentation of West Highland white terriers, or as lion jaw because of the exuberant new bone formation that typically affects the mandibles.1 Although identified primarily in terrier breeds, CMO has been reported in other breeds.2,3 It is typically self- limiting and is known to affect skull bones, including the occipital bones, tympanic bullae, mandibles, and temporomandibular joints. Although CMO is typically a bilateral disease, asymmetric lesions are often seen.4,5 The age of onset is typically between 3 to 8 months; however, clinical signs tend to resolve by 1 year of age.3 There is no known sex predilection. The cause is unknown; however, an autosomal recessive inheritance is suspected,1 and other causes such as bacterial and viral infections have been implicated.1
Clinical Signs
Patients are often presented with unilateral or bilateral mandibular swelling, trismus, hypersalivation, and vocalization indicative of pain. Clinical signs may be misattributed to pain from cervical disease and may lead to reduced dietary intake because of impaired prehension, dysmastication, and subsequent dysphagia.3,6
Diagnosis
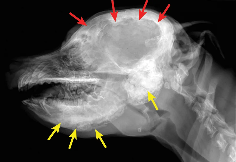
Diagnosis is based on signalment, history, clinical signs, and radiographic findings. Although biopsy and histopathology can help confirm diagnosis, they are typically not necessary, as radiographic findings are often pathognomonic (Figure 1). However, although standard radiographs can confirm diagnosis, CT may be helpful in assessing if the temporomandibular joints are affected.


(A) Lateral and (B) ventrodorsal radiographs of the skull. This patient was diagnosed with calvarial hyperostosis. Note that the frontal, parietal, and occipital bones, including the tentorium osseum, are smooth but have increased thickness and opacity (red arrows). Note the markedly irregular periosteal reactions on the mandibles and bullae (yellow arrows). This patient was unable to open its mouth much beyond what is evident on the lateral image. Images courtesy of Justin Goggin, DVM, DACVR
There are no specific pathologic signs. Often, serum alkaline phosphatase is elevated and hyperphosphatemia is present3; however, because CMO is typically diagnosed in young and adolescent dogs, these elevations are likely consistent with skeletal immaturity.3
Other differential diagnoses can include osteomyelitis and neoplasia, especially if lesions are unilateral. CMO can occur independently of or in conjunction with other developmental orthopedic diseases of the axial and appendicular skeleton.4
Treatment & Prognosis
Appropriate pain management is critical. Most patients appear to respond well to NSAID therapy, but protracted treatment may be necessary; however, some clinicians prefer to treat with anti-inflammatory doses of glucocorticoids.6 Coadministration of NSAIDs and glucocorticoids must be avoided. Supportive care can include a gruel or softened diet, although hand-feeding may be required.
Prognosis typically depends on the bones affected and temporomandibular joint(s) involvement. In addition, the patient’s ability to open and close the mouth, prehend food, and sustain themselves throughout supportive care can affect prognosis. For instances in which there is limited range of motion because of temporomandibular joint(s) involvement, prognosis for survival is dependent on the patient’s ability to maintain appropriate dietary intake.3 In such cases, although temporomandibular joint arthroplasty and excision have been recommended, deleterious effects following surgical intervention have been reported; thus, the majority of cases can be treated medically. Most patients respond to medical management and supportive care.7