Coughing Cat: Could It Be Heartworm?
Alice C. Y. Lee, DVM, Cornell University
Marc S. Kraus, DVM, DACVIM (Cardiology, Internal Medicine), Cornell University
A 5-year-old, neutered, indoor/outdoor domestic short-haired cat presented with chronic cough.
History
According to the owner, the cat, which had previously lived in Alabama, had periodic vomiting episodes but no other medical issues. He was not receiving any medications and his vaccination status was current.
Physical Examination
The cat was bright, alert, and responsive. Examination revealed increased bronchovesicular sounds in the caudal lung fields but was otherwise unremarkable. No lungworm ova or larvae were observed by either fecal flotation or Baermann technique.
Ask Yourself...
What is the next diagnostic test of choice for this cat?
Echocardiography
Thoracic radiography
Transtracheal wash or bronchoalveolar lavage
Repeat Baermann technique
Correct Answer: Thoracic radiography
Thoracic films are the most useful diagnostic test for identifying the primary lung disease or triggering factor that might be responsible for feline coughing, including asthma, infectious agents (eg, Aelurostrongylus abstrusus, Dirofilaria immitis, Mycoplasma felis), and neoplasia.
In this case, echocardiography would not be indicated because cats generally do not cough from cardiac disease. Transtracheal wash or bronchoalveolar lavage is more invasive than radiography, although it may reveal evidence of inflammation, infection, or lymphoma. If lungworm larvae are suspected, the Baermann technique may need to be repeated multiple times, as false-negative results can occur; empiric anthelmintic treatment is therefore recommended.
Diagnosis
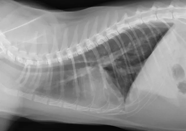
Thoracic radiographs showed lesions suggestive of heartworm or lungworm infection (Figure 1). An in-clinic heartworm antigen test was positive. The owners declined echocardiography.

FIGURE 1
Bronchointerstitial pattern in the caudal lung fields (A and B). Enlargement of the caudal pulmonary arteries is evident on the ventrodorsal (B) projection.
Feline Heartworm Disease
Heartworm infection should be considered as a differential diagnosis for respiratory signs in cats, particularly in heartworm-endemic regions. Cats are not natural hosts for heartworm and their resistance to infection translates into differences in the parasite life cycle as compared with dogs.
Table: Heartworm Infection in Cats Versus Dogs
*Microfilaremia persists in 10% to 20% of heartworm-infected dogs receiving chemoprophylaxis.4
Clinically, cats with heartworm are difficult to distinguish from those with asthma, although asthma waxes and wanes while heartworm signs tend to persist. Cats with chronic heartworm disease (ie, adult infection) often present with vomiting in addition to respiratory signs.2,5 Heartworm-infected cats can die suddenly without preexisting clinical signs and the presence of adult worms is not required for clinical disease.2,5 Cats, much more so than dogs, can experience heartworm-associated respiratory disease (HARD) attributed to the death of immature adult worms in the pulmonary vasculature.4 HARD may or may not progress to a mature heartworm infection.
Prevalence
Because heartworm screening in cats is not routine practice, prevalence is estimated to be 5% to 20% of that in dogs in the same area. Shelter necropsy studies provide some indication of true prevalence (Figure 2). An antibody prevalence map for cats is available from the Companion Animal Parasite Council.2 Reported prevalence rates may be biased because cats are generally tested only when the index of suspicion is high; however, these values are noteworthy, as they closely resemble necropsy data.

FIGURE 2 Percentage of shelter cats possessing adult heartworms at necropsy, 1993–2004. Data acquired only from red-colored states.
Treatment
Treatment includes prednisone at 1 to 2 mg/kg q12–48h, tapered over 3 to 4 weeks. If signs recur, the lowest effective dose should be continued at q48h. Macrocyclic lactone preventive therapy should be initiated to protect against reinfection. Because cats have few to no microfilariae, there is little fear of mass microfilarial death from product administration, making macrocyclic lactone therapy acceptable.4
Of note, no heartworm adulticides have been approved for cats.
Surgical extraction of adult worms is possible but is associated with high risk for anaphylactic-like shock. This should be limited to cats with high worm burdens (eg, caval syndrome) and is best performed by experienced specialists.4,7
Prevention of feline heartworm infection is the best management strategy. Cats with outdoor access are at higher risk for infection; however, indoor-only cats represent a quarter of confirmed heartworm cases.2,5 Cats should therefore receive chemoprophylaxis regardless of lifestyle, especially in endemic areas.
Heartworm Diagnosis: Challenging in Cats
In symptomatic cats, a positive antigen test is considered diagnostic of a mature infection but a negative result is ambiguous. Cats have few adult worms, so the amount of circulating antigen may fall below the detection limit. Male-only infections can also lead to false-negative results. The presence of antibodies indicates exposure to heartworm but does not necessarily denote an adult infection. Conducting both antibody and antigen testing increases sensitivity of detection as compared with conducting either test alone.1 Radiographic lesions (eg, hyperinflation, varying patterns of parenchymal infiltrates, enlarged caudal pulmonary arteries) help support a diagnosis of heartworm but are nonspecific and can resolve within a few months of infection in cats.5,6 Echocardiography provides a definitive diagnosis if heartworms are observed.
The American Heartworm Society has a summary table on test interpretation that can assist in diagnosing feline heartworm disease.
Outcome
The cat was treated symptomatically with a tapering dose of prednisone for 3 weeks and then maintained on q48h therapy. Year-round heartworm prevention was instituted. Three months after presentation, the cough had completely resolved.
Take-Home Messages
The majority of coughing cats have primary lung disease, not cardiac disease.
Unless the patient is antigen positive or heartworms are observed on echocardiography, definitive diagnosis of feline heartworm disease remains a challenge.
Multiple test results should be used to determine whether heartworms are the cause of a patient’s clinical signs.