Chronic Valvular Disease in the Dog

ArticleLast Updated December 201011 min readPeer Reviewed

Profile

Definition• Chronic valvular disease (CVD) is the most common cardiovascular disease in small animals.1 CVD is estimated to cause approximately 75% of canine cardiac disease encountered in practice.

• The cardiac valve most commonly affected is the mitral valve, and CVD is also known as degenerative mitral valve disease, myxomatous mitral valve disease, and endocardiosis.

_Signalment_Age & Range• CVD usually affects older small-breed dogs, although some larger breeds can develop the condition.2• The disease course in larger dogs is often slightly different; this article will focus on typical presentation and progression of CVD in small-breed dogs.

Breed & Sex Predilection• Evidence suggests that CVD is a heritable trait in some breeds. For example, in the Cavalier King Charles spaniel, the offspring of parents affected by CVD at a younger age are also likely to develop the disease when young.3• It is currently unclear whether CVD is heritable in other breeds and to what extent inheritance influences disease development compared to other factors.• Males appear to develop the disease at an earlier age.4

Since CVD is such a common cause of acquired heart disease in dogs, any older small-breed dog with a typical murmur should be suspected of having the condition.

Pathophysiology• CVD is characterized by loss of normal integrity of the valve, with disruption and weakening of normal valvular structures.• The principal hemodynamic abnormality that results from valvular changes is mitral regurgitation. This introduces a functional inefficiency to the left side of the heart.• To ensure sufficient blood flow out of the left ventricle into the systemic arterial circulation, the ventricle must pump a greater than normal volume of blood to compensate for the volume being ejected, in a retrograde manner, into the left atrium (regurgitant stroke volume).• Over time, the valvular changes progress, leading to larger regurgitant volume and progressively greater compensatory effort by the heart and circulatory system.

Definitions• Left-sided heart failure: Fluid accumulation in the lungs• Mitral regurgitation: Blood regurgitates through the mitral valve from the left ventricle into the left atrium during cardiac contraction• Right-sided heart failure: Fluid accumulation in the systemic veins and body cavities.

Clinical Signs of CVD

When the heart can no longer meet the demands of metabolically active tissues, clinical signs of CVD may result.• Dyspnea (left- and right-sided heart failure)*• Cough• Exercise intolerance• Syncope or episodic weakness• Lethargy• Nocturnal restlessness• Ascites (right-sided heart failure)*• Pallor• Hypotension• Unexplained weight loss

* Signs of congestion secondary to excessive fluid retention

Clinical Signs• In early stages of CVD, when regurgitant volume is low, the patient is usually able to compensate easily and often demonstrates no clinical signs. This phase can last several years.• As the valve leak worsens, clinical signs may become evident (see Clinical Signs of CVD); in addition, signs of congestion may develop secondary to excessive fluid retention (precipitated by the neuroendocrine response to heart disease).• It is estimated that < 25% of affected dogs develop signs associated with CVD; many develop and succumb to other diseases of aging dogs.

Physical Examination• In patients being examined annually (or more frequently), CVD is usually indicated initially by discovery of a heart murmur in an otherwise healthy dog. In patients examined less frequently, onset of signs noted by the owner may be the first indication.• The most characteristic finding in dogs with mitral regurgitation secondary to CVD is a low intensity, left-sided systolic heart murmur. The murmur is typically most audible at the left heart apex where the impulse of the cardiac contraction is most palpable. (For additional information on left-sided heart murmurs, see the Table.)• As the murmur becomes louder due to disease progression, it may radiate and become audible over other areas of the thorax (typically dorsally and to the right).• Signs of more advanced disease (and of patients’ efforts to compensate for their disease) include elevated heart rate (> 140 beats/min), loud heart murmur, and loss of respiratory sinus arrhythmia.• In patients with sufficiently advanced disease, there may be other abnormalities, including:-Pulmonary crackles indicating pulmonary edema (patients with left-sided heart failure)-Ascites and jugular venous distension (patients with right-sided heart failure)-Irregular cardiac rhythm and pulse deficits (patients with arrhythmias)

Featured Image

* Condition usually congenital in origin; therefore, more likely found in young animal

Diagnosis

There are 4 critical questions that need to be answered to develop a management plan for patients with CVD:• Is the disease definitely CVD?• Is cardiomegaly present?• Is evidence of heart failure present?• Does the patient have evidence of concurrent disease?

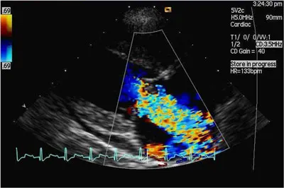
_Definitive Diagnosis_Echocardiography• Definitive diagnosis is made by identifying a distorted mitral valve and evidence of valvular insufficiency (in the absence of other cardiac disease); this can be achieved using echocardiography and Doppler echocardiography (Figure 1), respectively.• Clients may decide not to pursue Doppler echocardiography, particularly if their pets are not showing outward signs.• If the course of CVD in a small-breed dog is typical, many times a clinical diagnosis is made without definitive confirmation; however, if clients pursue optimal management, including definitive confirmation, Doppler echocardiography should be recommended to ensure an accurate diagnosis.

Figure 1: Color Doppler echocardiographic image (obtained from right side of the thorax) of a patient with marked mitral regurgitation: The heart is seen in long axis with the left ventricle displayed on the left side of the image and left atrium to the right. Mitral regurgitation is indicated by presence of a large, vividly colored jet of blood regurgitating from the left ventricle into the left atrium during ventricular systole.

Featured Image

_Additional Diagnostics_Radiography• The optimal monitoring test for dogs with CVD is thoracic radiography (Figure 2). This can be undertaken at regular intervals (eg, annually) to document evidence of progressive enlargement of the cardiac silhouette.• Thoracic radiography is regarded as the best diagnostic test for diagnosing left-sided heart failure (indicated by pulmonary venous congestion and pulmonary edema).

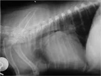
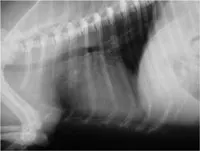
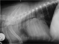
Figure 2: Radiographs of the same patient taken over 5 years depicting the gradual progression of cardiomegaly secondary to valvular heart disease typically found in CVD patients. In D, which shows marked cardiomegaly and left atrial enlargement, left-sided heart failure is indicated by presence of increased alveolar-interstitial density within the lung field.

A    B

A lateral radiograph of a canine shows the thoracic and lumbar spine, highlighting the vertebral column and surrounding soft tissues. The image reveals a potential spinal abnormality, indicated by irregularities in the alignment of the vertebrae.

C    D

A lateral radiograph of a canine showing the thoracic cavity, highlighting the rib cage, spine, and soft tissue structures. The image reveals potential abnormalities in the lung fields or mediastinum, useful for diagnosing respiratory conditions.

Electrocardiography• Electrocardiography is useful in patients suspected of having a cardiac arrhythmia.• It has limited value in identifying cardiomegaly and almost no value in diagnosis of heart failure.

Laboratory Analysis• Routine hematology and biochemical profiles are rarely useful for diagnosing CVD but can rule out other potential diseases (eg, bacterial endocarditis).• Serum biochemical profiles can also determine whether any renal or hepatic disease, which could complicate management of cardiac disease, is present.

_More_For further information, see Cardiac N-Terminal Pro–B-Type Natriuretic Peptide Assay (July 2010) by Dr. Mark Oyama, available at cliniciansbrief.com/journal.

NT-proBNP Assessment• Cardiac N-terminal pro–B-type natriuretic peptide (NT-proBNP) is a blood-based assay that can help detect underlying heart disease.• Levels of this peptide increase in plasma as the severity of valvular heart disease increases. In essence, higher concentrations are likely to indicate more advanced disease.

Treatment

Patients with CVD can be divided into 3 treatment groups:• Dogs without cardiac enlargement and clinical signs• Dogs with significant cardiomegaly but no clinical signs• Dogs with cardiomegaly and clinical signs, especially signs of congestive heart failure

No Cardiac Enlargement or Clinical Signs• Optimal management at this stage consists of client education, including instruction regarding optimizing weight, regular exercise, and identifying signs that may indicate progression of CVD.• Over-emphasizing the potential severity of CVD may cause undue anxiety for owners. It is important to stress that many patients have a relatively benign course and will never go on to develop signs.

ACE = angiotensin-converting enzyme; CVD = chronic valvular disease; NT-proBNP = N-terminal pro–B-type natriuretic peptide

Significant Cardiomegaly But No Clinical Signs• Treatment at this stage remains controversial: some cardiologists advocate therapy in an effort to prevent signs of heart failure; others do not initiate treatment until signs have developed. (The author falls into the latter group.)• Two prospective double-blinded, placebo-controlled studies examined the hypothesis that angiotensin-converting enzyme (ACE) inhibitors would slow the development of heart failure.5,6 Neither study convincingly demonstrated a significant difference in the time to their primary endpoint.

Cardiomegaly & Clinical Signs• Once signs of congestive heart failure have developed, therapy can result in improvement of clinical signs and use of certain agents results in improved survival.7,8• Furosemide & pimobendan: Following publication of the QUEST study8 it appears optimal chronic management of patients with mitral regurgitation should include administration of these medications.• ACE Inhibitors: It is widely believed by cardiologists that ACE inhibitors provide additional benefits, although this is not a conclusion that can be drawn from the QUEST study due to its design.• Spironolactone: There is also some evidence that spironolactone administration may help control signs of heart failure and possibly prolong survival.• Whether all 4 drugs should be introduced at once or some reserved for use once dogs have become refractory to initial therapy is often a matter of a cardiologist’s personal preference and influenced by owner finances and issues of compliance.• In cases with acute onset of severe heart failure, emergency therapy with intravenous diuretics, oxygen supplementation, other vasodilators, and inotropic agents may be necessary.

Heart Failure Refractory to Therapy• Many agents have been advocated for use in dogs developing persistent signs of heart failure refractory to initial management, including:-Additional diuretics (thiazides, spironolactone, torsemide)-Additional vasodilators (hydralazine, amlodipine)-Digoxin• At this stage, therapy is empirical; there is little evidence to support one method of treatment over another.

Chronic Cough Secondary to CVD• Cough is frequently not a consequence of congestion but a result of increased heart size, compression of adjacent structures, and possible bronchial collapse in certain breeds of dogs.• In this circumstance, agents, such as broncho-dilators, cough suppressants, and intermittent antiinflammatory medication, may need to be considered.

Nutritional Aspects• Diets have been shown to modify some indicators of disease,9 such as heart size and concentrations of neurohormones, but this has yet to translate into demonstrable improvement in outcome.• Of the various supplements described for use in CVD, evidence is probably most compelling for use of omega-3 fatty acids.10 However, survival benefit in dogs is currently lacking.• The main advice I offer with respect to diet is to maintain a healthy weight and aim for modest, consistent levels of sodium intake.

Follow-Up

Monitoring Therapy Success• Success of therapy is determined by resolution of signs of heart failure. If radiographic evidence of heart failure was a reason for initiating therapy, thoracic radiographs should be repeated.• Reduction in respiratory rate and effort in hospitalized patients is also a very good indicator of resolution of pulmonary congestion and edema.

Auscultation Tip

In order to decide if a murmur is basilar or apical on the left systematically move the stethoscope forward and back on the left side of the thorax during auscultation. If the murmur becomes less audible as the stethoscope is moved cranially and louder as the stethoscope is moved caudally over the area of the heart, the murmur is probably apical.

Adverse Reaction to Medications• Many drugs administered to patients with heart failure secondary to CVD act on, or are excreted by, the kidneys. They may induce azotemia and electrolyte disturbances.11• The best way to monitor for adverse reactions is to perform a limited serum biochemical profile that includes urea, creatinine, sodium, and potassium approximately 7 days after therapy initiation and after any change in therapy.

Monitoring at Home• As mentioned previously, improvements in respiratory rate and effort are good indicators of successful therapy and can be monitored at home.• Attentive owners can also detect evidence of deterioration, particularly if respiratory rate is observed and recorded at regular intervals.

In General

Prognosis• Early CVD can be regarded as a fairly benign disease; it is likely that as few as 25% of dogs with CVD will succumb to this disease.• Animals with clinical signs of heart failure tend to have progressive cardiomegaly prior to development of signs.• Even with optimal therapy, 50% of dogs with heart failure will die within the first 6 to 12 months.8,12

_Future Considerations_In human patients, the optimal method of managing valvular heart disease is surgical replacement or repair of the valve.13,14 Although limited case reports have described similar techniques in dogs, it is likely that cost and limited access to the technique will mean this remains an uncommon method of managing CVD.

For more information, check out the following articles:

Future Directions in Treatment of Canine & Feline Heart FailureCongestive Heart Failure in the DogIncorporating Pimobendan in Practice