Chronic Coughing in a Yorkshire Terrier
Douglas Palma, DVM, DACVIM (SAIM), The Animal Medical Center, New York, New York
Cici, an 8-year-old, 9.7-lb (4.4-kg), spayed Yorkshire terrier, was presented for chronic coughing of >6 months’ duration. She had no travel history and was current on vaccinations and flea, tick, and heartworm preventives. Cici was nonresponsive to a 2-week trial of amoxicillin/clavulanic acid (20 mg/kg PO every 12 hours) and enrofloxacin (10 mg/kg PO every 24 hours) for coughing.
Physical Examination
On physical examination, Cici was alert and responsive. Her BCS was 8/9 and muscle condition score was normal. Her heart rate was 80 beats per minute, respiratory rate was 30 breaths per minute, and body temperature was 101.4°F (38°C). A respiratory-associated arrhythmia (presumptively sinus) was noted. Cardiac auscultation revealed a grade II/VI left apical holosystolic murmur. Mild increased expiratory effort was appreciated, and thoracic auscultation revealed diffuse end-inspiratory crackles. The cranial abdomen was tense with palpably hypertrophied rectus abdominis musculature, which had increased tension on expiration. Moderate dental disease was observed. The remaining examination findings were within normal limits.
Diagnosis
Differential diagnoses for chronic coughing include disease processes associated with the airway (including the larynx and conducting airways), lower airways/parenchyma, and, occasionally, pleural space. Abnormalities associated with the airways include tracheobronchomalacia, chronic bronchitis, eosinophilic lung disease, aspiration, foreign bodies, neoplasia, infection (eg, bacterial, parasitic, protozoal, viral), and compression (eg, tracheobronchial lymph nodes, cardiomegaly). Abnormalities associated with the parenchyma include pneumonia (eg, bacterial, aspiration, foreign body, fungal, eosinophilic, interstitial) and neoplasia. Rarely, chronic effusions of the pleural space (most notably chylothorax or neoplastic effusions) may be associated with a cough.
Primary differential diagnoses for Cici were bronchomalacia and chronic bronchitis based on expiratory effort and crackles. Tracheal collapse and cardiomegaly were additional possibilities based on her breed and examination findings.1
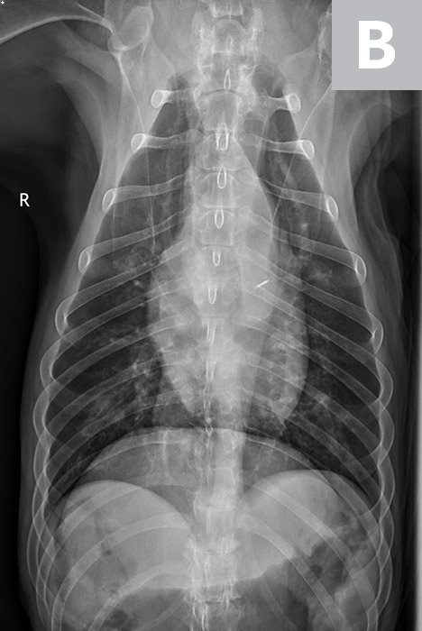
Serum chemistry profile and CBC results were normal, and heartworm antigen test results were negative. Thoracic radiography (right lateral, left lateral, ventrodorsal) revealed a diffuse bronchial pattern but was otherwise unremarkable with no cardiomegaly (vertebral left atrial size, 2.1 [normal, 1.4-2.2]; vertebral heart scale, 9 [normal, 8.7-10.7]) or observable airway collapse (Figure 1). Arterial blood gas showed partial pressure of arterial oxygen 97 mm Hg (normal, 81-103 mm Hg). Echocardiography revealed myxomatous mitral valve degeneration (B1) with no evidence of pulmonary hypertension.2 Laryngoscopy/bronchoscopy showed moderate mucosal irregularity and increased mucus of the lobar bronchi (Figure 2) with normal laryngeal function. Concurrent dynamic bronchial collapse of the left and right mainstem bronchi (grade II/III) was observed (Figure 3).3 Bronchoalveolar lavage was performed and submitted for cytologic evaluation and aerobic culture. Cytology revealed nonseptic neutrophilic inflammation (Figure 4); aerobic culture was negative.
Chronic bronchitis was diagnosed based on airway inflammation, history of chronic coughing, physical examination findings, thoracic radiography results, and lack of other observable structural pathology (Table).
FIGURE 1A
Thickening and mineralization of the airways characteristic of a bronchial pattern and suggestive of chronic airway inflammation
Table: Expected Findings for Chronic Bronchitis
Diagnosis: Chronic Bronchitis
Secondary Diagnosis: Bronchomalacia/Bronchial Collapse
Treatment & Long-Term Management
Systemic corticosteroids (prednisone, 0.5 mg/kg PO every 12 hours) were initiated, and Cici’s owner was instructed to monitor frequency, intensity, and duration of coughing and to quantify the percent improvement from baseline, with a goal of 85% to 90% improvement (see Treatment at a Glance).
Treatment at a Glance
Systemic corticosteroids (eg, prednisone, 0.5 mg/kg PO every 12 hours) or inhaled corticosteroids (eg, fluticasone, 220 µg metered dose inhaler; 1-2 puffs every 12 hours) should be initiated.
Overlapping administration of prednisone and fluticasone may be considered for severe cases.
The goal of management is to maintain the lowest effective dosage that controls coughing and minimizes adverse effects. In general, a gradual taper (eg, 25% reduction) every 2 weeks is recommended based on clinical signs.13
Prednisone administered at >0.5 mg/kg every 24 hours is often associated with significant adverse effects, and inhaled treatment should be considered.
Theophylline (10-15 mg/kg PO every 12 hours) can be considered if persistent coughing is noted, and adjustments of up to 30 mg/kg PO every 12 hours can be considered if tolerated.4
Obesity should be managed via caloric restriction. The author recommends initially feeding 75% to 100% of the resting energy requirement; calories should be reduced by 10% weekly if steady weight loss is not appreciated.
Environmental modifications (eg, relocation, high efficiency particulate air filters, dust reduction) should be considered to improve air quality, optimize humidity, and reduce recognized triggers of clinical signs.
Cough suppressants should be considered if coughing is refractory to anti-inflammatory treatment and may be prescribed initially for severe coughing associated with concurrent respiratory disease/bronchial collapse, with the goal of tapering after anti-inflammatory medications are initiated.
Patients with pulmonary arterial hypertension should be managed even when clinical signs of chronic bronchitis are under control. Sildenafil (2-4 mg/kg every 8-12 hours) can be considered, with doses adjusted to fit pill size.12
Managing Weight
Weight loss can be achieved in many obese patients by restricting caloric intake to the resting energy requirement; however, actual calories necessary to achieve steady weight loss can vary by 50% above or below the calculated resting energy requirement. Cici’s diet was modified for weight reduction; due to her sedentary lifestyle, 75% of her resting energy requirement was calculated ([body weight<sup0.75sup> × 70] × 0.75) to achieve predictable weight loss.
Total daily calories were divided into a morning meal, an evening meal, and a third meal to be given throughout the day as treats or provided in the afternoon. The flexible third meal allowed treats to be given as part of the daily calorie allowance in an effort to increase owner compliance. The owner was asked to provide Cici’s weight and pictures (ie, skyline and profile view) weekly to help assess progress.
The initial goal was consistent loss of ≤2% body weight per week; calories were further adjusted based on weight loss percentage. A commercial diet formulated for weight loss was not prescribed initially due to owner apprehension and compliance concerns; however, these diets are generally preferred to ensure appropriate micronutrient composition.
Managing Inflammation
Anti-inflammatory corticosteroids, the hallmark treatment for chronic bronchitis, reduce airway inflammation that contributes to coughing and potentially reduce airway obstruction and mucus production. Corticosteroids are typically administered orally, but inhaled treatment may lessen the likelihood of systemic adverse effects by reducing systemic absorption. Inhaled treatment may be limited by imprecise dosage guidelines, inefficient drug delivery to the lower airways, and cost.
The role of bronchodilators in treatment is less clear because bronchoconstriction is not thought to occur routinely in dogs with chronic bronchitis; however, these medications can act synergistically with corticosteroids and provide benefits independent of bronchodilation.4,5 No clinical studies have documented the role of bronchodilators, but some evidence supports clinical improvement and increased expiratory airflow in some patients.6
Managing inflammation is the primary goal of treatment. Coughing may persist, either from refractory disease or concurrent respiratory conditions, despite anti-inflammatory medications; treatment with cough suppressants may be necessary. Opioid antitussives are most effective. Neurokinin-1 antagonists may also be helpful as nonopioid antitussives.7
Managing Bronchomalacia
Progression of bronchomalacia can result in development of hypoxemia-mediated pulmonary arterial hypertension that exacerbates pulmonary dysfunction.8 Development of pulmonary arterial hypertension can lead to signs of exercise intolerance, syncope, collapse, and/or increased respiratory effort and/or rate. Medical management (ie, phosphodiesterase type 5 inhibitors [eg, sildenafil]) may be necessary to reduce clinical signs in these patients. Theoretically, reduction in coughing and airway resistance help reduce the likelihood of progressive bronchomalacia.
Prognosis & Outcome
Two weeks after initiation of treatment, Cici’s coughing was reportedly 95% controlled at rest and 60% controlled during activity. Prednisone was reduced ≈25% every 2 weeks with careful observation of clinical signs. By week 8, prednisone was reduced to 0.5 mg/kg PO every 48 hours; further reduction resulted in significant increase in frequency and intensity of coughing.
Persistent, prolonged coughing episodes with activity were observed, despite control of coughing at rest. At week 4, hydrocodone/homatropine (0.3 mg/kg PO every 12 hours) was initiated as an antitussive and was titrated up to 0.5 mg/kg PO every 12 hours over several weeks, leading to a reduction in coughing frequency, intensity, and duration during activity. More strenuous activity was needed to induce coughing.
Weekly assessments of body weight revealed no weight loss 2 weeks after initiation of a calorie-restricted diet; kilocalories were further reduced by 10% every week until weight loss was observed. By week 5, weight loss was observed, and Cici was maintained on a 30% reduction from the initial caloric prescription. After 16 weeks, her weight was 7.9 lb (3.6 kg), and she had a BCS of 5/9, improved exercise tolerance, and reduced exertional coughing.
Approximately 8 months after treatment was initiated, the owner reported continued clinical control of coughing.
The prognosis for chronic bronchitis is variable, partly due to the degree of irreversible changes in the airway at the time of diagnosis. This disease cannot be cured; however, a high quality of life can usually be maintained with appropriate medical management. Relapses of clinical signs are not uncommon and require adjustments in medications (eg, transient dose escalations in corticosteroids; addition of cough suppressants, bronchodilators, and/or antibiotics) and re-evaluation of the patient’s condition (eg, bronchomalacia, pulmonary hypertension, secondary infections).
Discussion
Canine chronic bronchitis is an inflammatory condition of the lower airways with unknown etiology that requires lifelong anti-inflammatory medications (see Take-Home Messages). Diagnosis is based on clinical history (ie, coughing on most days for >2 months), physical examination, and supporting diagnostics. Thoracic radiography can help rule out other differentials and support diagnosis of chronic lower airway inflammation (ie, bronchial or bronchointerstitial pattern), but normal radiographs do not rule out chronic bronchitis. Airway sampling is essential for establishing a diagnosis because it provides additional information regarding alternative etiologies and/or documents inflammation typical of chronic bronchitis (ie, sterile inflammation). A tracheal wash or nonbronchoscopic bronchoalveolar lavage can provide adequate samples, but bronchoscopic sample collection provides additional information regarding the presence of concurrent respiratory conditions (eg, airway collapse). Airway sampling is recommended to achieve a diagnosis; however, if owner financial concerns exist, bronchoscopy may be reserved for patients with suspected concurrent disease. Empirical treatment may be appropriate with supportive history, examination, and thoracic imaging.
Complete assessment for concurrent disorders that can contribute to coughing may be indicated on an individual basis and can include echocardiography, tracheobronchoscopy, fluoroscopy, and/or evaluation of serum biomarker N-terminal pro-B-type natriuretic peptide (NT-proBNP) concentration.9 NT-proBNP evaluation may have been appropriate in the case described here—instead of echocardiography—to screen for pulmonary hypertension in the absence of significant cardiomegaly or radiographic evidence to support congestive heart failure. NT-proBNP has been elevated in dogs with respiratory-associated precapillary pulmonary hypertension10; however, echocardiography is still considered the gold standard for diagnosis due to some overlap between dogs with respiratory diseases with and without pulmonary hypertension.9
Management should be tailored to the patient and should prioritize controlling coughing and minimizing adverse effects of medications. Careful attention to contributing factors, including obesity11 and, rarely, environmental factors,12 can help optimize treatment.
Chronic bronchitis can typically be controlled with medication, but there is no cure. Some patients have intermittent exacerbation of clinical signs that can require transient or lasting treatment adjustments. Treatment considerations can include steroid dose increase, antitussive medications, antibiotics, and/or management of new contributing conditions.
Take-Home Messages
Chronic bronchitis is a diagnosis of exclusion and a common cause of coughing in middle-aged and older small-breed dogs but can occur in any breed or age.
Chronic bronchitis is characterized by lower airway inflammation and coughing on most days.
Obesity can exacerbate chronic bronchitis. Weight reduction can reduce drug dependency in some cases.
Secondary complications (eg, airway collapse, pulmonary hypertension) can occur.
Concurrent cardiopulmonary conditions are common.
Exercise intolerance or signs of hypoxia (eg, collapse, syncope) may be observed.
Chronic bronchitis cannot be cured; the goal of treatment should be to improve quality of life.
Chronic administration of corticosteroids is the hallmark treatment. Inhaled steroids can be an effective alternative, but the dose:response ratio is less predictable.
Role of bronchodilators is less established; theophylline can help some patients but generally does not replace steroids.
Environmental factors are rarely implicated but should be eliminated when possible.