Cardiac Biomarkers

Teresa DeFrancesco, DVM, DACVIM (Cardiology), DACVECC, North Carolina State University College of Veterinary Medicine

ArticleLast Updated February 20118 min readPeer Reviewed

Profile

Definition

A biomarker is typically a substance in the blood that can be objectively measured and indicates a biologic or pathologic process or response to therapy.1 There are scores of cardiac biomarkers, but this article will focus on the 2 most clinically useful ones in the dog and cat: cardiac troponin I (cTnI) and N-terminal pro–B-type natriuretic peptide (NT-proBNP).

Cardiac TnI is an intracellular cardiac myofibrillar protein released into the circulation when cardiac myocyte injury and cell death or necrosis occur. It is a leakage cardiac biomarker; that is, it leaks into the circulation from damaged cardiomyocytes.

NT-proBNP is a neurohormone secreted from the atria and ventricles in response to volume expansion or pressure overload. It is a functional cardiac biomarker that is increased with stress, stretch, or strain on cardiomyocytes due to occult or overt heart disease.

Pathophysiology

Cardiac TnI

Troponin is a protein that regulates interactions between actin and myosin within the sarcomere. This protein leaks into the bloodstream when the cardiomyocyte is disturbed. On the basis of many experimental and clinical studies in animals, cTnI is an excellent marker for myocardial injury because its increase and duration are proportional to the severity of injury.2-8 Cardiac TnI has maintained protein homology among all mammalian species. As a result, human troponin immunoassays can be used reliably in the dog and cat or any other domestic animal species. Many of the larger veterinary diagnostic laboratories now offer a cTnI assay.

NT-proBNP

NT-proBNP is the inactive portion of a prohormone (proBNP). ProBNP is produced by cardiac myocytes, primarily from the ventricles, in response to stretch or strain on the myocardium. Once released from the cell, the BNP prohormone is cleaved into 2 parts: an active C-terminal BNP and an inactive NT-proBNP. The physiologic actions of the active BNP portion are primarily vasodilation, natriuresis, and diuresis. NT-proBNP helps in the diagnosis of congestive heart failure, screening of occult disease, risk stratification, and treatment and prognosis of heart disease in humans.

Studies in cats and dogs are evolving rapidly, allowing a better understanding of this biomarker’s clinical utility.9-13 Although both active and inactive parts of the BNP hormone can be measured, NT-proBNP is more stable, particularly in veterinary species. In contrast to cTnI, NT-proBNP is a species-specific assay. Both feline and canine NT-proBNP assays are available (Cardiopet proBNP, idexx.com).

Causes of Increased cTnI

The normal cTnI concentration is below the level of detection, usually < 0.2 ng/mL on most current assays. Any value above that is considered abnormal. As mentioned previously, the magnitude of elevation of cTnI is proportional to the extent of myocardial injury.

Myocarditis & Pericardial Effusion

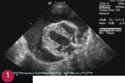
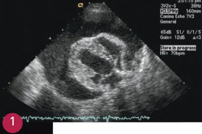
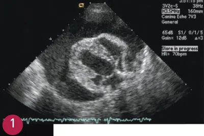
In my experience, the highest elevations are in animals with suspected or confirmed myocarditis. Increased cTnI has been reported with myocarditis due to infectious causes, such as babesiosis or ehrlichiosis.4 Elevations in cTnI have been shown in dogs with pericardial effusion due to hemangiosarcoma.5 Pericardial effusion is the most common indication for measuring cTnI in my clinical practice. In addition, cTnI is a useful additional diagnostic test in an older dog with pericardial effusion and no obvious mass on echocardiography. The finding of an elevated cTnI in this patient might suggest a small and difficult-to-visualize mass (Figure 1).

A grayscale ultrasound image shows a canine fetus in utero, positioned in a transverse view. The display includes measurements indicating the gestational age and heart rate, with a waveform at the bottom representing the fetal heart activity.
FIGURE 1

Echocardiogram of 10-year-old spayed female golden retriever with pericardial effusion and cardiac tamponade. An elevated cTnI increases the likelihood of neoplasia when a mass cannot be visualized on echocardiography.

Hypertrophic Cardiomyopathy

Hypertrophic cardiomyopathy is another important cause of an elevated cTnI. Several studies have shown that cTnI is elevated in both symptomatic and asymptomatic hypertrophic cardiomyopathy.7,8 One study evaluated the utility of cTnI in distinguishing congestive heart failure from respiratory disease in cats presented for dyspnea.7 Unfortunately, although cTnI was indeed higher in the cats with heart failure, levels were also somewhat elevated in cats with respiratory disease. As a result, cTnI is not as useful as once hoped. NT-proBNP appears to be a better test to distinguish between congestive heart failure and noncardiac causes of respiratory signs in both dogs and cats.

Myocardial Infarction & Ischemic Injury

In humans, the most common cause of an increased cTnI is myocardial infarction or acute coronary syndromes. This biomarker has become the new gold standard for diagnosis of myocardial infarction. Coronary artery disease and ischemic injury to the heart are not common in the dog (unlike in humans); however, the measurement of cTnI in various canine heart diseases other than myocarditis and suspected neoplastic pericardial effusion has helped better define the pathophysiology and diagnose certain types of heart disease.

For example, in Oyama and Sisson’s study of dogs with various types and severities of heart disease, approximately 50% of dogs had some elevation in cTnI.6 This finding indicates that although ischemia was not the primary myocardial insult, there appeared to be low-grade, yet appreciable, myocardial death and remodeling. cTnI has not proven to be a good test to detect occult cardiomyopathies in dogs but may help predict clinical outcome.

Gastric Dilatation-Volvulus

Another cause of an elevated cTnI in dogs is gastric dilatation-volvulus, suggesting that myocardial injury from ischemia and reperfusion is the primary mechanism of the arrhythmias common in postoperative dogs with this condition.3 Schober showed that the severity and frequency of the arrhythmias present in postoperative dogs with gastric dilatation-volvulus correlated well to cTnI concentrations.

Cardiotoxicity

Serial monitoring of cTn1 may also help detect cardiotoxicity in dogs undergoing high-dose doxorubicin administration. Doxorubicin cardiotoxicity causes multifocal necrosis of the heart that is more common with higher cumulative doses. This cardiotoxicity usually manifests as diminished left ventricular systolic function and arrhythmias. Other forms of toxic insults to the heart will cause elevations in cTnI, such as myocardial injury due to rattlesnake envenomation, oleander toxicity, and blunt thoracic trauma.

See Table 1 for a list of causes.  

 Causes of Increased NT-proBNP

Plasma NT-proBNP concentrations are elevated in dogs and cats with congestive heart failure and those with asymptomatic heart disease (Figure 2). Several studies have shown plasma BNP or NT-proBNP to be sensitive and specific for the diagnosis of heart failure in dogs and cats presenting with cough or dyspnea (Table 1).9–13

Featured Image
FIGURE 2

Lateral thoracic radio­graph from a 10-year-old castrated male domestic shorthair cat with vague clinical signs of lethargy and loss of appetite of 1 day’s duration. No murmur or gallop was noted. The only physical examination abnormality was an elevated respiratory rate (60 breaths/min). Thoracic radiographs were suspicious for congestive heart failure, but the NT-proBNP level (1126 pmol/L) added confidence to the diagnosis.

Severity of Disease

The magnitude of NT-proBNP increase typically correlates with the severity of disease, which suggests its possible utility as an objective tool to predict clinical outcome. Many studies are investigating the best cutoff values between normal, mild, or moderate heart disease and severe heart disease with congestive heart failure. These cutoff values are quite different in the dog than in the cat.

Diagnosing Disease

Emerging studies also indicate that the magnitude of increase in NT-proBNP values may vary by cause of congestive heart failure. One study has shown that BNP values were lower in dogs with congestive heart failure due to mitral valve disease than in those with dilated cardiomyopathy.10

Several studies have evaluated the utility of NT-proBNP in screening for occult feline and canine cardiomyopathy. Preliminary results suggest that NT-proBNP may indeed be useful in identifying cats with occult hypertrophic cardiomyopathy. In dogs, the early results suggest that NT-proBNP is also helpful in identifying dogs with occult dilated cardiomyopathy; however, the sensitivity and specificity of an elevated NT-proBNP may not be high enough to provide significant clinical benefit.

In addition to heart disease, severe systemic illness, such as sepsis, pulmonary hypertension, and severe respiratory disease, may also increase NT-proBNP, but typically to a lesser degree. As is seen with cTnI, renal disease is associated with a higher concentration of NT-proBNP. 

Handling Samples

Shipping and handling, as well as some spontaneous or drug-induced variation, may affect the level of elevation of NT-proBNP. Current recommendations for handling are to spin the blood sample and decant the plasma into a stabilizer tube within 1 hour of collection.

In General

Client Education

Clinicians should emphasize to pet owners that cardiac biomarkers should not be used as stand-alone tests. NT-proBNP may be used as a first test, particularly in screening for occult disease. If a screening NT-proBNP level is elevated, further diagnostics are needed to better characterize the cause and severity of heart disease.

Considerations

As with most other diagnostic tests, cardiac biomarkers are not 100% accurate. A low rate of false-positive and false-negative results could be experienced. Thus, these results should always be interpreted with the entire clinical history, physical findings, and imaging studies, if available.

Future Advancements

On the basis of the human experience with bedside kit tests for BNP, there is hope that such a test will be developed for the veterinary market to allow rapid and accurate assessment of NT-proBNP in a dog or cat suspected of having heart failure.

Table 2: NT-proBNP as a Diagnostic Tool for Heart Disease

Species

NT-proBNP Plasma Level

Indication

Cat

<100 pmol/L

Clinically significant cardiomyopathy is highly unlikely.

Cat

100-270 pmol/L

Clinically significant cardiomyopathy is unlikely, but early disease may be present. Consider repeat NT-proBNP in 3 to 6 months or an echocardiogram. If the cat has clinical signs, it is unlikely that these signs are associated with cardiomyopathy.

Cat

>270 pmol/L

Clinically significant cardiomyopathy is highly likely. Further cardiac workup, including an echocardiogram, is recommended.

Dog

<900 pmol/L

The likelihood that clinical signs (eg, respiratory and/or exercise intolerance) are due to heart failure is low. Consider other differentials to determine the cause of clinical signs.

Dog

900-1,800 pmol/L

Results in this range do not allow differentiation between clinical signs due to heart failure versus those from other causes. To help differentiate, consider other diagnostics.

Dog

>1,800 pmol/L

The likelihood that clinical signs (eg, respiratory and/or exercise intolerance) are due to heart failure is high. Further cardiac workup or cardiac consultation is recommended.


cTnI = cardiac troponin I; NT-proBNP = N-terminal pro–B-type natriuretic peptide