Presentation of Osteochondrosis
Osteochondrosis (OC) is a common cause of lameness, and the shoulder (proximal humerus) is the most commonly affected joint.1 Affected dogs are typically 6 to 10 months of age, medium to large breeds, and presented with thoracic limb lameness exacerbated by exercise. On physical examination, pain is apparent on flexion of the shoulder with variable muscle atrophy. Lesions are bilateral in ≥50% of affected dogs; orthopedic examination and contralateral radiography are thus warranted (Figures 1 and 2).

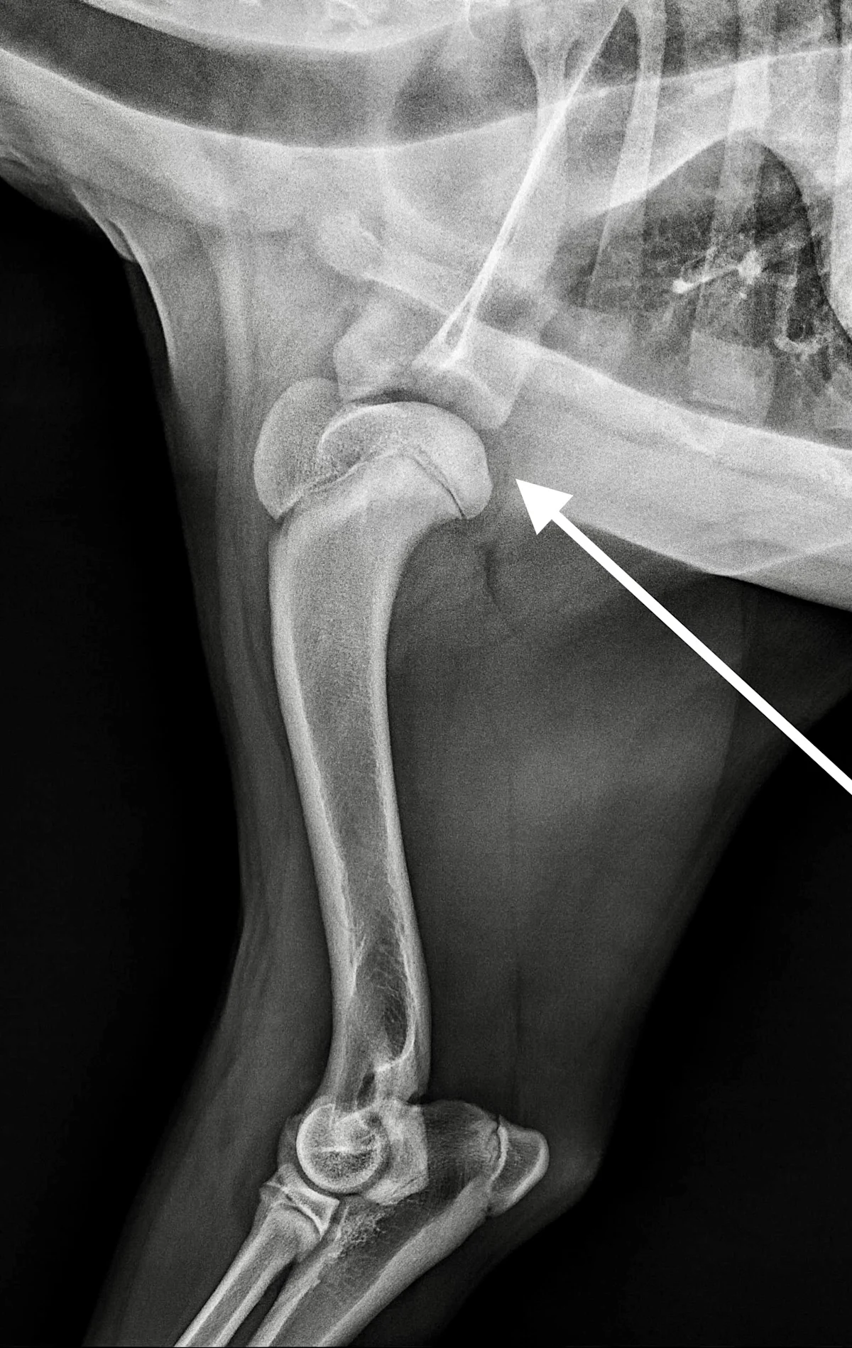
FIGURE 1 Lateral radiograph of the shoulder revealing the typical flattening of the caudal humeral head (arrow)

FIGURE 2 Arthroscopic view of the edge of an osteochondral flap of the caudal humeral head
Treatment for Osteochondrosis
Treatment with NSAIDs often provides pain relief, but the ideal course of action is surgical removal of the necrotic osteochondral piece with debridement of the underlying soft, abnormal bone to encourage ingrowth of fibrocartilage. Delay in treatment can lead to worsening osteoarthritis with synovial hyperplasia and inflammation.
The technique of choice is minimally invasive arthroscopic removal of the abnormal flap of bone and cartilage with curettage of the lesion in the caudal humeral head. Replacement of the diseased cartilage with an autograft or synthetic graft of cartilage has been reported2; however, no competitive comparison data to debridement exists.
Outcome of Osteochondrosis
The outcome following surgical treatment has been described as excellent, but recent research suggests osteoarthritis is progressive despite pet owner reports of positive comfort and use of the affected limb.3 Areas for future research include adjunctive treatments with platelet-rich plasma, hyaluronic acid, radiosynoviorthesis, targeted physical therapy exercises, and oral joint therapeutics.