Canine Hip Dysplasia: Prevention, Diagnosis, & Treatment
Wendy Baltzer, DVM, PhD, Diplomate ACVS, Oregon State University College of Veterinary Medicine
Definition
Canine hip dysplasia (CHD) is a disease of the coxofemoral joint in which laxity of the joint leads to degeneration of articular cartilage and development of osteoarthritis (OA).
Genetic Implications
- The disease is polygenetic and progression of OA as well as severity of clinical signs depend on interaction between a dog’s genetic susceptibility and exposure to environmental stressors.1 
- Studies examining the heritability of joint laxity suggest that excluding dogs with hip joint laxity has potential for greater reduction in the incidence of CHD than only excluding dogs with radiographic evidence of coxofemoral joint OA.2-4 
- Further reduction in the incidence of CHD may include evaluation of a dog’s breeding value in which hip characteristics and joint laxity of the dog, its relatives, and its offspring are considered.3,4 For approximately 5 years, this method of determining breeding value has not led to further reduction in the incidence of CHD in Germany.5 
- CHD will remain in the population of large and giant breeds for some time. 
Incidence/Prevalence
- Incidence of CHD has increased in the past 50 years.6 
- Overall prevalence is 3.52%.6 
- Breeds with highest incidence in the Veterinary Medical Database (1964–2003): - Newfoundland, Saint Bernard, Old English sheepdog, rottweiler, German shepherd, Samoyed, golden retriever, Alaskan malamute, Labrador retriever<sup6 sup> 
 
Signalment
- Breeds with longer body length-to-height ratios may have an increased incidence.7 
- Breeds with a high body-to-mass ratio or BMI (kg/m2 surface area) may have an increased incidence.8 
- Neutered dogs have a 1.2 odds ratio for CHD over intact males and females.6 
- Dogs younger than 1 year of age may present for CHD due to joint instability with the following clinical findings: - Damaged round ligament, articular cartilage, and joint capsule 
- Acetabular microfractures from repeated subluxation 
 
- Young to middle-aged dogs typically present for pain and lameness associated with OA. 
Risk Factors
- CHD is a multifactorial disease with genetic and environmental factors related to its expression in individual dogs. 
- Multiple major dominant and recessive genes are responsible for CHD. 
- No commercial test is available to determine which dogs with the genotype will develop significant CHD later in life. 
Environmental
- Environmental factors play a role and can be controlled by the owner and veterinarian to reduce the incidence and severity of the disease. 
- Exercise and housing on slippery surfaces need to be avoided.4 
Nutritional
- Genetically predisposed Labrador retrievers from the same litter that were fed 25% less than ad-lib quantities developed hip joint OA 50% less frequently than did their free-fed littermates.9 
- Limiting food intake (and body weight) over the life of a dog slowed progression of radiographic signs of OA. - Dogs fed ad lib developed radiographic signs of hip OA at 6 years of age versus 12 years of age in restricted-fed dogs.10 
- Overweight dogs with hip OA demonstrated decreased lameness following weight reduction.11,12 
 
Pregnancy
- Increased birth weight 
- Increased number of pups in the litter 
Specific for Labrador Retrievers
- Obesity13,14 
- High-fat diet 
- Exercise involving running after balls and sticks15 
Pathophysiology
- Two causes proposed: - The first involves primary joint laxity due to abnormal collagen type or fiber development in the joint capsule and ligament of the femoral head. 
- The second describes abnormal endochondral ossification of the acetabulum resulting in joint incongruency, joint effusion, and secondary subluxation and laxity.16 - During growth (3–8 months of age), synovitis, perifoveal cartilage damage, and joint effusion occur, resulting in OA at maturity. 
 
 
- Many dogs can develop hip joint laxity and radiographic evidence of OA; however, they may not show any signs of pain or lameness. 
Clinical Signs
- Dogs younger than 1 year of age: - Lameness, stiffness in hindlimbs, bunny-hopping gait 
 
- Adult dogs: - OA-related lameness, difficulty climbing stairs and jumping4 
 
Examination
- Crepitus and pain when hip is extended or abducted, hindlimb muscle atrophy 
- Decreased range of motion in the joint, lameness in one or both hindlimbs 
Pain Index
- Affected dogs may have acute episodes of joint pain resulting in non–weight-bearing lameness as well as chronic pain and lameness associated with OA. 
Diagnosis
- Immature dogs: suspect CHD in presence of pain on manipulation of hips. 
- Ortolani test (may require sedation/anesthesia, Figure 1): - Positive Ortolani sign is any indication that the joint can be luxated or subluxated with pressure placed on the femur dorsally and reduction of the femoral head into the acetabulum when the limb is abducted. A positive Barlow sign is present when dorsal force is placed on the femur and the head luxates on abduction of the neck.'' 
- Negative Ortolani sign does not indicate lack of joint laxity; if hip extension is resented by the dog, radiography is indicated. 
 
- Mature dogs: suspect CHD in presence of pain and crepitus in hips; confirm with radiographic signs of OA. 

Conducting an Ortolani test on a sedated dog in lateral recumbency: The stifle is grasped in one hand while the other hand is placed on the dorsum of the dog’s hips for countersupport. With the dog’s femur parallel to the examining table, force is placed on the femur toward the dorsal spine of the dog to subluxate the coxofemoral joint. As pressure is continued, the femur is slowly abducted and the examiner listens and feels for reduction of the subluxated joint, which can be heard as a pop or clunk sound and felt as movement of the greater trochanter of the femur medially. The angle at which joint reduction occurs is called the angle of reduction.17
Definitive Diagnosis
Radiography
- Used for definitive diagnosis in adult dogs with hip OA and to screen puppies for hip joint laxity 
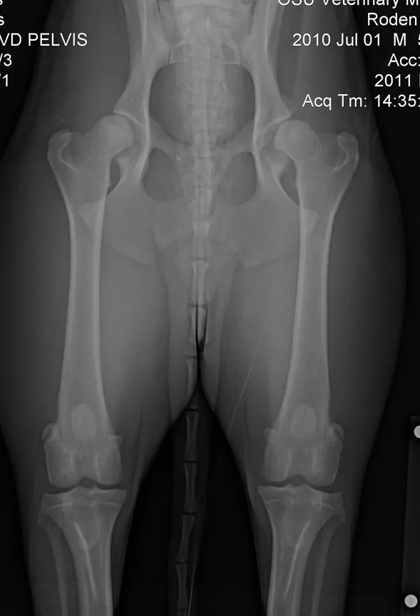
- Hip-extended ventrodorsal view to assess joint congruency (Figure 2); investigate Orthopedic Foundation for Animals (OFA) certification 
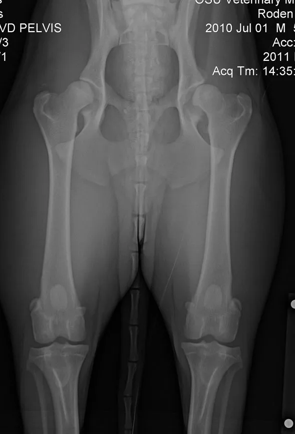
- Distraction ventrodorsal or dorsoventral view to assess joint laxity (Figure 3): - PennHIP (requires certification of the veterinarian) or dorsolateral subluxation score18 
- PennHIP DI can correlate with the development of CHD later in life in dogs as young as 16 weeks of age but requires certification and a specialized apparatus to perform. 
- Low incidence of false-negative diagnosis for CHD, whereas OFA certification may have higher incidence, in which case more dogs will be bred with CHD and pass on the disease to their offspring.19 
 
- Norberg angle ventrodorsal radiography is another method used to detect laxity.20 (Note: This angle is formed by connecting a point at the center of the femoral head [ball of the hip] to the upper acetabular rim [hip socket].) 
- No radiographic technique will completely eliminate false-positive and false-negative findings in obtaining a diagnosis of CHD before onset of OA.21 

(Left): Hip-extended ventrodorsal radiograph of a 10-month-old Australian shepherd with lameness and bunny-hopping gait at the run. Note the bilateral decreasedcoverage of the femoral heads by the acetabula and laxity present in the coxofemoral joints with increased severity in the left joint. (view larger image)

(Right) Ventrodorsal distraction view of the 10-month-old Australian shepherd in Figure 2. The dog’s femurs were held perpendicular to the radiography table and pressure was applied to luxate the coxofemoral joint dorsally. Note the laxity and luxation of the femoral heads from the acetabulum bilaterally. Significant bone remodeling and osteophytes are present in the left acetabulum. (view larger image)
OFA Certification
The Orthopedic Foundation for Animals (OFA) is a voluntary database of dogs with certification of certain genetic clearances for the purpose of conformation showing, athletic competition, and breeding. To meet OFA review and certification for radiographic evaluation, the following criteria must be met:
- Comprehensive examination performed on the dog at 2 years of age 
- Microchip identification of the dog completed 
- Preanesthetic blood work conducted before radiographic evaluation 
- Preventive vaccinations and screening for heartworm disease up-to-date 
Source: Useful information and links for veterinarians. The Orthopedic Foundation for Animals. http://offa.org/vetinfo/html (accessed September 2011).
PennHIP Fast Facts
- PennHIP is a multifaceted radiographic screening method for hip evaluation. 
- The method can be performed on puppies as young as 16 weeks of age. 
- The onset of hip OA related to CHD can be delayed by keeping dogs at risk for hip disease at a lean weight throughout their lifetime. 
- The PennHIP distraction index (DI) is a valuable indicator of future hip OA. 
- The DI does not change significantly over time. 
Source: What is PennHIP? University of Pennsylvania School of Veterinary Medicine. http://research.vet.upenn.edu/GeneralInformation/WhatisPennHIP/tabid/3232/Default.aspx (accessed September 2011).
Part 2 features surgical options, nutrition, exercise, rehabilitation, pharmacologic agents, stem cell therapy, and more.