Canine Hepatozoonosis

Eileen Johnson, DVM, Oklahoma State University

ArticleLast Updated April 20112 min readPeer Reviewed

Canine hepatozoonosis, caused by Hepatozoon canis, has been recognized as a mild disease of dogs in India since the early 1900s. It was subsequently seen in southern Europe, southeastern Asia, and Africa and was more recently reported in the Americas.

Canine hepatozoonosis, caused by Hepatozoon canis, has been recognized as a mild disease of dogs in India since the early 1900s. It was subsequently seen in southern Europe, southeastern Asia, and Africa and was more recently reported in the Americas.

American canine hepatozoonosis (ACH) was first reported in the Gulf Coast of Texas in 1978. Because of differences in parasite structure, tissue tropism, clinical signs, laboratory abnormalities, pathologic manifestations, and tick vectors, the North American organism was designated and later confirmed as a new species, H americanum, which is prevalent throughout the southeastern United States.

View and print a Canine Hepatozoonosis: Hepatozoon americanum vs Hepatozoon canis handout detailing the differences between these 2 infections here.

Life Cycle

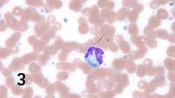
These Hepatozoon have a 2-host lifecycle. The definitive hosts, Amblyomma maculatum (Figure 1) and Rhipicephalus sanguineus (Figure 2) acquire gamonts (Figure 3) during feeding. Canine intermediate hosts are exposed by ingestion of polysporocystic oocysts (Figure 4) in the tick body cavity or cystozoites (Figure 5) in tissues of a paratenic host; transmission can also occur transplacentally (H canis).

selected slide image

Figure 1

1 / 5
Figure 1

Amblyomma maculatum; H americanum

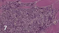
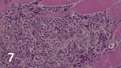
Merogony occurs in tissues of the canine host (Figure 6A, H americanum; Figure 6B, H canis). Released merozoites provoke pyogranulomatous inflammation and vasculitis (Figure 7) that may lead to hypertrophic osteopathy (Figure 8) with ACH. Merozoites enter neutrophils to become gamonts.

selected slide image

Figure 6A

1 / 4
Figure 6A

Typical appearance of 2 Hepatozoon species meronts. (A) Early H americanum with onion skin appearance (magnification, 40×) and (B) early H canis with wheel-spoke appearance (magnification, 40×).

Clinical Signs

Disease caused by H americanum is often severe, whereas clinical illness due to H canis is much less serious. Malaise, pyrexia, anemia, myalgia, mucopurulent ocular discharge, and weakness that are nonresponsive to treatment, along with marked neutrophilic leukocytosis (leukocyte count, 20,000–200,000 cells/mm3), periosteal bone proliferation, and muscle atrophy, strongly suggest ACH.

Diagnosis & Treatment

Muscle biopsy, blood smear examination, or polymerase chain reaction testing of blood are used to diagnose H americanum infection while blood smear examination is used to diagnose H canis infection. Current therapies result in clinical remission but are not curative.

View the Canine Hepatozoonosis: Hepatozoon americanum vs Hepatozoon canis handout detailing the differences between these 2 infections.

ACH = American canine hepatozoonosis