Boid Inclusion Body Disease

Adolf K. Maas, III, DVM, DABVP (Reptile & Amphibian), CertAqV, ZooVet Consulting, Bothell, Washington

ArticleLast Updated August 20172 min read

In the Literature

Chang L, Fu D, Stenglein MD, Hernandez JA, DeRisi JL, Jacobson ER. Detection and prevalence of boid inclusion body disease in collections of boas and pythons using immunological assays. Vet J. 2016;218:13-18.


The Research …

Diagnosing boid inclusion body disease can be a challenge for reptile practitioners, and few diagnostic solutions are available. For decades,1 boid inclusion body disease has been encountered and described, with no definite conclusions about its cause. The causative agent was isolated in the past few years, concordant with identification of the genus Reptarenavirus, resulting in an understanding of boid inclusion body disease epidemiology.

Many reports have listed species believed to be susceptible to boid inclusion body disease,2 but without an accurate and sensitive ante mortem test, a good prevalence assessment was not possible. In this study, a validated monoclonal antibody3 to a previously identified antigenic reptarenavirus nucleoprotein was used to develop a reliable immunohistochemistry test, which was performed on blood samples of 131 snakes encompassing 8 species from 28 collections.

selected slide image
1 / 4

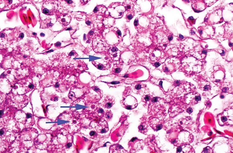
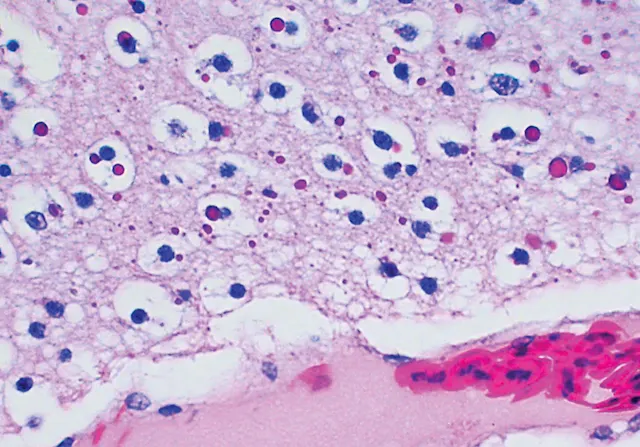
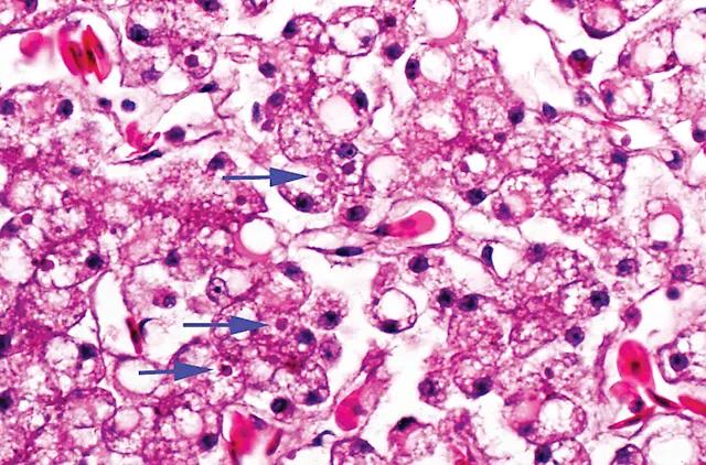
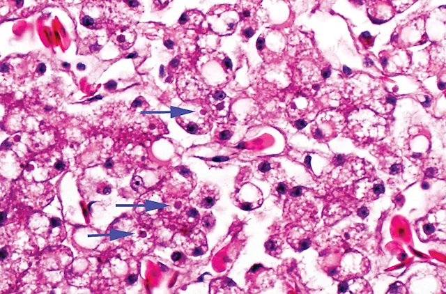
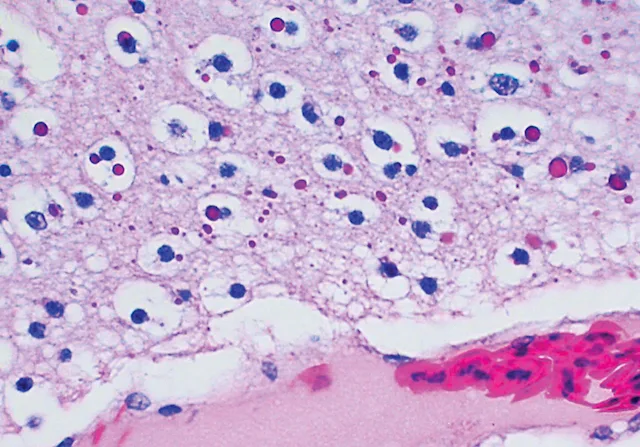
Figure 1 Argentine boa (Boa constrictor occidentalis) with boid inclusion body disease viral infection. This patient was presented for intermittent anorexia and diarrhea, weight loss, and a recurrent respiratory condition.

Nineteen percent of snakes were positive for nucleoprotein; 41.5% of those were boa constrictors, of which 87% were subclinically affected. The remainder showed clinical signs indicating chronic illnesses, but none had indications of CNS disease, often considered the hallmark of boid inclusion body disease.2

Chronic recurrent disease and diseases not resolving with therapy are the most common presenting signs in boid inclusion body disease cases. This study exemplified the need to pursue appropriate diagnostics and provided a viable option, particularly for cases in which routine diagnostics and therapies are unsuccessful. 

It is likely that the spread of boid inclusion body disease is far wider than anecdotally believed, and only through accurate diagnosis can it be controlled.


… The Takeaways

Key pearls to put into practice:

  • Boid inclusion body disease is not limited to boa constrictors. Based on current knowledge, many snake species are likely susceptible. Animals in mixed collections, especially those containing boa constrictors, are likely at higher risk.

  • The most common presentation is that of a seemingly healthy animal. Because there is some indication that the disease may be spread both horizontally (eg, via mites, direct contact, breeding, or fomites) and vertically, no snake is considered immune.

  • Any snake with chronic health conditions should be considered for testing. It is likely that this virus suppresses the host’s ability to defend against opportunistic conditions. Testing information is available from the University of Florida College of Veterinary Medicine Diagnostic Laboratories.