Bite Wounds in Dogs

Jonathan Miller, DVM, MS, DACVS (Small Animal), Eclipse Specialty & Emergency Pet Care, Whippany, New Jersey

ArticleLast Updated September 20212 min readPeer ReviewedWeb-Exclusive
An x-ray of dog’s neck area with patches of radiolucent air in the soft tissue and in the cranial mediastinum.

Bite wound injuries in dogs can range from superficial abrasions to life-threatening tissue trauma,1 and wound management can vary from a simple clip-and-clean procedure to emergency surgery. Wound healing is not static, and treatment required on day 1 can change dramatically by day 7. Dog bite wounds usually have 2 entry points inflicted by the maxillary and mandibular teeth; therefore, whole-body examination, including hair removal of the affected areas, copious wound lavage with a sterile balanced solution (eg, lactated Ringer’s solution), and wound depth assessment, should be performed. Large wounds with significant contamination and no body cavity entry points may benefit from the larger volumes of flush allowed with tap water lavage. Sedation or anesthesia may be required. Even a small skin wound can hide significant deep tissue trauma (ie, the iceberg effect). In addition, because of the delayed effects of initial vascular damage, the full extent of tissue loss may not be appreciated for up to 7 to 10 days.2 

Radiography should be conducted for wounds overlying the thorax or abdomen to look for intracavitary air that may warrant exploratory surgery. Thoracic radiographs should be evaluated for fluid outside the lungs (eg, hemothorax), pneumothorax, and/or rib fractures.3 Abdominal radiographs should be assessed for pneumoperitoneum. Areas between the stomach and diaphragm and ventral to the hypaxial muscles of the spine are common locations for detection of small amounts of air. Free air in the abdomen is a direct indication that emergency surgery is needed.

selected slide image

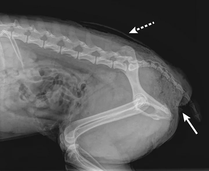
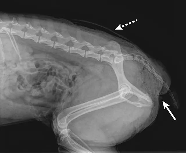
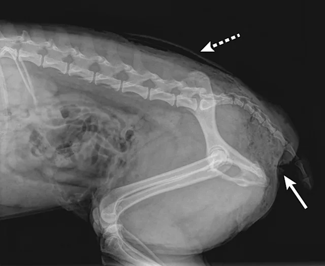
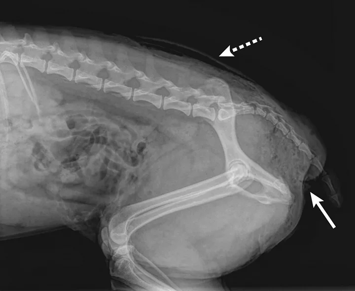
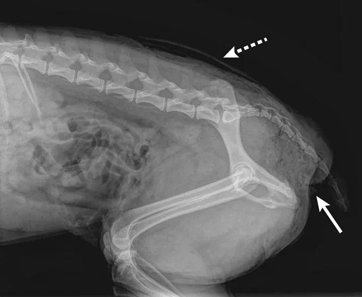
FIGURE 1

1 / 10
FIGURE 1

Perineal subcutaneous emphysema (solid arrow). Bites near the tail should be inspected for nerve injury and rectoanal damage. Subcutaneous emphysema can also be seen in the dorsocaudal area (dashed arrow).