Acute Respiratory Distress Syndrome in Dogs & Cats
Amanda A. Cavanagh, DVM, DACVECC, Colorado State University

In the Literature
Boiron L, Hopper K, Borchers A. Risk factors, characteristics, and outcomes of acute respiratory distress syndrome in dogs and cats: 54 cases. J Vet Emerg Crit Care (San Antonio). 2019;29(2):173-179.
The Research …
Acute respiratory distress syndrome (ARDS) is a diffuse inflammatory lung injury that causes hypoxemia and often leads to death, even with intensive therapy. ARDS can be triggered by a primary lung problem (eg, pneumonia) or a systemic problem (eg, sepsis, trauma). Respiratory failure can also be accompanied by multiorgan dysfunction syndrome.
Five clinical criteria are used to diagnose ARDS in small animals; 4 of 5 must be met for a diagnosis1:
Acute onset (<72 hours) of respiratory distress
Presence of known risk factors (see Risk Factors for Acute Respiratory Distress Syndrome)
Evidence of pulmonary capillary leak not due to heart failure or fluid overload (ie, bilateral, diffuse pulmonary infiltrates on thoracic radiographs or CT images)
Hypoxemia and impaired gas exchange (partial pressure of oxygen in the arteries [PaO2]:fraction of supplemental oxygen [FiO2] ratio ≤200 is indicative of ARDS)
Evidence of diffuse pulmonary inflammation in an airway sample (predominance of neutrophils and high-protein fluid)
RISK FACTORS FOR ACUTE RESPIRATORY DISTRESS SYNDROME1
Inflammation
Infection
Sepsis
SIRS
Severe trauma
Multiple blood transfusions
Smoke inhalation
Drowning or submersion injury
Aspiration of gastric contents
Drug overdoses, toxins, and toxic gases
There is no definitive treatment for ARDS. Precipitating causes should be aggressively addressed. Therapy should focus on respiratory support; most patients require prolonged mechanical ventilation. In addition, judicious fluid therapy to prevent volume overload and use of low tidal volumes during mechanical ventilation can help improve outcomes.2
In this study, medical records of 46 dogs and 8 cats were retrospectively evaluated to determine risk factors for ARDS development and patient outcomes. The most common risk factor identified in dogs was aspiration pneumonia, whereas systemic inflammatory response syndrome (SIRS) with or without apparent sepsis was most commonly identified in cats. Mechanical ventilation was recommended in 86% of patients; ventilation was not recommended in the remaining 14% of patients due to futile prognosis. The overall mortality rate was high (dogs, 84%; cats, 100%); however, many patients were euthanized shortly after diagnosis, potentially due to the financial burden associated with treating this syndrome.
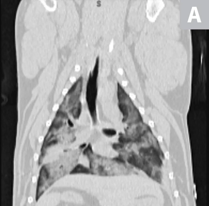
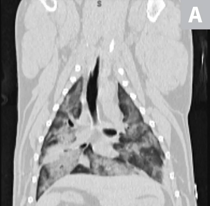
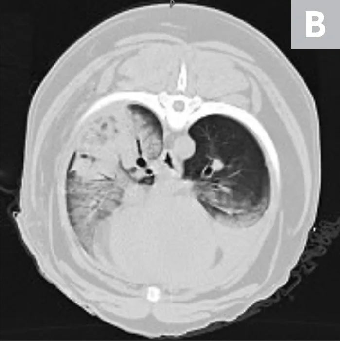
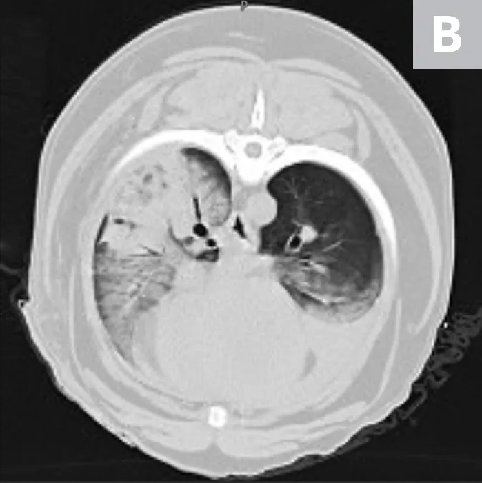
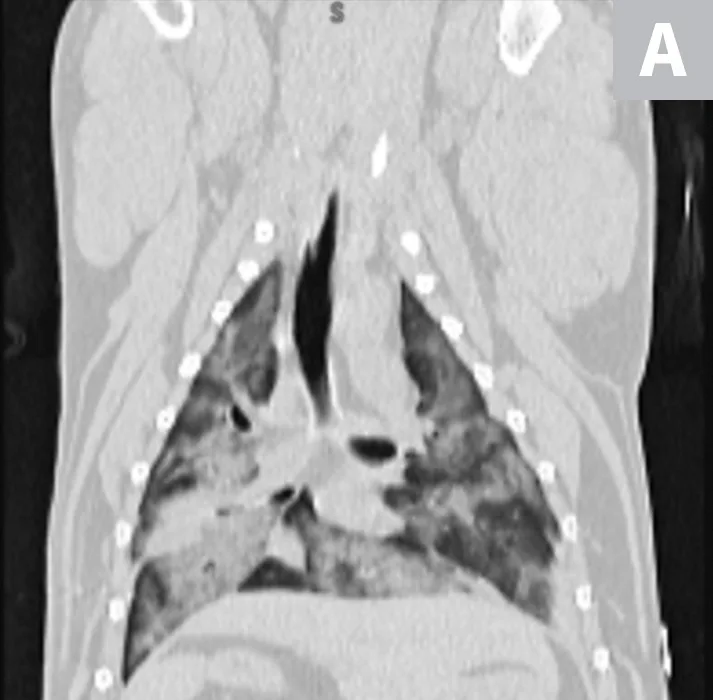
Thoracic CT images of bilateral, diffuse pulmonary infiltrates in a patient with severe trauma secondary to a gunshot wound sustained 24 hours prior to presentation. This patient met 4 criteria for a diagnosis of ARDS (ie, acute onset of respiratory distress, hypoxemia, bilateral diffuse pulmonary infiltrates, known risk factor for trauma).
… The Takeaways
Key pearls to put into practice:
Patients with suspected ARDS will be oxygen dependent. PaO2:FiO2 ratio should be used to diagnose hypoxemia in a patient receiving supplemental oxygen. When arterial blood gas measurement is obtained, PaO2 should be divided by FiO2. For example, a patient receiving 40% oxygen in an enclosure would have an FiO2 of 0.4. A PaO2:FiO2 ratio ≤300 is suggestive of acute lung injury or a milder form of ARDS; ≤200 is suggestive of ARDS and severe lung injury.2
Aspiration pneumonia in dogs and SIRS in cats are the most common risk factors contributing to the development of ARDS.
Mechanical ventilation is an essential component of treatment of ARDS, which still carries a grave prognosis despite aggressive care.
You are reading 2-Minute Takeaways, a research summary resource presented by Clinician’s Brief. Clinician’s Brief does not conduct primary research.