Acute Lameness in a Pointer

Kristyn D. Broaddus, DVM, MS, DACVS, Veterinary Services of Hanover, Mechanicsville, Virginia

ArticleLast Updated March 20222 min readPeer Reviewed
A Dalmatian looking into the camera.

Mable, a 3-year-old spayed pointer, is presented with acute right pelvic limb lameness (right pelvic limb is non-weight–bearing) of 2 days’ duration. She has no history of previous lameness. Her owner reports she had been standing on top of her doghouse (≈4.5 ft off the ground) on the day she was injured.

History

Mable has congenital deafness but is otherwise healthy. Her BCS is 4/9. She was spayed at 6 months of age without complication. She receives routine flea, tick, and heartworm preventives. One other dog also lives in the household; both dogs are fed a commercially prepared raw diet. Mable’s owner reports she is a high-energy dog that performs in agility competitions and has traveled throughout the southeastern coastal part of the United States.

Physical Examination

On physical examination, Mable is tachycardic (180 bpm) and panting. Her temperature is 103.1°F (39.5°C). When she occasionally places the affected limb on the ground, she has a plantigrade stance. Mable is sedated due to her high stress level. 

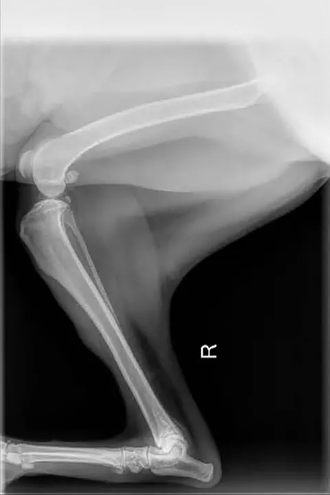
Pain is isolated to the hock region, and hyperflexion of the tarsus independent of the stifle is easily appreciated (Figure 1). During manual flexion of the tarsus, a crab claw appearance of the paw is noted. Diameter of the right Achilles tendon (ie, calcaneal tendon) is reduced by 25% relative to the left side. A firm knot is palpated deep in the gastrocnemius muscle bellies, a faint bruise is noted over the swelling on the caudal aspect of the thigh, and a 2-cm laceration is seen over the lateral aspect of the distal tibia (Figures 2 and 3). Radiographs of the right pelvic limb do not indicate fractures or luxations (Figure 4).

selected slide image

FIGURE 1

1 / 4
FIGURE 1

Lateral view in which increased flexion of the tarsus independent of the stifle can be seen. The stifle is extended to compensate for loss of functional limb length.

How would you diagnose and treat this patient?

Treatment & Outcome

Surgery was performed to repair the full Achilles tendon rupture. The primary repair involved suturing the tendon ends to the calcaneus bone using bone tunnels and a 3-loop pulley with 0 polypropylene. Polypropylene mesh was used as additional reinforcement to reconstruct the Achilles tendon and its components (Figures 5 and 6). 

External coaptation was provided via a cast that was transitioned to a caudal splint after 4 weeks. At 8 weeks, the splint was transitioned to a soft bandage. All bandages (ie, cast, splint, soft) were changed weekly. At 10 weeks, all external support was removed, and Mable’s activity was restricted for an additional 4 weeks. At her 16-week follow-up, Mable had a normal gait and stance.

selected slide image

FIGURE 5

1 / 2
FIGURE 5

Intraoperative view of the gastrocnemius tendons (2) that are torn and retracted into the muscle bellies