Acute Facial Swelling Due to Periapical Abscess

ArticleLast Updated January 20097 min readPeer Reviewed

Profile

DefinitionAcute facial swelling from a tooth root abscess (periapical abscess) occurs as a consequence of chronic untreated endodontic (pulp) disease. It is generally a sequela of pulp death and necrosis. The abscess surrounding the tooth apex extends into the surrounding soft tissues and a fenestration in the alveolar/buccal bone develops, leading to facial swelling and cellulitis as the infection and associated inflammation spread.

In dogs, the teeth most commonly associated with facial swelling when a periapical abscess occurs are the maxillary 4th premolar, maxillary molars, and canine teeth. In cats, the most likely tooth to cause facial swelling is the maxillary canine tooth.

Fractured Upper Canine Tooth

CausesThe most common cause of a tooth abscess is pulp exposure or trauma resulting in chronic pulp infection/inflammation or pulp necrosis. A less common cause is extension of periodontal infection to the pulp.

Risk FactorsRisk factors include:• Crown fractures that expose the pulp• Anomalous teeth that have a communication between the oral environment and the pulp tissue• Severe concussive forces that result in irreversible pulpitis or pulp necrosis• Dental caries with pulp involvement• Severe periodontitis that extends to a vascular communication between the periodontal ligament space and pulp.

To Extract or Not to Extract

PathophysiologyBacterial and inflammatory mediators extend from the pulp cavity though the periapical delta or, less commonly, a lateral canal, and result in periapical periodontitis (inflammation of the periodontal ligament). If left untreated, the bacterial and inflammatory mediators will result in extension of periapical periodontitis, causing bone resorption and abscess formation in the periapical alveolar bone. The infection may extend along the path of least resistance to exit through a fistula externally (on the face) or intraorally, close to the mucogingival line.

Tooth Extraction

Signs

History. Possible indications that a pet may have a periapical abscess include:• Slight facial swelling that has slowly or acutely progressed to severe facial swelling• Swelling that responded to antibiotic therapy but has returned after therapy was discontinued• Tooth trauma or fracture• Pet's reluctance to chew on particular side of the mouth (if premolar or molar is affected)• Pet's reluctance to pick up toys or other items (if canine tooth is affected).

Acute severe enlargement can occur overnight, often leading the owner to suspect an insect bite or allergic reaction.

A close-up view of a dog's face showing a fresh, sutured wound on the cheek, with some blood visible around the edges. The dog's eye appears alert and focused, indicating a potential response to the injury.

Physical Examination. Facial swelling from an upper 4th premolar occurs below and slightly in front of the medial canthus (Figure 1, right. View larger image).

Facial swelling from a periapical abscess of the 1st or 2nd molar may occur around the eye, below and behind the eye, or be primarily retrobulbar. Physical examination of dogs with retrobulbar abscesses usually reveals severe pain when opening the mouth, and often the eye on the affected side does not retropulse normally.

A close-up view of a black Labrador retriever with a noticeable eye condition, showing a cloudy cornea in the right eye and slight swelling around the eyelid. The dog is lying on a light-colored surface, with a blue leash visible in the foreground.

Facial swelling from an abscessed canine tooth is on or close to the bridge of the nose on the side of the affected tooth (Figure 2, left. View larger image).

On oral examination, the involved tooth may appear normal, have a crown fracture with or without an obvious pulp exposure, be discolored (usually a dark grey/blue), or have excessive calculus accumulation relative to the other teeth.

Pain IndexDiscomfort can range from mild to severe, depending on the extent of swelling and pressure on local tissues.

Diagnosis

A dental radiograph shows the lower jaw of a canine, highlighting the roots of the molars and premolars with clear delineation of surrounding bone structure. The image reveals potential signs of periodontal disease, including bone loss around the teeth.

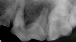
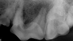
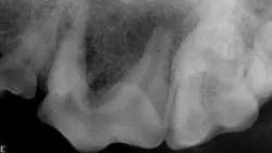
Definitive DiagnosisDental radiographs are obtained to determine or verify which tooth is affected. The affected tooth root will have a periapical lucency around the apex (Figures 3 through 5. View larger image), indicating bone loss.

A radiograph shows the lateral view of a dog's thoracic spine, highlighting the vertebrae and intervertebral discs. The image reveals potential abnormalities, such as disc herniation or spinal malformation, relevant for veterinary assessment.

Multiple views may be required to confirm which tooth is involved, especially when trying to distinguish between an infected maxillary 4th premolar and 1st molar.

Featured Image

Differential DiagnosisAcute facial swelling in a location typical for a tooth root abscess should be considered an abscess until proven otherwise. Neoplasia extending into the retrobulbar area typically does not present as acute swelling.

Treatment

Medical (see also Medications)Acute emergency treatment consists of pain management and antibiotics if necessary. Surgery is required for definitive treatment. Antibiotic therapy should be only short term (while the patient is awaiting surgery) to prevent predisposing to bacterial resistance.

SurgicalSurgical treatment options are extraction or root canal treatment. Canine teeth and maxillary 4th premolars are good candidates for root canal treatment. After extraction, the patient should not receive hard treats or toys and should avoid rough mouth play for 2 weeks.

No Tooth, No Problem...Really?

Nutritional AspectsDue to possible discomfort while eating, soft foods should be fed until the tooth can be treated. After endodontic therapy, the patient can return to a normal diet. After extraction, the patient should receive only soft food for an additional 10 to 14 days to protect the surgery site and sutures.

Client EducationClients should be educated about which items are safe for their pets to chew and which are likely to fracture a tooth when a dog bites it with enough force. Hard, flat items (eg, hooves, bones), including many that are sold as dental care products, are the most hazardous. Any item that cannot be bent, indented with a fingernail, or easily broken by hand may fracture a tooth.

Medications

DrugsAfter extraction or root canal therapy, an antibiotic (eg, amoxicillin-clavulanate or clindamycin) should be prescribed for 7 to 10 days. Pain management should include both preemptive (eg, morphine, ketamine delivered via constant rate infusion) and postoperative (eg, tramadol, nonsteroidal antiinflammatory drug of choice, buprenorphine) strategies.

ContraindicationsPreoperative aspirin may increase bleeding and should be avoided.

PrecautionsLong-term or repeated antibiotic therapy without surgery may resolve swelling and clinical signs temporarily, but these signs will eventually return. Teeth that have been fractured and left untreated for months can become poor candidates for root canal treatment because of root resorption, making extraction the only treatment option.

Follow-Up

Patient MonitoringRoot canal treatment: There is no immediate follow-up care. Normal diet and activity can resume immediately.Extraction: A recheck of the extraction site should show excellent healing after 2 weeks.

PreventionAvoiding dental trauma and severe periodontitis will prevent endodontic disease and, subsequently, dental abscess. Oral/dental examinations by the owner during daily brushing, owner education, annual veterinary oral and dental examinations, and veterinarian awareness of the causes and signs of endodontic disease can all help prevent and detect problems.

ComplicationsConditions that can complicate root canal treatment include chronic inflammation that has damaged the root tip, internal or external root resorption, mechanical obstructions impeding navigation and treatment of the canals, complex endodontic anatomy, immature teeth with very large root canals, geriatric teeth with extremely narrow root canals, and vertical root fractures.

Potential complications of root canal treatment include failure to resolve the infection, instrument failure, root perforation, and inoculation of the periodontal tissues with materials that are extruded past the root apex.

Conditions that can complicate extraction include root fractures, root ankylosis in geriatric patients, and compromised supportive tissues that are easily damaged.

Potential complications of extractions include retained, infected root tips and damage to adjacent structures (punctured globe, fractured mandible, damaged vasculature).

CourseWith treatment, swelling usually resolves in 7 to 10 days.

At-Home TreatmentAdministration of antibiotics and pain medications if the tooth was extracted are the only treatment required at home.

Future Follow-UpRoot Canal Treatment: A dental radiograph should be obtained 1 year after treatment to evaluate healing of the periapical bone. Additional radiographs every 2 to 3 years are recommended. Any return of previous clinical signs (eg, swelling, favoring the affected side during eating, increased calculus on that side) is an indication for a radiograph regardless of the time since the procedure.

Extraction: There should be no need for long-term follow-up if the procedure was performed atraumatically and all root fragments were removed.

In GeneralRelative Cost• Diagnosis and extraction (including pain management and anesthesia-related fees) $$• Diagnosis and root canal treatment (including pain management and anesthesia-related fees) $$$• Follow-up radiographs (including anesthesia-related fees) after root canal $$PrognosisThe prognosis after extraction is excellent. Prognosis after root canal treatment is also excellent in the absence of the complicating factors described earlier. Prognosis decreases by varying degrees depending on the presence of complicating factors.

Future ConsiderationsRoot canal treatment continues to become more and more predictable with the use of modern materials and instruments. The field of endodontics is rapidly changing, making it a more requested treatment option to return diseased teeth to function and health. As more veterinary practices offer dental radiography, clients and patients are given the option of in-house diagnosis and treatment.

TX at a glance

•Amoxicillin-clavulanate or clindamycin if there is marked swelling or discomfort and surgery cannot be performed for a few days•Surgical extraction (with curettage and flush, followed by primary closure) or root canal treatment

•Either procedure should include postoperative antibiotic therapy for 7 to 10 days.