Chronic Feline Keratitis
David J. Maggs, BVSc (Hons), DACVO, University of California, Davis

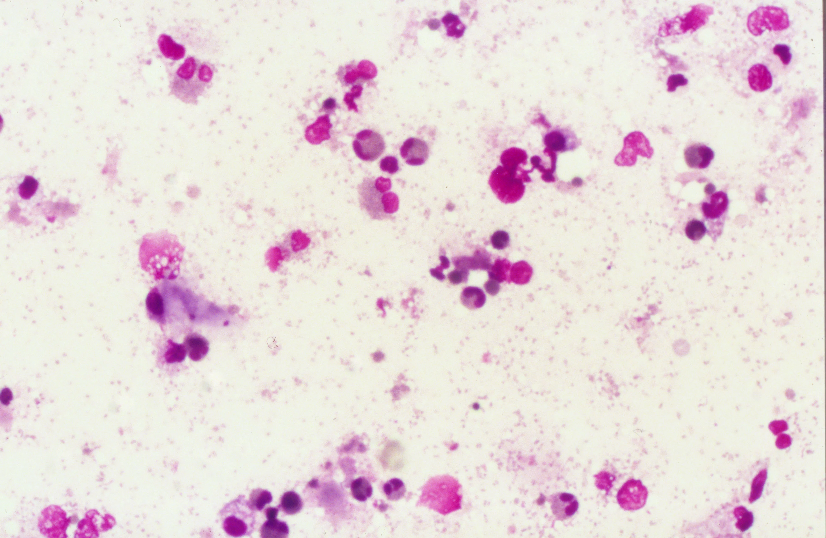
Initial smear from material scraped from the cornea of a cat with chronic unilateral keratitis; Romanowsky’s stain
A 7-year-old, neutered female domestic shorthair cat was presented with a "cloudy" left eye.
History
The cat was rescued as a stray kitten. The owner noted slowly progressive "cloudiness" of the left cornea over the past 4 weeks. The cat occasionally squinted the left eye (OS) but did not appear markedly in pain. There was occasionally a small amount of seromucoid discharge OS.
Physical Examination
The cat was bright, responsive, and had a normal body temperature, pulse, and respiratory rate. Direct and consensual pupillary light reflexes were brisk and complete in each eye (OU) with no anisocoria noted. Menace responses and dazzle and palpebral reflexes were present and complete OU. The patient behaved as if sighted. No abnormality was detected in the right eye. Examination OS revealed normal lids with mild conjunctival hyperemia. The cornea had a "frosty" appearance, an irregular surface, and an axial ulcer with about 20% stromal loss. There was diffuse corneal edema, coalescing pink anterior stromal plaques, and superficial corneal blood vessels. No lens or iris abnormalities were noted, aqueous flare was not present, and the fundus was normal. Intraocular pressures were normal OU.
Laboratory Analysis
Prior to application of fluorescein stain, a corneal scraping was performed OS and stained with Romanowsky's stain. A smear from the initial surface scraping is shown in Figure 1; a second smear taken from the same site is shown in Figure 2.

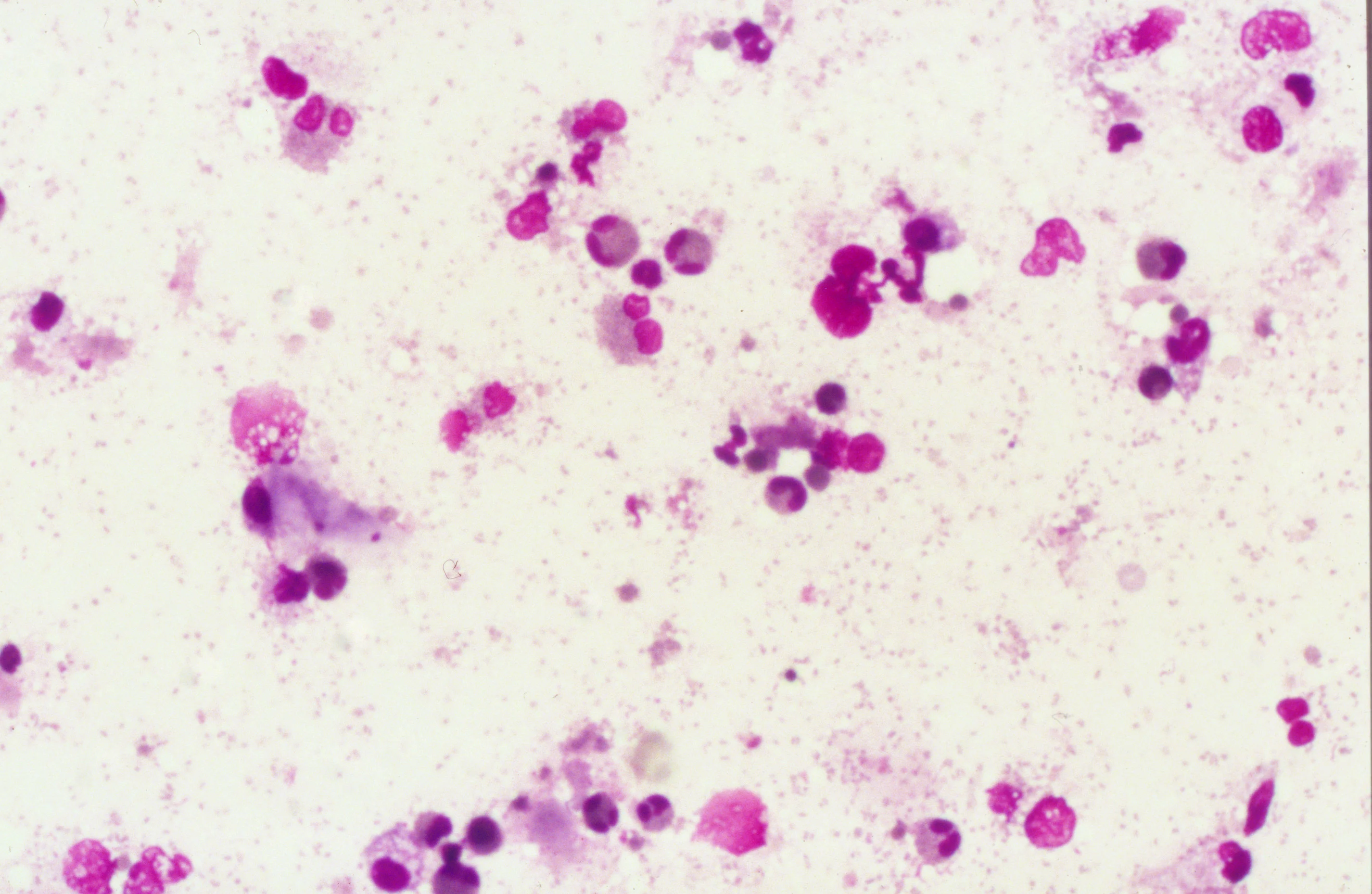
Second smear from material scraped from the cornea of a cat with chronic unilateral keratitis; Romanowsky’s stain
Ask Yourself...
What cell types are present in the two cytologic samples shown?
Why does the cytologic appearance of the two scraping samples differ?
What is the most likely cytologic diagnosis?
What is the best technique for obtaining corneal samples for cytologic assessment?
Diagnosis:
Feline eosinophilic keratitis
The cytologic appearance in Figure 2 is classic for feline eosinophilic keratitis (FEK). Clinically, FEK appears as focal to coalescing, raised, pink to white, opaque, and finely granular plaques on the cornea (Figure 3). These are often vascularized and can resemble granulation tissue.

Left eye of a 7-year-old cat with chronic keratitis from which the cytologic specimens in Figures 1 and 2 were obtained. Note the generalized irregular surface of the cornea with an axial stromal ulcer (black arrow). The corneal discoloration is due to mild diffuse corneal edema, anterior stromal plaques (white arrow), and superficial corneal blood vessels.
This appearance sometimes leads to the misdiagnosis of healing corneal injuries. Initially, the lateral cornea is typically involved, but in advanced cases, the entire cornea may be involved. All lesions involve the limbus to some degree. Adjacent areas of corneal ulceration are also possible, in which case most cats appear to be experiencing pain. Otherwise, this disease elicits less blepharospasm than might be expected from the degree of corneal involvement. The disease may affect one or both eyes and can sometimes involve conjunctiva and/or eyelids but typically is not associated with other eosinophilic disease or with circulating eosinophilia. The cause is undetermined; however, feline herpesvirus DNA can be detected in corneal samples from approximately 75% of cats with FEK. Although the clinical appearance is relatively characteristic, accurate diagnosis requires cytologic confirmation.
Cytologic Assessment
All plaque-like lesions on the cornea or conjunctiva should be sampled for cytologic assessment. Many practitioners hesitate to do this because of concerns regarding corneal fragility and risk of globe rupture. Such fears are unfounded since the cornea is an extremely rigid collagenous structure which tolerates diagnostic surface scraping well. Sample collection requires administration of topical anesthetic and adequate physical or chemical restraint. Corneal anesthesia can rapidly be achieved by applying 1 drop of a topical anesthetic (proparacaine). Samples should be collected before performing any procedure that could alter or affect the microorganisms present, especially application of fluorescein or rose bengal stain.
Did You Answer...
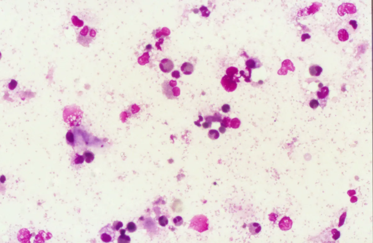
Figure 1 demonstrates an almost purely neutrophilic smear (black arrowhead) along with some corneal epithelial cells (arrow) and amorphous material (red arrowhead) from cells damaged during collection or processing. There are also some neutrophils present in Figure 2, but eosinophils now dominate the scraping (arrow) with manyhaving ruptured to produce a background of eosinophilic granules.
Cytologic appearance of the two smears differs because the first represents superficial, and often secondary, surface contaminants and host responses to the underlying eosinophilic plaque that exfoliated the cells evident in the deeper scraping shown in Figure 2.
The most likely cytologic diagnosis is feline eosinophilic keratitis (FEK).
Corneal cytologic samples are best collected by scraping a topically anesthetized cornea using a Kimura platinum spatula or the blunt end of a scalpel blade (Figure 4). Harvested cells are gently spread onto a clean dry microscope slide and air dried.
Collection Methods
Corneal samples are best collected using a Kimura platinum spatula or the blunt end of a scalpel blade (Figure 4) with the hand holding the instrument resting against the animal. A brisk scraping movement with pressure sufficient to abrade cells is used; cells are then gently spread onto a clean, dry microscope slide for cytologic assessment. Samples for cytologic assessment may also be collected using small, nylon-bristled, gynecologic cytobrushes; however, they tend to be less cellular than those acquired by scraping. Samples collected with a swab maintain high cellular integrity, but the number of cells collected is also typically too small for complete cytologic assessment. Impression cytology relies on cells that exfoliate easily and is rarely used.

Corneal scraping being performed using the blunt end of a sterile Bard Parker scalpel blade (Becton, Dickinson and Company; www.bd.com.). Note that the operator’s hand is resting on the patient’s head.
Cytologic Samples from Cats with FEK
Cytologic samples from cats with FEK are dominated by eosinophils and mast cells, along with neutrophils, lymphocytes, and corneal epithelial cells that may be hyperplastic or dysplastic. Ruptured eosinophils produce a coarse background of eosinophilic granules and nuclear debris. In one study, coincident cytologic and histologic examination of 9 cats (10 samples) permitted better characterization of the distribution of cells in FEK.1 The lesion surface was composed of hypertrophic and hyperplastic corneal epithelium overlaid by nuclear debris and amorphous material. The underlying stroma was infiltrated with numerous eosinophils, plasma cells, and mast cells, along with infrequent neutrophils, lymphocytes, and macrophages. This composition may help explain cytologic findings.
Samples Without Eosinophils
Failure to find eosinophils in samples collected by scraping has led to the suggestion that some cases are not eosinophilic and that this condition should be called "feline proliferative keratoconjunctivitis." However, most cats with this alternative cytologic appearance improve with the same therapy used for FEK, suggesting that this may be the same syndrome with cytologic appearance simply dependent on the tissue depth at which the scraping is performed.