Vulvar Discharge in a Puppy

Autumn P. Davidson, DVM, MS, DACVIM, University of California, Davis

ArticleLast Updated February 20142 min readPeer Reviewed
A close-up view of a dog's neck area, featuring light brown fur with a few darker strands, highlighting the skin beneath. The image focuses on the texture of the fur and the underlying skin, suggesting a potential area for examination or grooming.
FIGURE 1

At examination, a tan mucoid vulvar discharge was noted, along with matted fur in the peri­vulvar area.

An apparently healthy Labrador retriever puppy presented with a mucoid vulvar discharge.

History

The owners reported that the patient, an intact female 8 weeks of age, was mostly housebroken, but they were uncertain if her urinary behaviors were abnormal, as the puppy would urinate outdoors and then again in the house. The patient had been acquired a week previously and had received a single DA2PP vaccination; she received no medications.

Physical Examination

The puppy appeared normal at presentation (101.2°F, heart rate 130 bpm, panting respiratory rate). Tan mucoid vulvar discharge and some matted fur were evident in the perivulvar area. Perivulvar dermatitis was not apparent (Figure 1, above). Urination was observed and appeared normal. There was no evidence of pollakiuria, dysuria, stranguria, or gross hematuria.

Laboratory Diagnostics

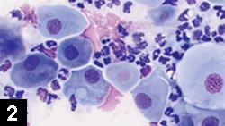
Urine (obtained via cystocentesis) was submitted for urinalysis and urine culture pending evidence of cystitis on sediment examination. Urine-specific gravity was 1.023, urine sediment was benign, and culture was not indicated nor submitted. Cytology of the vulvar discharge was suppurative, revealing numerous nondegenerate neutrophils (Figure 2).

A microscopic view of various cells, including some with prominent nuclei and cytoplasmic granules, displayed in a stained preparation. The image highlights cellular details relevant for veterinary pathology analysis.
Figure 2

Cytology of vulvar discharge was suppurative with numerous nondegenerate neutrophils. (Modified Wright stain; 40× original magnification)

Diagnosis

Puppy Vaginitis

Causes

The cause of puppy vaginitis is currently unknown, although an imbalance of juvenile vaginal glandular epithelium is postulated. The condition can resolve at puberty or after ovariohysterectomy, but both represent different endocrine-mediated events and neither is likely to result in resolution. Puppy vaginitis, however, does diminish with maturity.

The term puppy vaginitis is a misnomer, as it is asymptomatic and not an inflammatory process causing clinical signs.

Presentation

The discharge, usually white to yellow or green and sometimes copious, can be accompanied by mild perivulvar dermatitis. Typically, a puppy is not attentive to the discharge, and although no associated change in urinary behavior (eg, dysuria, stranguria, pollakiuria) was reported in this case, clients often have difficulty deciding whether a puppy with vaginitis is exhibiting normal urinary behavior. Age of onset ranges from 6 weeks to puberty; the duration ranges from days to months and is often intermittent.

Treatment

Cleansing the perivulvar area with a gentle solution (eg, non­alcoholic otic preparation) or gentle wipes (eg, baby wipes) to prevent accumulation of discharge was advised. Adding a probiotic such as Enterococcus faecium (eg, FortiFlora, purinaveterinarydiets.com) may be beneficial.

Outcome

The discharge resolved with time.