Suture Anchors: A Practical Approach to Stabilizing Joints

ArticleLast Updated June 20067 min readPeer Reviewed

Click on the PDF icon above to download the printed version with full illustrations and diagrams.

An 11-year-old, 33-kg, spayed female greyhound was presented with acute-onset hindlimb lameness.

History. Left hindlimb lameness was noticed by the owner the evening before presentation. No trauma was observed, but the dog had been outside, unsupervised in a fenced yard. She was temporarily stabilized with a soft, padded bandage at an emergency clinic and was referred for evaluation and definitive treatment the following morning.

Physical Examination. Left hindlimb, non-weight-bearing lameness was observed. The patient was sedated with acepromazine and butorphanol, and the bandage was removed. The left tarsus was externally rotated and deviated laterally. No open wounds were present. Complete dislocation and marked medial and lateral instability of the tibiotarsal joint could be palpated. Physical examination was otherwise unremarkable.

Laboratory Results. Thoracic radiographs, CBC, serum chemistry profile, and urinalysis were within normal limits.

Radiographs. Caudolateral dislocation of the left tibiotarsal joint (Figure A) and fracture of the lateral malleolus of the left fibula (Figure B) were observed.

Featured Image

Diagnosis. Dislocation of the left tibiotarsal joint with a complete tear of the medial collateral ligament and a lateral malleolus fracture

Ask Yourself ...Which of the following is the optimal therapeutic plan?A. Closed reduction and treatment with a transarticular external fixatorB. Closed reduction and treatment with a lateral fiberglass splintC. Open reduction and joint stabilization with a transarticular pinD. Open reduction, suture of torn medial collateral ligament, repair of lateral malleolus fracture using pin and tension-band wire fixationE. Open reduction, reconstruction of medial collateral ligament, repair of lateral malleolus fracture using pin and tension-band wire fixation, and placement of an external fixator

Correct Answer: E

Open reduction, reconstruction of medial collateral ligament, repair of lateral malleolus fracture using pin and tension-band wire fixation, and placement of an external fixator

This dog had injuries that resulted in both medial and lateral instability of the joint. (Figure C; MCL = medial collateral ligament, LM = lateral malleolus). Note the damage to the articular surface of the distal tibia. The therapeutic goal is to ensure long-term stability of the joint to decrease the risk for osteoarthritis.

Featured Image

Closed reduction and stabilization with a transarticular external fixator may produce a good functional result; however, premature loosening of fixator pins may cause instability and revision may be needed. In addition, this type of injury may have concomitant chip fractures of the joint surface that may not be identified on preoperative radiographs but can be identified and treated once arthrotomy is performed. Primary repair of the medial collateral ligament can be performed, but the suture-holding ability of the tissue is poor and insufficient to provide lasting stability. Due to the severity of instability and the time required for healing (3 to 4 months), a lateral fiberglass splint would be impractical and would probably lead to bandage sores, especially in a greyhound.

The patient was treated with reconstruction of the medial collateral ligament along with pin and tension-band wire repair of the lateral malleolus. The medial collateral ligament comprises a short, oblique component and a long, straight component-the torn ends of the long, straight component were sutured by using 2-0 PDS with a locking loop pattern, after which the ligament was augmented with a prosthetic medial collateral ligament.

The Repair ProcedureThe short, oblique component was reconstructed by using a no. 5 BoneBiter suture anchor (Innovative Animal Products, www.innovativeanimalproducts.com), a Flexi-twist suture anchor (Innovative Animal Products), and a figure-of-eight strand of no. 5 Fiberwire suture (Arthrex, www.arthrex.com). The BoneBiter suture anchor, preloaded with the Fiberwire, was placed at the insertion of the ligament on the body of the talus (Figure 1).

A bone tunnel was drilled through the medial malleolus to allow the ligament to maintain a normal course (Figure 2; MM = medial malleolus), and the suture was directed through the bone tunnel in the medial malleolus (Figure 3). The Flexi-twist suture anchor was placed in the distal tibia at the origin of the ligament, and the suture was tightened and secured (Figure 4). The long, straight component of the ligament was reconstructed by using two Flexi-twist suture anchors and a figure-of-eight strand of no. 5 Fiberwire. The suture anchors were placed in the distal tibia at the origin of the ligament and in the distal talus at the insertion of the ligament (Figure 5; A = insertion of long component of the ligament, B = the reconstructed short component, C = open joint capsule [** = edge of open joint capsule]).

Featured Image

The joint capsule was closed with 2-0 PDS before reconstruction of the long component of the ligament (Figure 6; A = 2-0 PDS). Figure 7 shows the Flexi-twist suture anchor that was placed at the origin of the long component of the ligament (A) in the medial malleolus of the tibia; the previously placed anchor at the insertion of the long component of the MCL (B) can be seen, and a strand of no. 5 Fiberwire suture was placed in figure-of-eight fashion between the suture anchors.

The lateral malleolus of the fibula was reduced and stabilized with two 0.045-inch k-wires and 1.0-mm orthopedic wire used as pin and tension-band fixation (Figure 8). Because the lateral collateral ligament of the tibiotarsal joint originates from the lateral malleolus, stabilization of the lateral malleolar fracture returned lateral stability to the tibiotarsal joint.

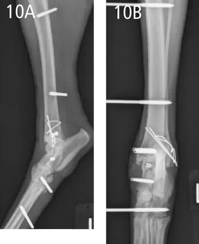
A transarticular, hinged external fixator (Imex Veterinary, www.imex.com) (Figure 9) was placed on the medial aspect of the joint for 8 weeks to provide adjunctive support to the collateral ligaments and to protect the reconstruction while fibrous tissue healing progressed. The hinged fixator was locked for 2 weeks, then progressively adjusted to permit tibiotarsal range of motion over the next 6 weeks. Anatomical reduc-tion and correct implant placement were observed on postoperative radiographs (Figure 10, page 57).

Featured Image

Suture anchors are ideal for reattaching soft tissue to bone or for anchoring sutures to bone. They are small and can be precisely placed at the isometric attachments of ligaments. Suture anchors are very secure and unlikely to pull out of the bone. They are designed to protect the suture by chamfering the edges of the hole through which the suture passes. The anchor may be designed to sit below or on top of the cortical surface of the bone. The BoneBiter suture anchor was used in this patient because it sits below the cortical bone surface and therefore did not interfere with the medial malleolus. Subcortical anchors are also practical for areas in which there is little soft tissue to cover anchors that sit above the cortical surface. Subcortical anchors require a preloaded suture. The Flexi-twist anchor sits above the surface of the bone, allowing the suture to be placed after placement of the anchor.

Featured Image

Little instrumentation is required for most styles of suture anchors; they are used commonly for joint stabilization and tissue reattachment in human patients. The implants used for humans are quite expensive, usually costing $150 or greater for each anchor; however, affordable suture anchors designed for the veterinary market are now available from many veterinary orthopedic companies, the cost of which ranges from $15 to $40. Bone anchors are commonly used for repair of collateral ligament injuries, hip dislocation, and cranial cruciate ligament tears.

Take-Home MessageSuture anchors are an accurate and reliable method for attaching suture material and soft tissue to bone; they also provide a practical means for reconstructing ligaments and restoring stability to various joints.

SUTURE ANCHORS: A PRACTICAL METHOD FOR STABILIZING JOINTS • Brian S. Beale

Suggested ReadingBiomechanical analysis of suture anchors and suture materials used for toggle pin stabilization of hip joint luxation in dogs. Baltzer WI, Schulz KS, Stover SM, et al. Am J Vet Res 62:721-728, 2001.Clinical use of titanium anchors for treatment of trauma-induced joint instability in small animals. Beale BS, Lewis DD. Proc 23rd Conf Vet Orthop Soc, 1996, pp 23.Mechanical performance of a screw-type veterinary suture anchor subjected to single load to failure and cyclic loads. Balara JM, McCarthy RJ, Boudrieau RJ, Kraus KH. Vet Surg 33:615-619, 2004.In vitro evaluation of screws and suture anchors in metaphyseal bone of the canine tibia. Robb JL, Cook JL, Carson W.Vet Surg 34:499-508, 2005.