Progressive Cerebellar Ataxia in an Adult Dog

Meghan C. Slanina, DVM, Cornell University

Peter V. Scrivani, DVM, DACVR, Cornell University

Dwight D. Bowman, MS, PhD, Cornell University

ArticleLast Updated April 20164 min readPeer Reviewed
A close-up of a brown and white English Springer Spaniel, showcasing its expressive face and long, wavy ears. The dog is positioned against a plain white background, highlighting its attentive gaze and healthy coat.

History

Scout, a previously healthy, 6-year-old, spayed English springer spaniel show dog, was presented with a 2-month history of progressive incoordination and head tilt. Signs progressed despite treatment with amoxicillin/clavulanic acid for presumptive otitis media or interna. Slight resolution of the head tilt was observed after an anti-inflammatory dose of prednisone. Metronidazole had not been administered.

Physical Examination

Examination showed a right head tilt, wide-based stance, nodding movement of the head and body (ie, titubation), intention tremors, ambulatory cerebellar ataxia (worse on the right), absent right menace response, mild right facial paresis, and a positional ventrolateral strabismus in the right eye. Neuroanatomical localization was to the right cerebellomedullary angle.

Scout traveled extensively before onset of signs, which started as missing an occasional step and progressed to falling after jumping, difficulty posturing to urinate, not catching objects, and head tilt.

Diagnostic Results

CBC and serum chemistry panel showed minor abnormalities attributed to stress, dehydration, and prednisone treatment. CBC revealed leukocytosis (19.2 ×103/µL; range, 5.7-14.2) and mature neutrophilia (17.1 ×103/µL; range, 2.7-9.4). Chemistry revealed elevated liver enzymes ALP (115 U/L; range, 17-111), ALT (200 U/L; range,20-98), AST (378 U/L; range, 14-51), significantly elevated creatine kinase (5204 U/L; range, 48-261), elevated total bilirubin (0.4 mg/dL; range, 0-0.2), elevated total protein (7.8 g/dL; range, 5.9-7.8), and elevated albumin (4.3 g/dL; range, 3.1-4.2).

Featured Image
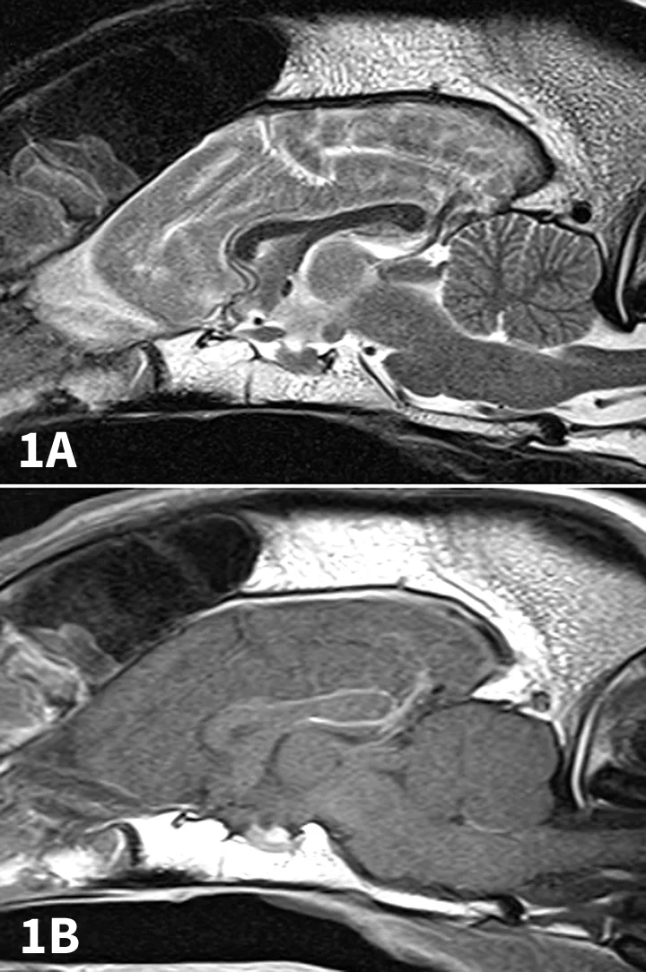
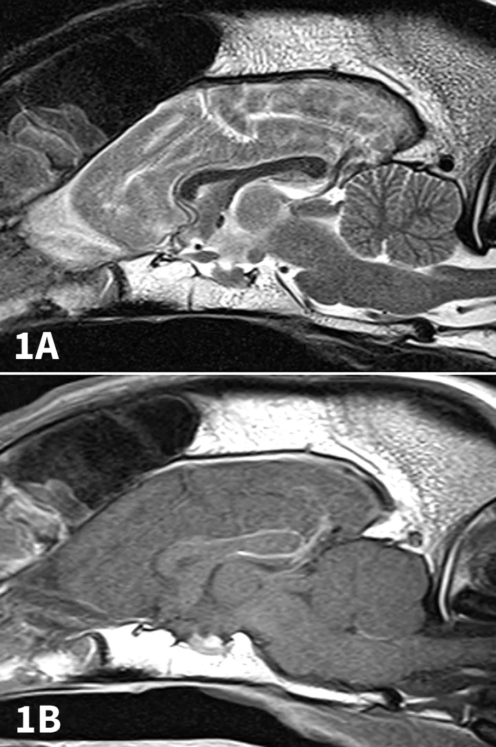
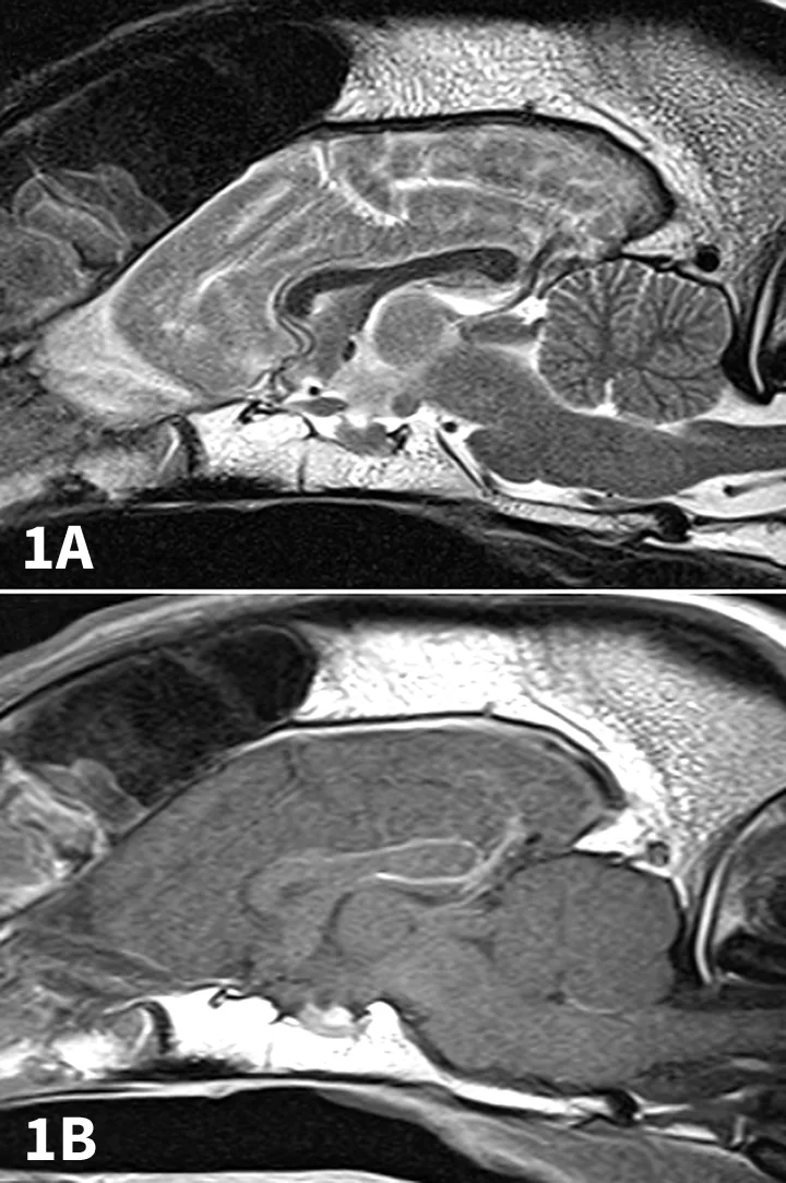
Figure 1

T2-weighted sagittal (A) and contrast-enhanced T1-weighted sagittal (B) MRI scans of a normal dog.

MRI disclosed multiple intra-axial contrast-enhancing lesions with a generalized random distribution throughout the brain with specific involvement of the cerebellar nuclei, peripheral cerebellar atrophy with replacement by CSF (Figures 1 and 2). MRI also revealed bilateral temporal myopathy, which had not been present upon initial physical examination.

Analysis of a CSF specimen showed increased cellularity (7 nucleated cells/µL, compared with the normal 0-5 cells/μL range), increased total protein (31 mg/dL, compared with the normal <25 mg/dL range), and a mild mixed pleocytosis, possibly dampened by corticosteroid administration. The differential cell count was 43% nondegenerate neutrophils, 30% macrophages, and 27% lymphocytes (predominantly small with occasional reactive forms).

Featured Image
Figure 2

T2-weighted sagittal (A) and contrast-enhanced T1-weighted sagittal (B) MRI scans of a 6-year-old, spayed English springer spaniel dog with CNS neosporosis. The scans depict peripheral atrophy of the cerebellum (especially dorsally) with replacement by CSF (A and B). This finding is consistent with necrotizing cerebellitis. In addition, there is contrast enhancement of the cerebellar nuclei (B). The cerebellum is circled; compare to Figure 1.

No neoplastic cells or infectious agents were detected. The results of serum and CSF indirect fluorescent antibody titers were positive for Neospora caninum.

Diagnosis

Central nervous system (CNS) neosporosis

Treatment

The treatment plan included administration of antiprotozoal antibiotic medications, including clindamycin (15 mg/kg PO twice a day) and trimethoprim/sulfamethoxazole (15 mg/kg PO twice a day). Although many resources recommend a 4-week course of antibiotic therapy, frequently CNS N caninum infections require a longer duration of treatment (eg, 6-12 months) and occasionally long-term treatment. Trimethoprim/sulfamethoxazole blocks bacterial folate synthesis, and chronic use can cause folate acid-deficient anemias; therefore, folic acid (1 mg PO once a day) supplementation was initiated.

Anti-inflammatory prednisone therapy (0.5 mg/kg PO twice a day) was tapered slowly over several months.

Outcome

Scout’s clinical signs deteriorated to nonambulatory tetraparesis during the first week of treatment. Two weeks after initiation of treatment, the dog began to walk and showed continued improvement during the next 7 months. Scout still hesitated to climb stairs but was able to take 10- to 20-minute walks and was otherwise healthy. The exact source of Scout’s exposure was not determined. The patient did not have exposure to cattle, but white-tailed deer and coyotes are common in the patient’s geographic area.

Neosporosis typically affects dogs younger than 6 months of age, but fatal disease can occur at any age.1 In puppies, 1 of the most common clinical presentations is inflammation of the muscles and nerve roots of the pelvic limbs, which causes progressive paraparesis, muscle atrophy, and loss of patellar reflexes that frequently progresses to fibrous muscular contracture with hyperextension.2,3

In puppies and adult dogs, other organs (eg, skeletal muscles, heart, liver, skin, eyes, lungs, pancreas) may be affected. In adult dogs, various signs localized to the CNS may be seen (eg, paresis, paralysis, ataxia, head tilt, seizures).2,4,5 Often, these signs are multifocal. As this case illustrates, neosporosis is a differential diagnosis for progressive cerebellar ataxia in adult dogs.

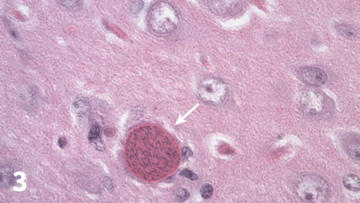
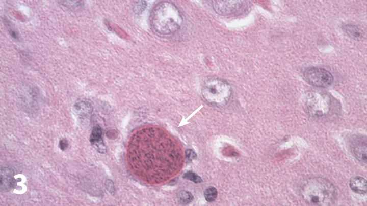
Featured Image
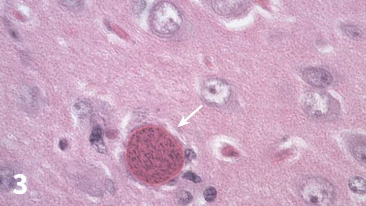
Figure 3

Photomicrograph showing N caninum bradyzoite-containing cyst (arrow) in brain tissue from a different clinical case (20× objective).

CNS = central nervous system, CSF = cerebrospinal fluid