Oral Melphalan for Refractory Relapsing Canine Lymphoma

Timothy M. Fan, DVM, PhD, DACVIM (Oncology, Internal Medicine), University of Illinois at Urbana–Champaign

ArticleLast Updated October 20183 min read

In the Literature

Mastromauro ML, Suter SE, Hauck ML, Hess PR. Oral melphalan for the treatment of relapsed canine lymphoma. Vet Comp Oncol. 2018;16(1):E123-E129.


The Research …

Canine lymphoma has been reported to be responsive to multiagent systemic chemotherapy, with durable and substantive clinical responses (partial and complete remission) achieved in >90% of patients.1,2 However, most dogs will ultimately experience disease relapse, and subsequent response rates and durations of remission with rescue therapies become progressively lower and shorter, respectively. Use of oral alkylating drugs as rescue agents can be appealing to pet owners wishing to minimize stress associated with intravenous therapies; however, some alkylating drugs, although modestly effective as rescue drugs, have potential to cause considerable toxicity and reduction of quality of life.3,4

This retrospective study examined tolerability and clinical activity of melphalan, an oral alkylating agent, for management of relapsing canine lymphoma. Although melphalan is commonly used for the treatment of multiple myeloma,5 its activity alone or in combination with prednisone has not been described as a rescue protocol for relapsing lymphoma. In this study, the tolerability and outcomes associated with oral melphalan and prednisone therapy were described in 19 heavily pretreated dogs with relapsing lymphoma. Oral melphalan exerted marginal activity, with an overall calculated clinical benefit of 31.6%. Although anticancer activity was limited, the tolerability profile of oral melphalan was favorable as determined by a low incidence of significant hematologic toxicity and rare GI toxicity.

These findings suggest that oral melphalan alone or in combination with prednisone can reduce lymphoma tumor burden for short durations in some dogs. Given the tolerability of oral melphalan, it might also be considered a palliative option for owners seeking to maintain quality of life without excessive risk for untoward side effects associated with more dose-intense protocols.

Featured Image
FIGURE 1

Dog with severe mandibular lymphadenopathy associated with relapsing lymphoma

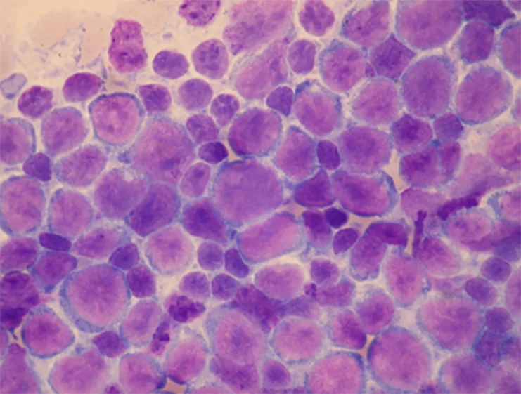
Featured Image
FIGURE 2

Cytology of aspirated enlarged lymph node confirming a diagnosis of relapsing, diffuse, large-cell lymphoma


… The Takeaways

Key pearls to put into practice:

  • Initial treatment of multicentric lymphoma in dogs is highly effective; however, most dogs will experience disease relapse and require reinstitution of rescue therapies to maintain quality of life and extend survival times.

  • Maintaining quality of life should become centrally important to pet owners of dogs with multicentric lymphoma that have been treated with a multitude of rescue therapies yet experience disease progression.

  • When combined with prednisone therapy, oral melphalan is extremely well tolerated in heavily pretreated dogs and can exert marginal anticancer activities.

  • Given its ease of administration, favorable tolerability, and marginal activity in heavily pretreated dogs with relapsing lymphoma, oral melphalan might be considered a palliative option for pet owners emphasizing quality of life during advanced stages of disease progression.