Normoblastemia in Association with Cancer & Chemotherapy

Timothy M. Fan, DVM, PhD, DACVIM (Oncology, Internal Medicine), University of Illinois at Urbana–Champaign

ArticleLast Updated July 20172 min read

In the Literature

Moretti P, Giordano A, Stefanello D, Ferrari R, Castellano S, Paltrinieri S. Nucleated erythrocytes in blood smears of dogs undergoing chemotherapy. Vet Comp Oncol. 2017;15(1):215-225.


The Research …

In dogs, 2 forms of round cell tumors, lymphoma and mast cell tumors,1 are frequently diagnosed. Mesenchymal and epithelial neoplasms are less common. Systemic chemotherapy is often used for improving treatment outcomes in patients for which localized therapy is not sufficient. Potential side effects include transient bone marrow insult represented by anemia, leukopenia, and thrombocytopenia.2,3

This retrospective study examined the release of nucleated RBCs (nRBCs) from bone marrow (ie, normoblastemia) in association with cancer and chemotherapy. Normoblastemia frequency and severity were studied in context of tumor types and chemotherapeutic agents. To support specific physiologic mechanisms for observed normoblastemia, nRBCs were associated with other hematologic parameters, including WBC count (leukopenia) and a panel of RBC indices such as RBC count, reticulocytosis, polychromasia, anisocytosis, and Howell-Jolly bodies.

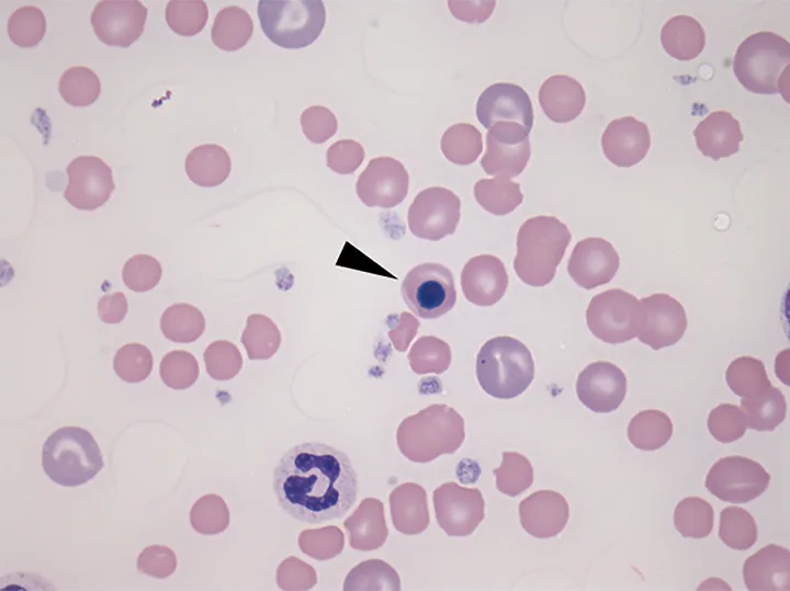
Featured Image
Figure

Cytologic image of a solitary nucleated RBC (black arrowhead) identified in a peripheral blood smear from a dog. Image courtesy of Katie Wycislo, DVM, DACVP

Most dogs diagnosed with various cancers (eg, lymphoma, mast cell tumor, carcinoma) and treated with conventional cytotoxic agents did not have documented relative normoblastemia. Still, normoblastemia was found frequently, with absolute normoblastemia documented in 24.6% of cases and severe normoblastemia (nRBCs >0.4 × 103 µL<sup−1sup>) noted in 9.2% of cases. Trends for increased normoblastemia were identified following treatment with specific cytotoxic agents, particularly vincristine and doxorubicin. Mechanistically, normoblastemia was not highly associated with hematologic parameters of anemia or regenerative bone marrow responses, suggesting that nRBCs might reflect transiently altered bone marrow endothelial cell responses to chemotherapy.


… The Takeaways

Key pearls to put into practice:

  • The identification of nRBCs is commonly associated with appropriate physiologic responses to anemia whereby splenic extramedullary hematopoiesis is activated.

  • Pathologic release of nRBCs into circulation can be secondary to toxin (eg, lead) exposure and bone marrow injury.

  • In some dogs diagnosed with cancer and receiving cytotoxic chemotherapy treatments, nRBCs will be released from bone marrow.

  • The clinical significance of normoblastemia in pet dogs treated with chemotherapy remains incompletely understood. However, when very severe (>1000 nRBCs/µL), normoblastemia could spuriously inflate total WBC counts and confound appropriate recommendations for safe administration of chemotherapy.