Image Quiz: Cutaneous & Subcutaneous Neoplasms

Sandra Bechtel, DVM, DACVIM, University of Florida

Angela Royal, DVM, MS, DACVP (Clinical Pathology), University of Missouri

ArticleGalleryQuizLast Updated October 20151 min readPeer Reviewed
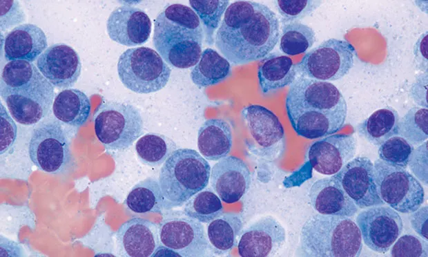
Cytology showing round cells with blue cytoplasmic borders and eccentric nuclei; some cells have two nuclei.

Fine-needle aspiration and cytologic evaluation of cutaneous and subcutaneous masses are inexpensive and provide rapid results. In many cases, these techniques can differentiate benign from malignant neoplasia and define further diagnostic and treatment options.

In this challenge, match each case description and intermediate- to high-magnification cytologic image to the appropriate diagnosis.*

*All slides stained with Wright-Giemsa.