Image Gallery: Primary & Metastatic Tumors Part 2

Christine Mullin, VMD, DACVIM (Oncology), BluePearl Pet Hospital, Malvern, Pennsylvania

Chris Ryan, VMD, DABVP, DACVR, Hope Veterinary Specialists, Malvern, Pennsylvania

Craig A. Clifford, DVM, MS, DACVIM (Oncology), BluePearl Pet Hospital, Malvern, Pennsylvania

ArticleLast Updated June 20171 min readPeer ReviewedWeb-Exclusive

Part 2 of a 2-part series

Image Gallery: Primary & Metastatic Tumors Part 1

The following radiographs provide case-based examples of primary and metastatic neoplasms of the musculoskeletal system in dogs and cats.

selected slide image

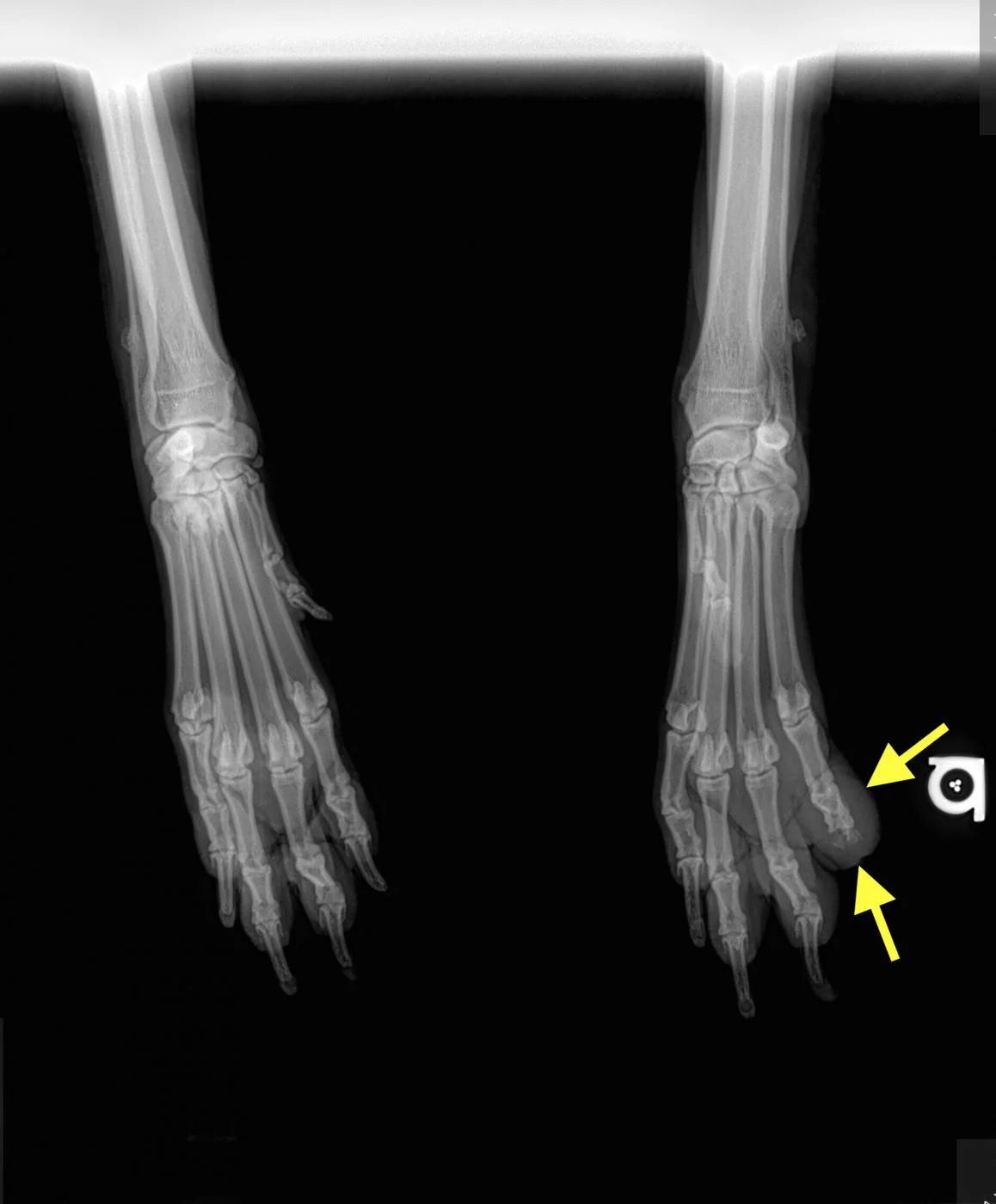
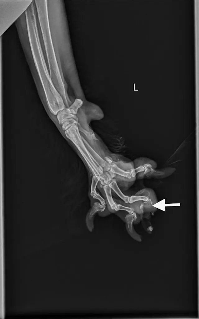
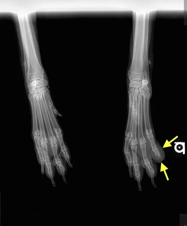
FIGURE 1

1 / 15
FIGURE 1

Digit melanoma


A single craniocaudal radiograph illustrates the forepaws of a 12-year-old neutered male Airedale terrier with digit melanoma. Moderate circumferential soft tissue swelling of the 5th digit of the left thoracic limb and significant lysis of the distal phalanx can be noted (arrows). The aggressive monostotic lesion of the distal phalanx of the 5th digit and associated soft tissue swelling are consistent with digital melanoma, which was confirmed via histopathology after digit amputation.

© 2025 Educational Concepts, LLC, a division of